ARG63685
anti-Prostaglandin dehydrogenase 1 antibody
anti-Prostaglandin dehydrogenase 1 antibody for IHC-Formalin-fixed paraffin-embedded sections,Western blot and Human
Immune System antibody; Signaling Transduction antibody
Overview
| Product Description | Goat Polyclonal antibody recognizes Prostaglandin dehydrogenase 1 |
|---|---|
| Tested Reactivity | Hu |
| Tested Application | IHC-P, WB |
| Host | Goat |
| Clonality | Polyclonal |
| Isotype | IgG |
| Target Name | Prostaglandin dehydrogenase 1 |
| Antigen Species | Human |
| Immunogen | C-DYDTTPFQAKTQ |
| Conjugation | Un-conjugated |
| Alternate Names | 15-PGDH; PGDH; Prostaglandin dehydrogenase 1; PGDH1; 15-hydroxyprostaglandin dehydrogenase [NAD; SDR36C1; EC 1.1.1.141; Short chain dehydrogenase/reductase family 36C member 1; PHOAR1 |
Application Instructions
| Application Suggestion |
|
||||||
|---|---|---|---|---|---|---|---|
| Application Note | WB: Recommend incubate at RT for 1h. IHC-P: Antigen Retrieval: Steam tissue section in Citrate buffer (pH 6.0). * The dilutions indicate recommended starting dilutions and the optimal dilutions or concentrations should be determined by the scientist. |
Properties
| Form | Liquid |
|---|---|
| Purification | Purified from goat serum by antigen affinity chromatography. |
| Buffer | Tris saline (pH 7.3), 0.02% Sodium azide and 0.5% BSA. |
| Preservative | 0.02% Sodium azide |
| Stabilizer | 0.5% BSA |
| Concentration | 0.5 mg/ml |
| Storage Instruction | For continuous use, store undiluted antibody at 2-8°C for up to a week. For long-term storage, aliquot and store at -20°C or below. Storage in frost free freezers is not recommended. Avoid repeated freeze/thaw cycles. Suggest spin the vial prior to opening. The antibody solution should be gently mixed before use. |
| Note | For laboratory research only, not for drug, diagnostic or other use. |
Bioinformation
| Database Links |
Swiss-port # P15428 Human 15-hydroxyprostaglandin dehydrogenase [NAD(+)] |
|---|---|
| Background | This gene encodes a member of the short-chain nonmetalloenzyme alcohol dehydrogenase protein family. The encoded enzyme is responsible for the metabolism of prostaglandins, which function in a variety of physiologic and cellular processes such as inflammation. Mutations in this gene result in primary autosomal recessive hypertrophic osteoarthropathy and cranioosteoarthropathy. Multiple transcript variants encoding different isoforms have been found for this gene. [provided by RefSeq, Mar 2009] |
| Research Area | Immune System antibody; Signaling Transduction antibody |
| Calculated MW | 29 kDa |
Images (3) Click the Picture to Zoom In
-
ARG63685 anti-Prostaglandin dehydrogenase 1 antibody WB image
Western Blot: Human Duodenum lysate (35 µg protein in RIPA buffer) stained with ARG63685 anti-Prostaglandin dehydrogenase 1 antibody at 0.1 µg/ml dilution.
-
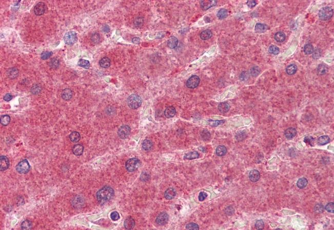
ARG63685 anti-Prostaglandin dehydrogenase 1 antibody IHC-P image
Immunohistochemistry: Paraffin-embedded Human liver tissue. Antigen Retrieval: Steam tissue section in Citrate buffer (pH 6.0). The tissue section was stained with ARG63685 anti-Prostaglandin dehydrogenase 1 antibody at 2.5 µg/ml dilution followed by AP-staining.
-
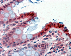
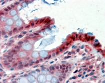
ARG63685 anti-Prostaglandin dehydrogenase 1 antibody IHC-P image
Immunohistochemistry: paraffin embedded Human Colon. (Steamed antigen retrieval with citrate buffer pH 6) stained with ARG63685 anti-Prostaglandin dehydrogenase 1 antibody at 2.5 µg/ml dilution followed by AP-staining.
