ARG42949
anti-Presenilin 2 / PS2 antibody
anti-Presenilin 2 / PS2 antibody for IHC-Formalin-fixed paraffin-embedded sections,Western blot and Human,Rat
Overview
| Product Description | Rabbit Polyclonal antibody recognizes Presenilin 2 / PS2 |
|---|---|
| Tested Reactivity | Hu, Rat |
| Tested Application | IHC-P, WB |
| Host | Rabbit |
| Clonality | Polyclonal |
| Isotype | IgG |
| Target Name | Presenilin 2 / PS2 |
| Antigen Species | Human |
| Immunogen | Synthetic peptide corresponding to aa. 39-51 of Human Presenilin 2 / PS2. (EDGENTAQWRSQE) |
| Conjugation | Un-conjugated |
| Alternate Names | AD4; AD5; EC 3.4.23.-; STM2; STM-2; AD3LP; Presenilin-2; CMD1V; PS2; AD3L; E5-1; PS-2 |
Application Instructions
| Application Suggestion |
|
||||||
|---|---|---|---|---|---|---|---|
| Application Note | * The dilutions indicate recommended starting dilutions and the optimal dilutions or concentrations should be determined by the scientist. | ||||||
| Observed Size | ~ 50 kDa |
Properties
| Form | Liquid |
|---|---|
| Purification | Affinity purification with immunogen. |
| Buffer | 0.2% Na2HPO4, 0.9% NaCl, 0.05% Thimerosal, 0.05% Sodium azide and 5% BSA. |
| Preservative | 0.05% Thimerosal and 0.05% Sodium azide |
| Stabilizer | 5% BSA |
| Concentration | 0.5 mg/ml |
| Storage Instruction | For continuous use, store undiluted antibody at 2-8°C for up to a week. For long-term storage, aliquot and store at -20°C or below. Storage in frost free freezers is not recommended. Avoid repeated freeze/thaw cycles. Suggest spin the vial prior to opening. The antibody solution should be gently mixed before use. |
| Note | For laboratory research only, not for drug, diagnostic or other use. |
Bioinformation
| Database Links | |
|---|---|
| Gene Symbol | PSEN2 |
| Gene Full Name | presenilin 2 |
| Background | Alzheimer's disease (AD) patients with an inherited form of the disease carry mutations in the presenilin proteins (PSEN1 or PSEN2) or the amyloid precursor protein (APP). These disease-linked mutations result in increased production of the longer form of amyloid-beta (main component of amyloid deposits found in AD brains). Presenilins are postulated to regulate APP processing through their effects on gamma-secretase, an enzyme that cleaves APP. Also, it is thought that the presenilins are involved in the cleavage of the Notch receptor such that, they either directly regulate gamma-secretase activity, or themselves act are protease enzymes. Two alternatively spliced transcript variants encoding different isoforms of PSEN2 have been identified. [provided by RefSeq, Jul 2008] |
| Function | Probable catalytic subunit of the gamma-secretase complex, an endoprotease complex that catalyzes the intramembrane cleavage of integral membrane proteins such as Notch receptors and APP (amyloid-beta precursor protein). Requires the other members of the gamma-secretase complex to have a protease activity. May play a role in intracellular signaling and gene expression or in linking chromatin to the nuclear membrane. May function in the cytoplasmic partitioning of proteins. The holoprotein functions as a calcium-leak channel that allows the passive movement of calcium from endoplasmic reticulum to cytosol and is involved in calcium homeostasis (PubMed:16959576). Is a regulator of mitochondrion-endoplasmic reticulum membrane tethering and modulates calcium ions shuttling between ER and mitochondria (PubMed:21285369). [UniProt] |
| Cellular Localization | Endoplasmic reticulum membrane; Multi-pass membrane protein. Golgi apparatus membrane; Multi-pass membrane protein. [UniProt] |
| Calculated MW | 50 kDa |
| PTM | Heterogeneous proteolytic processing generates N-terminal and C-terminal fragments. Phosphorylated on serine residues. [UniProt] |
Images (4) Click the Picture to Zoom In
-
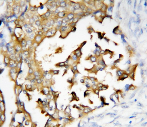
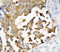
ARG42949 anti-Presenilin 2 / PS2 antibody IHC-P image
Immunohistochemistry: Paraffin-embedded Human mammary cancer tissue stained with ARG42949 anti-Presenilin 2 / PS2 antibody.
-
ARG42949 anti-Presenilin 2 / PS2 antibody WB image
Western blot: Rat brain (first two lanes), MCF7, HeLa, SMMC-7721 and CEM cell lysates stained with ARG42949 anti-Presenilin 2 / PS2 antibody.
-
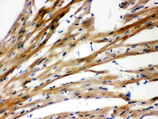
ARG42949 anti-Presenilin 2 / PS2 antibody IHC-P image
Immunohistochemistry: Paraffin-embedded Rat cardiac muscle tissue stained with ARG42949 anti-Presenilin 2 / PS2 antibody.
-
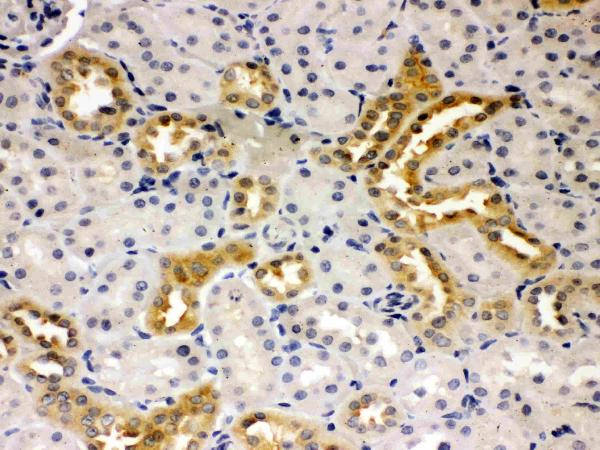
ARG42949 anti-Presenilin 2 / PS2 antibody IHC-P image
Immunohistochemistry: Paraffin-embedded Rat kidney tissue stained with ARG42949 anti-Presenilin 2 / PS2 antibody.
