ARG59041
anti-RAG2 antibody
anti-RAG2 antibody for IHC-Formalin-fixed paraffin-embedded sections,Western blot and Human,Mouse,Rat
Overview
| Product Description | Rabbit Polyclonal antibody recognizes RAG2 |
|---|---|
| Tested Reactivity | Hu, Ms, Rat |
| Tested Application | IHC-P, WB |
| Host | Rabbit |
| Clonality | Polyclonal |
| Isotype | IgG |
| Target Name | RAG2 |
| Antigen Species | Human |
| Immunogen | Synthetic peptide corresponding to aa. 498-527 of Human RAG2 (KKPPMKSLRKKGSGKILTPAKKSFLRRLFD). |
| Conjugation | Un-conjugated |
| Alternate Names | RAG-2; V(D)J recombination-activating protein 2; RAG-2 |
Application Instructions
| Application Suggestion |
|
||||||
|---|---|---|---|---|---|---|---|
| Application Note | IHC-P: Antigen Retrieval: By heat mediation. * The dilutions indicate recommended starting dilutions and the optimal dilutions or concentrations should be determined by the scientist. |
Properties
| Form | Liquid |
|---|---|
| Purification | Affinity purification with immunogen. |
| Buffer | 0.2% Na2HPO4, 0.9% NaCl, 0.05% Sodium azide and 5% BSA. |
| Preservative | 0.05% Sodium azide |
| Stabilizer | 5% BSA |
| Concentration | 0.5 mg/ml |
| Storage Instruction | For continuous use, store undiluted antibody at 2-8°C for up to a week. For long-term storage, aliquot and store at -20°C or below. Storage in frost free freezers is not recommended. Avoid repeated freeze/thaw cycles. Suggest spin the vial prior to opening. The antibody solution should be gently mixed before use. |
| Note | For laboratory research only, not for drug, diagnostic or other use. |
Bioinformation
| Database Links |
Swiss-port # P21784 Mouse V(D)J recombination-activating protein 2 Swiss-port # P55895 Human V(D)J recombination-activating protein 2 |
|---|---|
| Gene Symbol | RAG2 |
| Gene Full Name | recombination activating gene 2 |
| Background | This gene encodes a protein that is involved in the initiation of V(D)J recombination during B and T cell development. This protein forms a complex with the product of the adjacent recombination activating gene 1, and this complex can form double-strand breaks by cleaving DNA at conserved recombination signal sequences. The recombination activating gene 1 component is thought to contain most of the catalytic activity, while the N-terminal of the recombination activating gene 2 component is thought to form a six-bladed propeller in the active core that serves as a binding scaffold for the tight association of the complex with DNA. A C-terminal plant homeodomain finger-like motif in this protein is necessary for interactions with chromatin components, specifically with histone H3 that is trimethylated at lysine 4. Mutations in this gene cause Omenn syndrome, a form of severe combined immunodeficiency associated with autoimmune-like symptoms. [provided by RefSeq, Jul 2008] |
| Function | Core component of the RAG complex, a multiprotein complex that mediates the DNA cleavage phase during V(D)J recombination. V(D)J recombination assembles a diverse repertoire of immunoglobulin and T-cell receptor genes in developing B and T-lymphocytes through rearrangement of different V (variable), in some cases D (diversity), and J (joining) gene segments. DNA cleavage by the RAG complex occurs in 2 steps: a first nick is introduced in the top strand immediately upstream of the heptamer, generating a 3'-hydroxyl group that can attack the phosphodiester bond on the opposite strand in a direct transesterification reaction, thereby creating 4 DNA ends: 2 hairpin coding ends and 2 blunt, 5'-phosphorylated ends. The chromatin structure plays an essential role in the V(D)J recombination reactions and the presence of histone H3 trimethylated at 'Lys-4' (H3K4me3) stimulates both the nicking and haipinning steps. The RAG complex also plays a role in pre-B cell allelic exclusion, a process leading to expression of a single immunoglobulin heavy chain allele to enforce clonality and monospecific recognition by the B-cell antigen receptor (BCR) expressed on individual B-lymphocytes. The introduction of DNA breaks by the RAG complex on one immunoglobulin allele induces ATM-dependent repositioning of the other allele to pericentromeric heterochromatin, preventing accessibility to the RAG complex and recombination of the second allele. In the RAG complex, RAG2 is not the catalytic component but is required for all known catalytic activities mediated by RAG1. It probably acts as a sensor of chromatin state that recruits the RAG complex to H3K4me3 (By similarity). [UniProt] |
| Cellular Localization | Nucleus. [UniProt] |
| Calculated MW | 59 kDa |
Images (4) Click the Picture to Zoom In
-
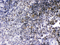
ARG59041 anti-RAG2 antibody IHC-P image
Immunohistochemistry: Paraffin-embedded Mouse spleen tissue stained with ARG59041 anti-RAG2 antibody.
