ARG66621
anti-QKI / Quaking antibody
anti-QKI / Quaking antibody for ICC/IF,IHC-Formalin-fixed paraffin-embedded sections,Western blot and Human,Mouse,Rat
Overview
| Product Description | Rabbit Polyclonal antibody recognizes QKI / Quaking |
|---|---|
| Tested Reactivity | Hu, Ms, Rat |
| Tested Application | ICC/IF, IHC-P, WB |
| Host | Rabbit |
| Clonality | Polyclonal |
| Isotype | IgG |
| Target Name | QKI / Quaking |
| Antigen Species | Human |
| Immunogen | Recombinant full length protein of Human QKI / Quaking. |
| Conjugation | Un-conjugated |
| Alternate Names | hqkI; HqkI; Hqk; QK3; QK; Protein quaking; QK1 |
Application Instructions
| Application Suggestion |
|
||||||||
|---|---|---|---|---|---|---|---|---|---|
| Application Note | IHC-P: Antigen Retrieval: Heat mediation was performed in Sodium citrate buffer (pH 6.0). * The dilutions indicate recommended starting dilutions and the optimal dilutions or concentrations should be determined by the scientist. |
||||||||
| Observed Size | 38 kDa |
Properties
| Form | Liquid |
|---|---|
| Purification | Affinity purification with immunogen. |
| Buffer | 0.42% Potassium phosphate (pH 7.3), 0.87% NaCl, 0.01% Sodium azide and 30% Glycerol. |
| Preservative | 0.01% Sodium azide |
| Stabilizer | 30% Glycerol |
| Storage Instruction | For continuous use, store undiluted antibody at 2-8°C for up to a week. For long-term storage, aliquot and store at -20°C. Storage in frost free freezers is not recommended. Avoid repeated freeze/thaw cycles. Suggest spin the vial prior to opening. The antibody solution should be gently mixed before use. |
| Note | For laboratory research only, not for drug, diagnostic or other use. |
Bioinformation
| Database Links | |
|---|---|
| Gene Symbol | QKI |
| Gene Full Name | QKI, KH domain containing, RNA binding |
| Background | The protein encoded by this gene is an RNA-binding protein that regulates pre-mRNA splicing, export of mRNAs from the nucleus, protein translation, and mRNA stability. The encoded protein is involved in myelinization and oligodendrocyte differentiation and may play a role in schizophrenia. Multiple transcript variants encoding different isoforms have been found for this gene. [provided by RefSeq, Jul 2014] |
| Function | RNA-binding protein that plays a central role in myelinization. Binds to the 5'-NACUAAY-N(1,20)-UAAY-3' RNA core sequence. Regulates target mRNA stability. In addition, acts by regulating pre-mRNA splicing, mRNA export and protein translation. Required to protect and promote stability of mRNAs such as MBP and CDKN1B. Regulator of oligodendrocyte differentiation and maturation in the brain that may play a role in myelin and oligodendrocyte dysfunction in schizophrenia. Participates in mRNA transport by regulating the nuclear export of MBP mRNA. Also involved in regulation of mRNA splicing of MAG pre-mRNA. Acts as a translational repressor (By similarity). [UniProt] |
| Cellular Localization | Nucleus. Cytoplasm. [UniProt] |
| Calculated MW | 38 kDa |
| PTM | Methylated by PRMT1. Tyrosine phosphorylated at its C-terminus, probably by FYN. Phosphorylation leads to decreased mRNA-binding affinity, affecting transport and/or stabilization of MBP mRNA (By similarity). [UniProt] |
Images (3) Click the Picture to Zoom In
-
ARG66621 anti-QKI / Quaking antibody ICC/IF image
Immunofluorescence: Formalin-fixed MCF7 cells were permeabilized with 0.1% Triton X-100 in TBS for 5-10 minutes and blocked with 3% BSA-PBS for 30 minutes at room temperature. Cells were stained with ARG66621 anti-QKI / Quaking antibody (red) in 3% BSA-PBS and incubated overnight at 4°C.
-
ARG66621 anti-QKI / Quaking antibody IHC-P image
Immunohistochemistry: Formalin-fixed and paraffin-embedded Mouse brain tissue section. Antigen Retrieval: Heat mediation was performed in Sodium citrate buffer (pH 6.0). The section was then stained with ARG66621 anti-QKI / Quaking antibody at room temperature and detected using an HRP conjugated compact polymer system. DAB was used as the chromogen. The section was then counterstained with haematoxylin and mounted with DPX.
-
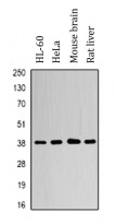
ARG66621 anti-QKI / Quaking antibody WB image
Western blot: HL-60, HeLa, Mouse brain and Rat liver lysates stained with ARG66621 anti-QKI / Quaking antibody.
