ARG59051
anti-RBBP4 / RbAp48 antibody [9F3]
anti-RBBP4 / RbAp48 antibody [9F3] for Flow cytometry,IHC-Formalin-fixed paraffin-embedded sections,Western blot and Human,Mouse,Rat
Overview
| Product Description | Mouse Monoclonal antibody [9F3] recognizes RBBP4 / RbAp48 |
|---|---|
| Tested Reactivity | Hu, Ms, Rat |
| Tested Application | FACS, IHC-P, WB |
| Host | Mouse |
| Clonality | Monoclonal |
| Clone | 9F3 |
| Isotype | IgG1 |
| Target Name | RBBP4 / RbAp48 |
| Antigen Species | Human |
| Immunogen | Synthetic peptide corresponding to aa. 395-425 of Human RbAp48 (EDNIMQVWQMAENIYNDEDPEGSVDPEGQGS) |
| Conjugation | Un-conjugated |
| Alternate Names | Retinoblastoma-binding protein 4; Retinoblastoma-binding protein p48; Chromatin assembly factor I p48 subunit; Nucleosome-remodeling factor subunit RBAP48; RBBP-4; NURF55; lin-53; CAF-I p48; CAF-I 48 kDa subunit; Chromatin assembly factor 1 subunit C; CAF-1 subunit C; RBAP48; Histone-binding protein RBBP4 |
Application Instructions
| Application Suggestion |
|
||||||||
|---|---|---|---|---|---|---|---|---|---|
| Application Note | IHC-P: Antigen Retrieval: Heat mediation was performed in Citrate buffer (pH 6.0) for 20 min. * The dilutions indicate recommended starting dilutions and the optimal dilutions or concentrations should be determined by the scientist. |
||||||||
| Observed Size | 53 kDa |
Properties
| Form | Liquid |
|---|---|
| Purification | Affinity purification with immunogen. |
| Buffer | 0.2% Na2HPO4, 0.9% NaCl, 0.05% Sodium azide and 4% Trehalose. |
| Preservative | 0.05% Sodium azide |
| Stabilizer | 4% Trehalose |
| Concentration | 0.5 mg/ml |
| Storage Instruction | For continuous use, store undiluted antibody at 2-8°C for up to a week. For long-term storage, aliquot and store at -20°C or below. Storage in frost free freezers is not recommended. Avoid repeated freeze/thaw cycles. Suggest spin the vial prior to opening. The antibody solution should be gently mixed before use. |
| Note | For laboratory research only, not for drug, diagnostic or other use. |
Bioinformation
| Database Links | |
|---|---|
| Gene Symbol | RBBP4 |
| Gene Full Name | retinoblastoma binding protein 4 |
