ARG66404
anti-RAB6A antibody
anti-RAB6A antibody for IHC-Formalin-fixed paraffin-embedded sections,Western blot and Human,Mouse
Overview
| Product Description | Rabbit Polyclonal antibody recognizes RAB6A |
|---|---|
| Tested Reactivity | Hu, Ms |
| Tested Application | IHC-P, WB |
| Host | Rabbit |
| Clonality | Polyclonal |
| Isotype | IgG |
| Target Name | RAB6A |
| Antigen Species | Human |
| Immunogen | Synthetic peptide of Human RAB6A. |
| Conjugation | Un-conjugated |
| Alternate Names | Ras-related protein Rab-6A; Rab-6; RAB6 |
Application Instructions
| Application Suggestion |
|
||||||
|---|---|---|---|---|---|---|---|
| Application Note | * The dilutions indicate recommended starting dilutions and the optimal dilutions or concentrations should be determined by the scientist. | ||||||
| Positive Control | WB: 293T, Mouse brain and A549. IHC-P: Human skin. | ||||||
| Observed Size | ~ 24 kDa |
Properties
| Form | Liquid |
|---|---|
| Purification | Affinity purification with immunogen. |
| Buffer | PBS (pH 7.4), 0.05% Sodium azide and 40% Glycerol. |
| Preservative | 0.05% Sodium azide |
| Stabilizer | 40% Glycerol |
| Concentration | 1.3 mg/ml |
| Storage Instruction | For continuous use, store undiluted antibody at 2-8°C for up to a week. For long-term storage, aliquot and store at -20°C. Storage in frost free freezers is not recommended. Avoid repeated freeze/thaw cycles. Suggest spin the vial prior to opening. The antibody solution should be gently mixed before use. |
| Note | For laboratory research only, not for drug, diagnostic or other use. |
Bioinformation
| Database Links | |
|---|---|
| Gene Symbol | RAB6A |
| Gene Full Name | RAB6A, member RAS oncogene family |
| Background | This gene encodes a member of the RAB family, which belongs to the small GTPase superfamily. GTPases of the RAB family bind to various effectors to regulate the targeting and fusion of transport carriers to acceptor compartments. This protein is located at the Golgi apparatus, which regulates trafficking in both a retrograde (from early endosomes and Golgi to the endoplasmic reticulum) and an anterograde (from the Golgi to the plasma membrane) directions. Myosin II is an effector of this protein in these processes. This protein is also involved in assembly of human cytomegalovirus (HCMV) by interacting with the cellular protein Bicaudal D1, which interacts with the HCMV virion tegument protein, pp150. Multiple alternatively spliced transcript variants encoding different isoforms have been identified. [provided by RefSeq, Aug 2011] |
| Function | Protein transport. Regulator of membrane traffic from the Golgi apparatus towards the endoplasmic reticulum (ER). Has a low GTPase activity. [UniProt] |
| Cellular Localization | Golgi apparatus membrane; Lipid-anchor. Note=BICD2 facilitates its targeting to Golgi apparatus membrane. Isoform 1: Golgi apparatus membrane; Lipid-anchor. Isoform 2: Golgi apparatus membrane; Lipid-anchor. [UniProt] |
| Calculated MW | 24 kDa |
| PTM | Prenylated. [UniProt] |
Images (2) Click the Picture to Zoom In
-
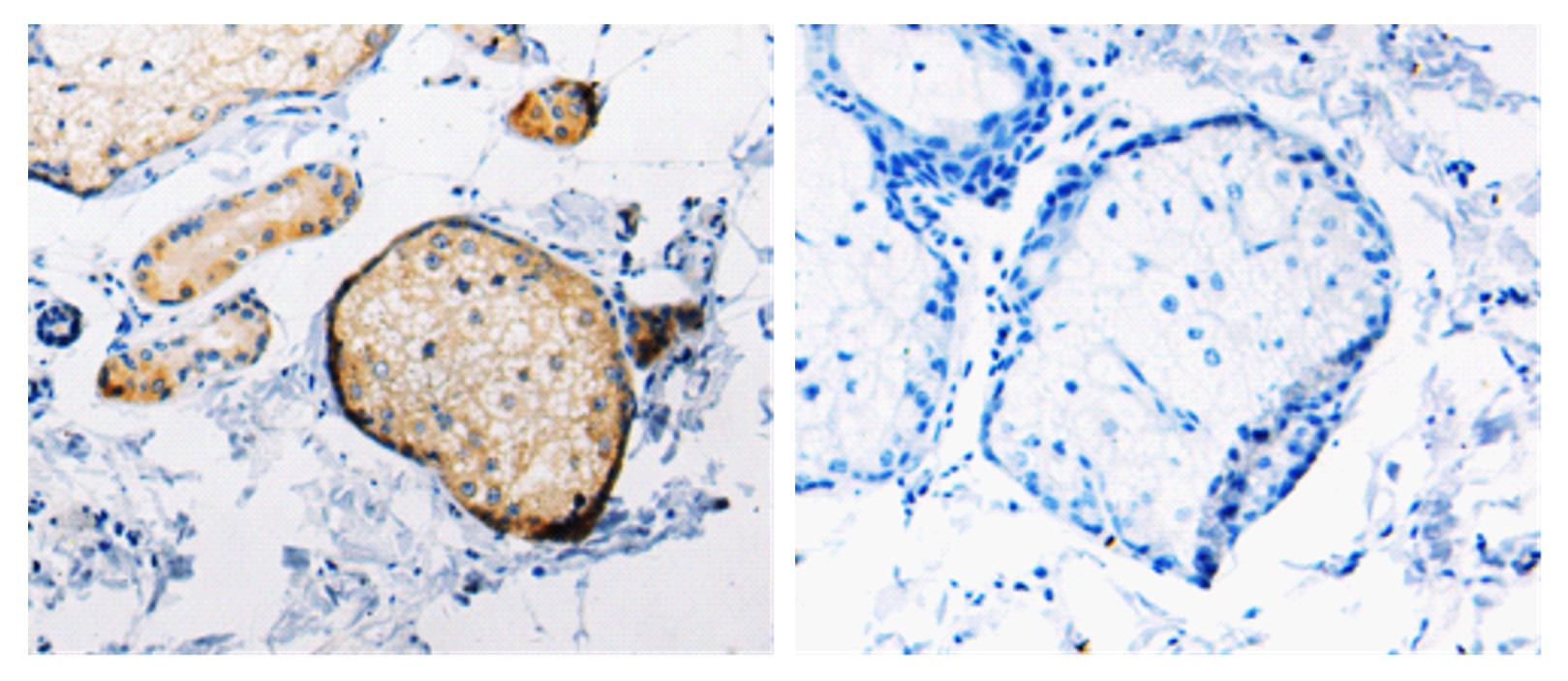
ARG66404 anti-RAB6A antibody IHC-P image
Immunohistochemistry: Paraffin-embedded Human skin stained with ARG66404 anti-RAB6A antibody (left) at 1:25 dilution, or the same antibody pre-incubated with antigen (right). (Original magnification: X200).
-
ARG66404 anti-RAB6A antibody WB image
Western blot: 30 µg of 293T, Mouse brain and A549 lysates stained with ARG66404 anti-RAB6A antibody at 1:650 dilution.
