ARG59020
anti-RAB6A antibody
anti-RAB6A antibody for IHC-Formalin-fixed paraffin-embedded sections,Western blot and Human,Mouse,Rat
Overview
| Product Description | Rabbit Polyclonal antibody recognizes RAB6A |
|---|---|
| Tested Reactivity | Hu, Ms, Rat |
| Tested Application | IHC-P, WB |
| Host | Rabbit |
| Clonality | Polyclonal |
| Isotype | IgG |
| Target Name | RAB6A |
| Antigen Species | Human |
| Immunogen | Synthetic peptide corresponding to a sequence of Human RAB6A (RRVAAALPGMESTQDRSREDMIDIKLEKPQEQPVSE). |
| Conjugation | Un-conjugated |
| Alternate Names | Ras-related protein Rab-6A; Rab-6; RAB6 |
Application Instructions
| Application Suggestion |
|
||||||
|---|---|---|---|---|---|---|---|
| Application Note | IHC-P: Antigen Retrieval: Heat mediation was performed in Citrate buffer (pH 6.0) for 20 min. * The dilutions indicate recommended starting dilutions and the optimal dilutions or concentrations should be determined by the scientist. |
Properties
| Form | Liquid |
|---|---|
| Purification | Affinity purification with immunogen. |
| Buffer | 0.2% Na2HPO4, 0.9% NaCl, 0.05% Sodium azide and 4% Trehalose. |
| Preservative | 0.05% Sodium azide |
| Stabilizer | 4% Trehalose |
| Concentration | 0.5 mg/ml |
| Storage Instruction | For continuous use, store undiluted antibody at 2-8°C for up to a week. For long-term storage, aliquot and store at -20°C or below. Storage in frost free freezers is not recommended. Avoid repeated freeze/thaw cycles. Suggest spin the vial prior to opening. The antibody solution should be gently mixed before use. |
| Note | For laboratory research only, not for drug, diagnostic or other use. |
Bioinformation
| Database Links | |
|---|---|
| Gene Symbol | RAB6A |
| Gene Full Name | RAB6A, member RAS oncogene family |
| Background | This gene encodes a member of the RAB family, which belongs to the small GTPase superfamily. GTPases of the RAB family bind to various effectors to regulate the targeting and fusion of transport carriers to acceptor compartments. This protein is located at the Golgi apparatus, which regulates trafficking in both a retrograde (from early endosomes and Golgi to the endoplasmic reticulum) and an anterograde (from the Golgi to the plasma membrane) directions. Myosin II is an effector of this protein in these processes. This protein is also involved in assembly of human cytomegalovirus (HCMV) by interacting with the cellular protein Bicaudal D1, which interacts with the HCMV virion tegument protein, pp150. Multiple alternatively spliced transcript variants encoding different isoforms have been identified. [provided by RefSeq, Aug 2011] |
| Function | Protein transport. Regulator of membrane traffic from the Golgi apparatus towards the endoplasmic reticulum (ER). Has a low GTPase activity. [UniProt] |
| Cellular Localization | Golgi apparatus membrane. [UniProt] |
| Calculated MW | 24 kDa |
| PTM | Prenylated. [UniProt] |
Images (3) Click the Picture to Zoom In
-
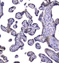
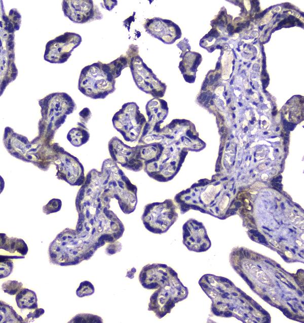
ARG59020 anti-RAB6A antibody IHC-P image
Immunohistochemistry: Paraffin-embedded Human placenta tissue. Antigen Retrieval: Heat mediation was performed in Citrate buffer (pH 6.0) for 20 min. The tissue section was blocked with 10% goat serum. The tissue section was then stained with ARG59020 anti-RAB6A antibody at 2 µg/ml dilution, overnight at 4°C.
-
ARG59020 anti-RAB6A antibody WB image
Western blot: 50 µg of samples under reducing conditions. MDA-MB-453, SK-OV-3, A431, Rat testis, Mouse brain and HEPA1-6 lysates stained with ARG59020 anti-RAB6A antibody at 0.5 µg/ml, overnight at 4°C.
-
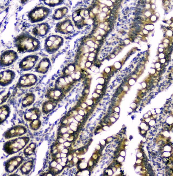
ARG59020 anti-RAB6A antibody IHC-P image
Immunohistochemistry: Paraffin-embedded Rat small intestine tissue. Antigen Retrieval: Heat mediation was performed in Citrate buffer (pH 6.0) for 20 min. The tissue section was blocked with 10% goat serum. The tissue section was then stained with ARG59020 anti-RAB6A antibody at 1 µg/ml dilution, overnight at 4°C.
