ARG42518
anti-RAB11B antibody
anti-RAB11B antibody for ICC/IF,IHC-Frozen sections,IHC-Formalin-fixed paraffin-embedded sections,Western blot and Human,Mouse,Rat,Dog,Monkey
Overview
| Product Description | Goat Polyclonal antibody recognizes RAB11B |
|---|---|
| Tested Reactivity | Hu, Ms, Rat, Dog, Mk |
| Tested Application | ICC/IF, IHC-Fr, IHC-P, WB |
| Host | Goat |
| Clonality | Polyclonal |
| Isotype | IgG |
| Target Name | RAB11B |
| Antigen Species | Mouse |
| Immunogen | Purified recombinant peptide within aa. 120 to the C-terminus of Mouse RAB11B. |
| Conjugation | Un-conjugated |
| Alternate Names | GTP-binding protein YPT3; H-YPT3; Ras-related protein Rab-11B |
Application Instructions
| Application Suggestion |
|
||||||||||
|---|---|---|---|---|---|---|---|---|---|---|---|
| Application Note | IHC-P: Antigen Retrieval: Heat-induced. * The dilutions indicate recommended starting dilutions and the optimal dilutions or concentrations should be determined by the scientist. |
||||||||||
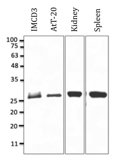
| Positive Control | IMCD3, AtT-20, kidney and spleen | ||||||||||
| Observed Size | ~ 27 kDa |
Properties
| Form | Liquid |
|---|---|
| Purification | Affinity purification with immunogen. |
| Buffer | PBS, 0.05% Sodium azide and 20% Glycerol. |
| Preservative | 0.05% Sodium azide |
| Stabilizer | 20% Glycerol |
| Concentration | 3 mg/ml |
| Storage Instruction | For continuous use, store undiluted antibody at 2-8°C for up to a week. For long-term storage, aliquot and store at -20°C. Storage in frost free freezers is not recommended. Avoid repeated freeze/thaw cycles. Suggest spin the vial prior to opening. The antibody solution should be gently mixed before use. |
| Note | For laboratory research only, not for drug, diagnostic or other use. |
Bioinformation
| Database Links | |
|---|---|
| Gene Symbol | RAB11B |
| Gene Full Name | RAB11B, member RAS oncogene family |
| Background | The Ras superfamily of small GTP-binding proteins, which includes the Ras (see MIM 190020), Ral (see MIM 179550), Rho (see MIM 165390), Rap (see MIM 179520), and Rab (see MIM 179508) families, is involved in controlling a diverse set of essential cellular functions. The Rab family, including RAB11B, appears to play a critical role in regulating exocytotic and endocytotic pathways (summary by Zhu et al., 1994 [PubMed 7811277]).[supplied by OMIM, Nov 2010] |
| Function | The small GTPases Rab are key regulators of intracellular membrane trafficking, from the formation of transport vesicles to their fusion with membranes. Rabs cycle between an inactive GDP-bound form and an active GTP-bound form that is able to recruit to membranes different set of downstream effectors directly responsible for vesicle formation, movement, tethering and fusion. The small Rab GTPase RAB11B plays a role in endocytic recycling, regulating apical recycling of several transmembrane proteins including cystic fibrosis transmembrane conductance regulator/CFTR, epithelial sodium channel/ENaC, potassium voltage-gated channel, and voltage-dependent L-type calcium channel. May also regulate constitutive and regulated secretion, like insulin granule exocytosis. Required for melanosome transport and release from melanocytes. Also regulates V-ATPase intracellular transport in response to extracellular acidosis. [UniProt] |
| Cellular Localization | Recycling endosome membrane; Lipid-anchor; Cytoplasmic side. Cytoplasmic vesicle, secretory vesicle, synaptic vesicle membrane; Lipid-anchor; Cytoplasmic side. Cytoplasmic vesicle, phagosome membrane; Lipid-anchor; Cytoplasmic side. Note=Recruited to phagosomes containing S.aureus. [UniProt] |
| Calculated MW | 24 kDa |
| PTM | Citrullinated by PADI4. [UniProt] |
Images (3) Click the Picture to Zoom In
-
ARG42518 anti-RAB11B antibody ICC/IF image
Immunofluorescence: NIH/3T3 cells were fixed with methanol and permeabilized with 0.1% Saponin. Cells were stained with ARG42518 anti-RAB11B antibody at 1:100 dilution.
-
ARG42518 anti-RAB11B antibody IHC-P image
Immunohistochemistry: Formalin-fixed and paraffin-embedded Human mammary tissue. Antigen Retrieval: Heat-induced. The tissue section was stained with ARG42518 anti-RAB11B antibody at 1:200 dilution.
-
ARG42518 anti-RAB11B antibody WB image
Western blot: 50 ng of IMCD3, AtT-20, kidney and spleen lysates stained with ARG42518 anti-RAB11B antibody at 1:500 dilution.