-
ARG59041 anti-RAG2 antibody WB image
Western blot: 40 µg of A549, 22RV1 and U20S cell lysates stained with ARG59041 anti-RAG2 antibody at 0.5 µg/ml dilution.
-
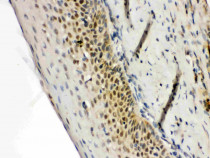
ARG59041 anti-RAG2 antibody IHC-P image
Immunohistochemistry: Paraffin-embedded Rat spleen tissue stained with ARG59041 anti-RAG2 antibody.
-
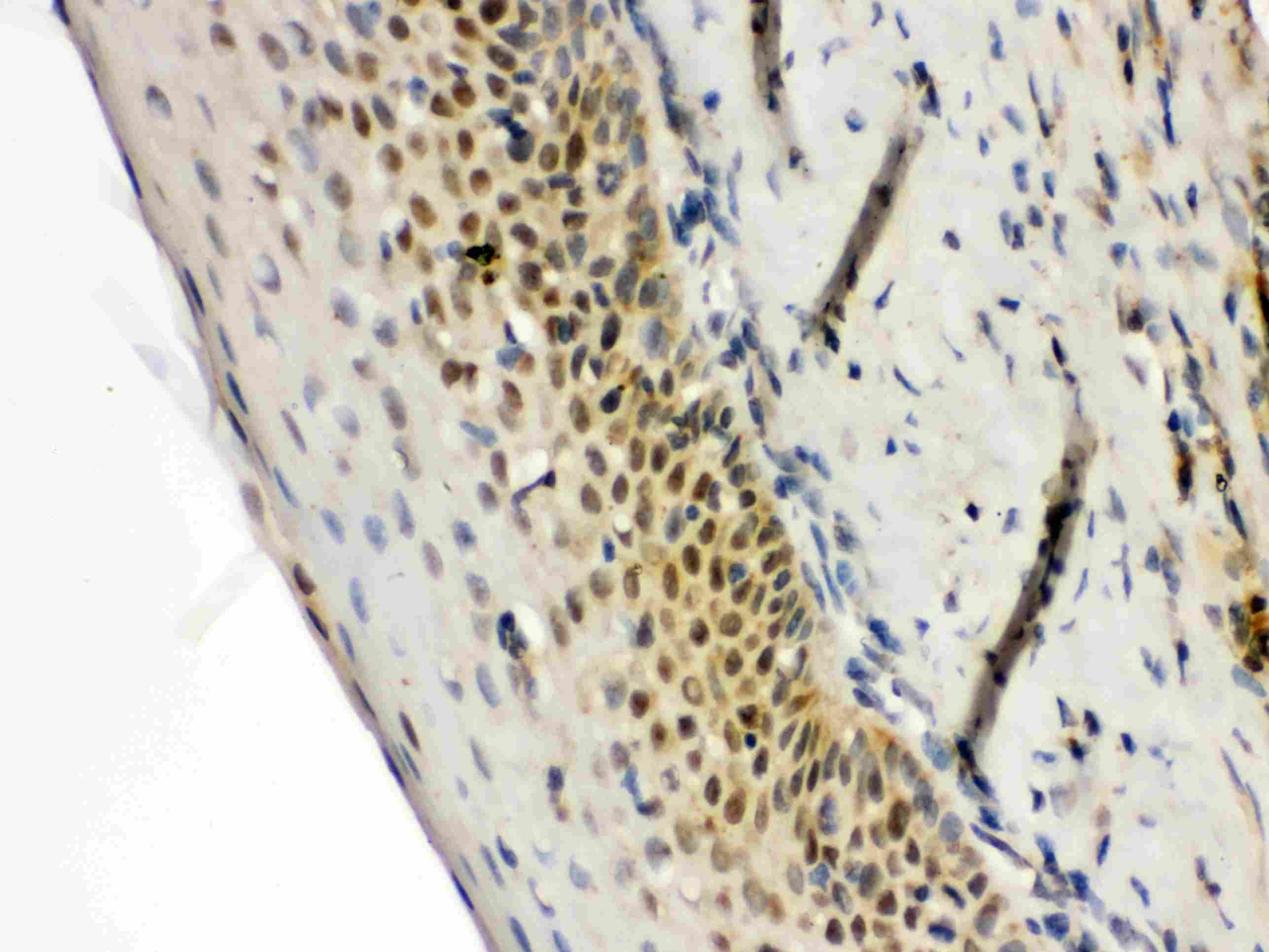
ARG59041 anti-RAG2 antibody IHC-P image
Immunohistochemistry: Paraffin-embedded Human tonsil tissue stained with ARG59041 anti-RAG2 antibody.
