ARG44732
anti-RANGAP1 antibody
anti-RANGAP1 antibody for IHC-Formalin-fixed paraffin-embedded sections,Immunoprecipitation,Western blot and Human
Overview
| Product Description | Mouse Monoclonal antibody recognizes RANGAP1 |
|---|---|
| Tested Reactivity | Hu |
| Tested Application | IHC-P, IP, WB |
| Host | Mouse |
| Clonality | Monoclonal |
| Isotype | IgG1 |
| Target Name | RANGAP1 |
| Antigen Species | Human |
| Conjugation | Un-conjugated |
| Alternate Names | RANGAP; Fug1; RanGAP1; Ran GTPase-activating protein 1; SD |
Application Instructions
| Application Suggestion |
|
||||||||
|---|---|---|---|---|---|---|---|---|---|
| Application Note | * The dilutions indicate recommended starting dilutions and the optimal dilutions or concentrations should be determined by the scientist. |
Properties
| Form | Liquid |
|---|---|
| Purification | Protein A purification |
| Buffer | PBS with 0.09% sodium azide |
| Storage Instruction | For continuous use, store undiluted antibody at 2-8°C for up to a week. For long-term storage, aliquot and store at -20°C or below. Storage in frost free freezers is not recommended. Avoid repeated freeze/thaw cycles. Suggest spin the vial prior to opening. The antibody solution should be gently mixed before use. |
| Note | For laboratory research only, not for drug, diagnostic or other use. |
Bioinformation
| Database Links | |
|---|---|
| Gene Symbol | RANGAP1 |
| Gene Full Name | Ran GTPase activating protein 1 |
| Background | This gene encodes a protein that associates with the nuclear pore complex and participates in the regulation of nuclear transport. The encoded protein interacts with Ras-related nuclear protein 1 (RAN) and regulates guanosine triphosphate (GTP)-binding and exchange. Alternative splicing results in multiple transcript variants. [provided by RefSeq, Jul 2013] |
| Function | GTPase activator for the nuclear Ras-related regulatory protein Ran, converting it to the putatively inactive GDP-bound state. [UniProt] |
| Calculated MW | 37 kDa |
Images (3) Click the Picture to Zoom In
-
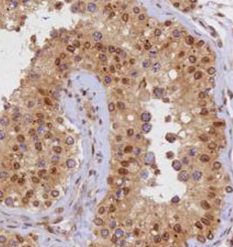
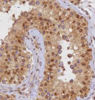
ARG44732 anti-RANGAP1 antibody IHC-P image
Immunohistochemistry: Human testis stained with ARG44732 anti-RANGAP1 antibody at 1 µg/mL dilution.
-
ARG44732 anti-RANGAP1 antibody WB image
Western blot: PC3 stained with ARG44732 anti-RANGAP1 antibody at 1 µg/mL dilution.
-
ARG44732 anti-RANGAP1 antibody IP image
Immunoprecipitation: PC3 lysate immunoprecipitated with 2.5 µg of ARG44732 anti-RANGAP1 antibody.
