ARG55780
anti-Proteasome 20S LMP2 antibody
anti-Proteasome 20S LMP2 antibody for Flow cytometry,IHC-Formalin-fixed paraffin-embedded sections,Western blot and Human
Overview
| Product Description | Rabbit Polyclonal antibody recognizes Proteasome 20S LMP2 |
|---|---|
| Tested Reactivity | Hu |
| Tested Application | FACS, IHC-P, WB |
| Host | Rabbit |
| Clonality | Polyclonal |
| Isotype | IgG |
| Target Name | Proteasome 20S LMP2 |
| Antigen Species | Human |
| Immunogen | KLH-conjugated synthetic peptide corresponding to aa. 193-219 (C-terminus) of Human Proteasome 20S LMP2. |
| Conjugation | Un-conjugated |
| Alternate Names | beta1i; Proteasome subunit beta type-9; Really interesting new gene 12 protein; Proteasome chain 7; Multicatalytic endopeptidase complex chain 7; Proteasome subunit beta-1i; Macropain chain 7; RING12; EC 3.4.25.1; LMP2; PSMB6i; Low molecular mass protein 2 |
Application Instructions
| Application Suggestion |
|
||||||||
|---|---|---|---|---|---|---|---|---|---|
| Application Note | * The dilutions indicate recommended starting dilutions and the optimal dilutions or concentrations should be determined by the scientist. |
Properties
| Form | Liquid |
|---|---|
| Purification | Purification with Protein A and immunogen peptide. |
| Buffer | PBS and 0.09% (W/V) Sodium azide. |
| Preservative | 0.09% (W/V) Sodium azide. |
| Storage Instruction | For continuous use, store undiluted antibody at 2-8°C for up to a week. For long-term storage, aliquot and store at -20°C or below. Storage in frost free freezers is not recommended. Avoid repeated freeze/thaw cycles. Suggest spin the vial prior to opening. The antibody solution should be gently mixed before use. |
| Note | For laboratory research only, not for drug, diagnostic or other use. |
Bioinformation
| Database Links | |
|---|---|
| Gene Symbol | PSMB9 |
| Gene Full Name | proteasome (prosome, macropain) subunit, beta type, 9 |
| Background | The proteasome is a multicatalytic proteinase complex with a highly ordered ring-shaped 20S core structure. The core structure is composed of 4 rings of 28 non-identical subunits; 2 rings are composed of 7 alpha subunits and 2 rings are composed of 7 beta subunits. Proteasomes are distributed throughout eukaryotic cells at a high concentration and cleave peptides in an ATP/ubiquitin-dependent process in a non-lysosomal pathway. An essential function of a modified proteasome, the immunoproteasome, is the processing of class I MHC peptides. This gene encodes a member of the proteasome B-type family, also known as the T1B family, that is a 20S core beta subunit. This gene is located in the class II region of the MHC (major histocompatibility complex). Expression of this gene is induced by gamma interferon and this gene product replaces catalytic subunit 1 (proteasome beta 6 subunit) in the immunoproteasome. Proteolytic processing is required to generate a mature subunit. [provided by RefSeq, Mar 2010] |
| Function | The proteasome is a multicatalytic proteinase complex which is characterized by its ability to cleave peptides with Arg, Phe, Tyr, Leu, and Glu adjacent to the leaving group at neutral or slightly basic pH. The proteasome has an ATP-dependent proteolytic activity. This subunit is involved in antigen processing to generate class I binding peptides. Replacement of PSMB6 by PSMB9 increases the capacity of the immunoproteasome to cleave model peptides after hydrophobic and basic residues. [UniProt] |
| Cellular Localization | Cytoplasm. Nucleus |
| Calculated MW | 23 kDa |
| PTM | Autocleaved. The resulting N-terminal Thr residue of the mature subunit is responsible for the nucleophile proteolytic activity. |
Images (3) Click the Picture to Zoom In
-
ARG55780 anti-Proteasome 20S LMP2 antibody WB image
Western blot: 30 µg of A431 cell lysate stained with ARG55780 anti-Proteasome 20S LMP2 antibody at 1:1000 dilution.
-
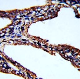
ARG55780 anti-Proteasome 20S LMP2 antibody IHC-P image
Immunohistochemistry: Formalin-fixed and paraffin-embedded Human prostate carcinoma stained with ARG55780 anti-Proteasome 20S LMP2 antibody.
-
ARG55780 anti-Proteasome 20S LMP2 antibody FACS image
Flow Cytometry: HL60 cells stained with ARG55780 anti-Proteasome 20S LMP2 antibody (bottom histogram) or without primary antibody control (top histogram), followed by incubation with FITC labelled secondary antibody.
