ARG44729
anti-Prostaglandin E synthase 2 antibody
anti-Prostaglandin E synthase 2 antibody for IHC-Formalin-fixed paraffin-embedded sections,Immunoprecipitation and Human
Overview
| Product Description | Mouse Monoclonal antibody recognizes Prostaglandin E synthase 2 |
|---|---|
| Tested Reactivity | Hu |
| Tested Application | IHC-P, IP |
| Host | Mouse |
| Clonality | Monoclonal |
| Isotype | IgG2a |
| Target Name | Prostaglandin E synthase 2 |
| Antigen Species | Human |
| Conjugation | Un-conjugated |
| Alternate Names | C9orf15; mPGE synthase-2; EC 5.3.99.3; Prostaglandin-H; Membrane-associated prostaglandin E synthase-2; GBF1; PGES2; 2; Prostaglandin E synthase 2; GBF-1; mPGES-2; Microsomal prostaglandin E synthase 2 |
Application Instructions
| Application Suggestion |
|
||||||
|---|---|---|---|---|---|---|---|
| Application Note | * The dilutions indicate recommended starting dilutions and the optimal dilutions or concentrations should be determined by the scientist. |
Properties
| Form | Liquid |
|---|---|
| Purification | Protein A purification |
| Buffer | PBS with 0.09% sodium azide |
| Storage Instruction | For continuous use, store undiluted antibody at 2-8°C for up to a week. For long-term storage, aliquot and store at -20°C or below. Storage in frost free freezers is not recommended. Avoid repeated freeze/thaw cycles. Suggest spin the vial prior to opening. The antibody solution should be gently mixed before use. |
| Note | For laboratory research only, not for drug, diagnostic or other use. |
Bioinformation
| Database Links | |
|---|---|
| Gene Symbol | PTGES2 |
| Gene Full Name | prostaglandin E synthase 2 |
| Background | The protein encoded by this gene is a membrane-associated prostaglandin E synthase, which catalyzes the conversion of prostaglandin H2 to prostaglandin E2. This protein also has been shown to activate the transcription regulated by a gamma-interferon-activated transcription element (GATE). Multiple transcript variants have been found for this gene. [provided by RefSeq, Jun 2009] |
| Function | Isomerase that catalyzes the conversion of PGH2 into the more stable prostaglandin E2 (PGE2). [UniProt] |
| Calculated MW | 29 kDa |
| PTM | N-glycosylation enhances cell surface expression and lengthens receptor half-life by preventing degradation in the ER. |
Images (2) Click the Picture to Zoom In
-
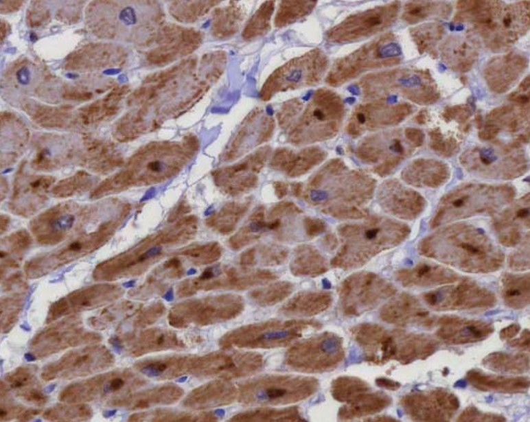
ARG44729 anti-Prostaglandin E synthase 2 antibody IHC-P image
Immunohistochemistry: Human heart muscle stained with ARG44729 anti-Prostaglandin E synthase 2 antibody at 5 µg/mL dilution.
-
ARG44729 anti-Prostaglandin E synthase 2 antibody IP image
Immunoprecipitation: HeLa lysate immunoprecipitated with 2.5 µg of ARG44729 anti-Prostaglandin E synthase 2 antibody.
