ARG57498
anti-RAB7A antibody [10E4]
anti-RAB7A antibody [10E4] for Flow cytometry,ICC/IF,Western blot and Human
Overview
| Product Description | Mouse Monoclonal antibody [10E4] recognizes RAB7A |
|---|---|
| Tested Reactivity | Hu |
| Tested Application | FACS, ICC/IF, WB |
| Host | Mouse |
| Clonality | Monoclonal |
| Clone | 10E4 |
| Isotype | IgG2a, kappa |
| Target Name | RAB7A |
| Antigen Species | Human |
| Immunogen | Recombinant protein corresponding to aa. 1-207 of Human RAB7A. |
| Conjugation | Un-conjugated |
| Alternate Names | PRO2706; RAB7; Ras-related protein Rab-7a |
Application Instructions
| Application Suggestion |
|
||||||||
|---|---|---|---|---|---|---|---|---|---|
| Application Note | * The dilutions indicate recommended starting dilutions and the optimal dilutions or concentrations should be determined by the scientist. |
Properties
| Form | Liquid |
|---|---|
| Purification | Purification with Protein A. |
| Buffer | PBS (pH 7.4), 0.02% Sodium azide and 10% Glycerol. |
| Preservative | 0.02% Sodium azide |
| Stabilizer | 10% Glycerol |
| Concentration | 1 mg/ml |
| Storage Instruction | For continuous use, store undiluted antibody at 2-8°C for up to a week. For long-term storage, aliquot and store at -20°C. Storage in frost free freezers is not recommended. Avoid repeated freeze/thaw cycles. Suggest spin the vial prior to opening. The antibody solution should be gently mixed before use. |
| Note | For laboratory research only, not for drug, diagnostic or other use. |
Bioinformation
| Database Links | |
|---|---|
| Gene Symbol | RAB7A |
| Gene Full Name | RAB7A, member RAS oncogene family |
| Background | RAB family members are small, RAS-related GTP-binding proteins that are important regulators of vesicular transport. Each RAB protein targets multiple proteins that act in exocytic / endocytic pathways. This gene encodes a RAB family member that regulates vesicle traffic in the late endosomes and also from late endosomes to lysosomes. This encoded protein is also involved in the cellular vacuolation of the VacA cytotoxin of Helicobacter pylori. Mutations at highly conserved amino acid residues in this gene have caused some forms of Charcot-Marie-Tooth (CMT) type 2 neuropathies. [provided by RefSeq, Jul 2008] |
| Function | Key regulator in endo-lysosomal trafficking. Governs early-to-late endosomal maturation, microtubule minus-end as well as plus-end directed endosomal migration and positioning, and endosome-lysosome transport through different protein-protein interaction cascades. Plays a central role, not only in endosomal traffic, but also in many other cellular and physiological events, such as growth-factor-mediated cell signaling, nutrient-transportor mediated nutrient uptake, neurotrophin transport in the axons of neurons and lipid metabolism. Also involved in regulation of some specialized endosomal membrane trafficking, such as maturation of melanosomes, pathogen-induced phagosomes (or vacuoles) and autophagosomes. Plays a role in the maturation and acidification of phagosomes that engulf pathogens, such as S.aureus and M.tuberculosis. Plays a role in the fusion of phagosomes with lysosomes. Plays important roles in microbial pathogen infection and survival, as well as in participating in the life cycle of viruses. Microbial pathogens possess survival strategies governed by RAB7A, sometimes by employing RAB7A function (e.g. Salmonella) and sometimes by excluding RAB7A function (e.g. Mycobacterium). In concert with RAC1, plays a role in regulating the formation of RBs (ruffled borders) in osteoclasts. Controls the endosomal trafficking and neurite outgrowth signaling of NTRK1/TRKA. Regulates the endocytic trafficking of the EGF-EGFR complex by regulating its lysosomal degradation. Involved in the ADRB2-stimulated lipolysis through lipophagy, a cytosolic lipase-independent autophagic pathway (By similarity). [UniProt] |
| Calculated MW | 23 kDa |
Images (3) Click the Picture to Zoom In
-
ARG57498 anti-RAB7A antibody [10E4] ICC/IF image
Immunoflorescense: HeLa cells stained with ARG57498 anti-RAB7A antibody [10E4] at 1:100 dilution. The secondary antibody (green) was used Alexa Fluor 488. DAPI was stained the cell nucleus (blue).
-
ARG57498 anti-RAB7A antibody [10E4] FACS image
Flow Cytometry: HeLa cells stained with ARG57498 anti-RAB7A antibody [10E4] at 2 - 5 µg/10^6 cells (red). Goat anti-Mouse IgG (Alexa fluor 488) was used as the secondary antibody. Mouse monoclonal IgG was used as the isotype control (dark gray), cells without incubation with primary and secondary antibody was used as the negative control (light gray).
-
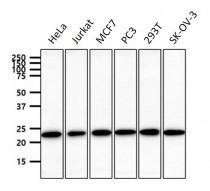
ARG57498 anti-RAB7A antibody [10E4] WB image
Western blot: 40 µg of HeLa, Jurkat, MCF7, PC3, 293T and SK-OV-3 cell lysates stained with ARG57498 anti-RAB7A antibody [10E4] at 1:1000 dilution.
