ARG58128
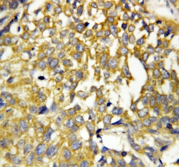
anti-Pleiotrophin antibody
anti-Pleiotrophin antibody for IHC-Formalin-fixed paraffin-embedded sections and Human,Mouse,Rat
Overview
| Product Description | Rabbit Polyclonal antibody recognizes Pleiotrophin |
|---|---|
| Tested Reactivity | Hu, Ms, Rat |
| Tested Application | IHC-P |
| Host | Rabbit |
| Clonality | Polyclonal |
| Isotype | IgG |
| Target Name | Pleiotrophin |
| Antigen Species | Human |
| Immunogen | Synthetic peptide around the C-terminus of Human Pleiotrophin (QAESKKKKKEGKKQEKMLD). (100% homologous in Human, Mouse and Rat). |
| Conjugation | Un-conjugated |
| Alternate Names | PTN; HBNF; Heparin-binding growth-associated molecule; Heparin-binding neurite outgrowth-promoting factor 1; HBGF8; HBNF-1; HBBM; Pleiotrophin; HBGF-8; OSF-1; Osteoblast-specific factor 1; Heparin-binding growth factor 8; Heparin-binding brain mitogen; NEGF1; HB-GAM; HARP |
Application Instructions
| Application Suggestion |
|
||||
|---|---|---|---|---|---|
| Application Note | * The dilutions indicate recommended starting dilutions and the optimal dilutions or concentrations should be determined by the scientist. |
Properties
| Form | Liquid |
|---|---|
| Purification | Affinity purification with immunogen. |
| Buffer | PBS, 0.025% Sodium azide and 2.5% BSA. |
| Preservative | 0.025% Sodium azide |
| Stabilizer | 2.5% BSA |
| Concentration | 0.5 mg/ml |
| Storage Instruction | For continuous use, store undiluted antibody at 2-8°C for up to a week. For long-term storage, aliquot and store at -20°C or below. Storage in frost free freezers is not recommended. Avoid repeated freeze/thaw cycles. Suggest spin the vial prior to opening. The antibody solution should be gently mixed before use. |
| Note | For laboratory research only, not for drug, diagnostic or other use. |
Bioinformation
| Database Links | |
|---|---|
| Gene Symbol | PTN |
| Gene Full Name | pleiotrophin |
| Function | Secreted growth factor that induces neurite outgrowth and which is mitogenic for fibroblasts, epithelial, and endothelial cells. Binds anaplastic lymphoma kinase (ALK) which induces MAPK pathway activation, an important step in the anti-apoptotic signaling of PTN and regulation of cell proliferation. [UniProt] |
| Cellular Localization | Cytoplasmic, membranous. [UniProt] |
| Calculated MW | 19 kDa |
| PTM | Phosphorylated by NEK6. [UniProt] |
Images (1) Click the Picture to Zoom In
