ARG42517
anti-RAB11A antibody
anti-RAB11A antibody for ICC/IF,IHC-Frozen sections,IHC-Formalin-fixed paraffin-embedded sections,Western blot and Human,Mouse,Rat,Dog,Monkey
Overview
| Product Description | Goat Polyclonal antibody recognizes RAB11A |
|---|---|
| Tested Reactivity | Hu, Ms, Rat, Dog, Mk |
| Tested Application | ICC/IF, IHC-Fr, IHC-P, WB |
| Host | Goat |
| Clonality | Polyclonal |
| Isotype | IgG |
| Target Name | RAB11A |
| Antigen Species | Mouse |
| Immunogen | Purified recombinant peptide within aa. 110 to the C-terminus of Mouse RAB11A. |
| Conjugation | Un-conjugated |
| Alternate Names | Rab-11; Ras-related protein Rab-11A; YL8 |
Application Instructions
| Application Suggestion |
|
||||||||||
|---|---|---|---|---|---|---|---|---|---|---|---|
| Application Note | IHC-P: Antigen Retrieval: Heat-induced. * The dilutions indicate recommended starting dilutions and the optimal dilutions or concentrations should be determined by the scientist. |
||||||||||
| Positive Control | AtT-20 and HeLa | ||||||||||
| Observed Size | 24 ~ 25 kDa |
Properties
| Form | Liquid |
|---|---|
| Purification | Affinity purification with immunogen. |
| Buffer | PBS, 0.05% Sodium azide and 20% Glycerol. |
| Preservative | 0.05% Sodium azide |
| Stabilizer | 20% Glycerol |
| Concentration | 3 mg/ml |
| Storage Instruction | For continuous use, store undiluted antibody at 2-8°C for up to a week. For long-term storage, aliquot and store at -20°C. Storage in frost free freezers is not recommended. Avoid repeated freeze/thaw cycles. Suggest spin the vial prior to opening. The antibody solution should be gently mixed before use. |
| Note | For laboratory research only, not for drug, diagnostic or other use. |
Bioinformation
| Database Links | |
|---|---|
| Gene Symbol | RAB11A |
| Gene Full Name | RAB11A, member RAS oncogene family |
| Background | The protein encoded by this gene belongs to the Rab family of the small GTPase superfamily. It is associated with both constitutive and regulated secretory pathways, and may be involved in protein transport. Two transcript variants encoding different isoforms have been found for this gene. [provided by RefSeq, May 2011] |
| Function | The small GTPases Rab are key regulators of intracellular membrane trafficking, from the formation of transport vesicles to their fusion with membranes. Rabs cycle between an inactive GDP-bound form and an active GTP-bound form that is able to recruit to membranes different set of downstream effectors directly responsible for vesicle formation, movement, tethering and fusion. The small Rab GTPase RAB11A regulates endocytic recycling. Acts as a major regulator of membrane delivery during cytokinesis. Together with MYO5B and RAB8A participates in epithelial cell polarization. Together with RAB3IP, RAB8A, the exocyst complex, PARD3, PRKCI, ANXA2, CDC42 and DNMBP promotes transcytosis of PODXL to the apical membrane initiation sites (AMIS), apical surface formation and lumenogenesis. Together with MYO5B participates in CFTR trafficking to the plasma membrane and TF (Transferrin) recycling in nonpolarized cells. Required in a complex with MYO5B and RAB11FIP2 for the transport of NPC1L1 to the plasma membrane. Participates in the sorting and basolateral transport of CDH1 from the Golgi apparatus to the plasma membrane. Regulates the recycling of FCGRT (receptor of Fc region of monomeric Ig G) to basolateral membranes. May also play a role in melanosome transport and release from melanocytes. [UniProt] |
| Cellular Localization | Cell membrane. Recycling endosome membrane. Cleavage furrow. Cytoplasmic vesicle, phagosome. Note=Translocates with RAB11FIP2 from the vesicles of the endocytic recycling compartment (ERC) to the plasma membrane. Localizes to the cleavage furrow. Colocalizes with PARD3, PRKCI, EXOC5, OCLN, PODXL and RAB8A in apical membrane initiation sites (AMIS) during the generation of apical surface and lumenogenesis. Recruited to phagosomes containing S.aureus or M.tuberculosis. [UniProt] |
| Calculated MW | 24 kDa |
Images (3) Click the Picture to Zoom In
-
ARG42517 anti-RAB11A antibody ICC/IF image
Immunofluorescence: NIH/3T3 cells were fixed with methanol and permeabilized with 0.1% Saponin. Cells were stained with ARG42517 anti-RAB11A antibody (red) at 1:100 dilution. Nuclear staining (blue).
-
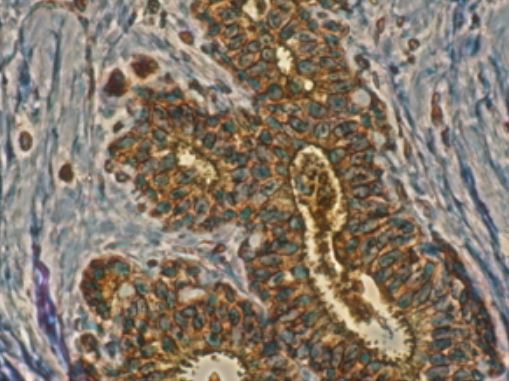
ARG42517 anti-RAB11A antibody IHC-P image
Immunohistochemistry: Formalin-fixed and paraffin-embedded Human mammary tissue. Antigen Retrieval: Heat-induced. The tissue section was stained with ARG42517 anti-RAB11A antibody at 1:200 dilution.
-
ARG42517 anti-RAB11A antibody WB image
Western blot: 100 µg of AtT-20 and HeLa cell lysates stained with ARG42517 anti-RAB11A antibody at 1:2500 dilution.