| Background | This gene encodes a ubiquitously expressed nuclear protein which belongs to a highly conserved subfamily of WD-repeat proteins. It is present in protein complexes involved in histone acetylation and chromatin assembly. It is part of the Mi-2 complex which has been implicated in chromatin remodeling and transcriptional repression associated with histone deacetylation. This encoded protein is also part of co-repressor complexes, which is an integral component of transcriptional silencing. It is found among several cellular proteins that bind directly to retinoblastoma protein to regulate cell proliferation. This protein also seems to be involved in transcriptional repression of E2F-responsive genes. Three transcript variants encoding different isoforms have been found for this gene. [provided by RefSeq, Sep 2008] |
| Function | Core histone-binding subunit that may target chromatin assembly factors, chromatin remodeling factors and histone deacetylases to their histone substrates in a manner that is regulated by nucleosomal DNA. Component of several complexes which regulate chromatin metabolism. These include the chromatin assembly factor 1 (CAF-1) complex, which is required for chromatin assembly following DNA replication and DNA repair; the core histone deacetylase (HDAC) complex, which promotes histone deacetylation and consequent transcriptional repression; the nucleosome remodeling and histone deacetylase complex (the NuRD complex), which promotes transcriptional repression by histone deacetylation and nucleosome remodeling; the PRC2/EED-EZH2 complex, which promotes repression of homeotic genes during development; and the NURF (nucleosome remodeling factor) complex. [UniProt] |
| Cellular Localization | Nucleus. [UniProt] |
| Calculated MW | 48 kDa |
Images (10) Click the Picture to Zoom In
-
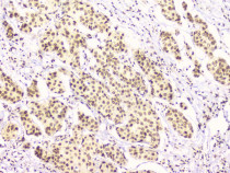
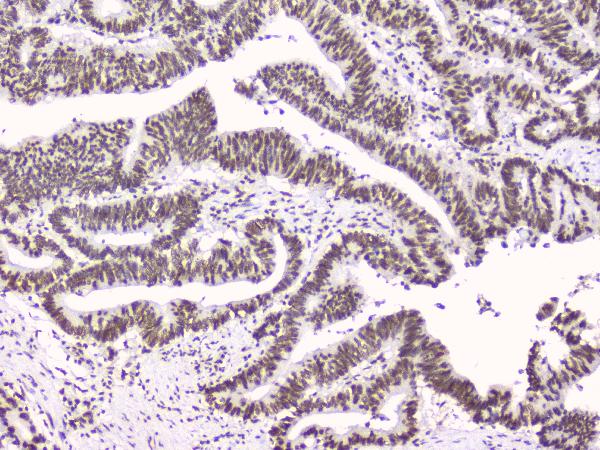
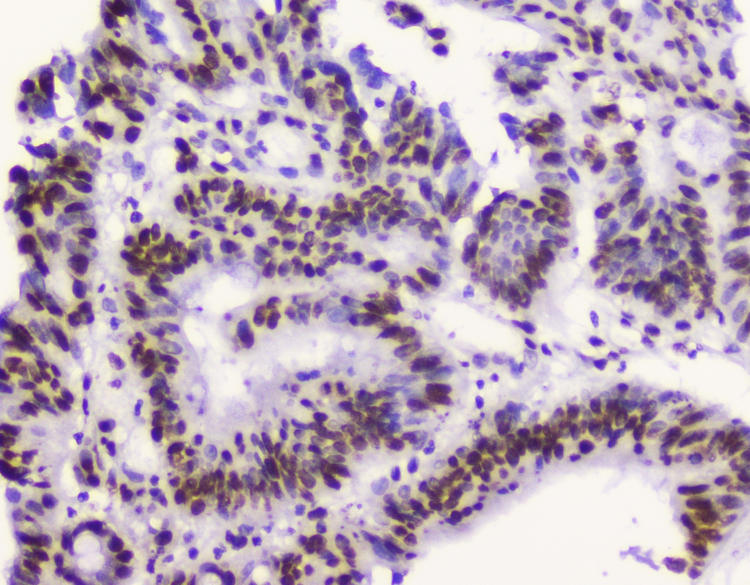
ARG59051 anti-RBBP4 / RbAp48 antibody [9F3] IHC-P image
Immunohistochemistry: Paraffin-embedded Human intestinal cancer tissue. Antigen Retrieval: Heat mediated was performed in Citrate buffer (pH 6.0, epitope retrieval solution) for 20 min. The tissue section was blocked with 10% goat serum. The tissue section was then stained with ARG59051 anti-RBBP4 / RbAp48 antibody [9F3] at 2 µg/ml dilution, overnight at 4°C.
-
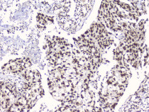
ARG59051 anti-RBBP4 / RbAp48 antibody [9F3] IHC-P image
Immunohistochemistry: Paraffin-embedded Human mammary cancer tissue. Antigen Retrieval: Heat mediation was performed in Citrate buffer (pH 6.0) for 20 min. The tissue section was blocked with 10% goat serum. The tissue section was then stained with ARG59051 anti-RBBP4 / RbAp48 antibody [9F3] at 1 µg/ml dilution, overnight at 4°C.
-
ARG59051 anti-RBBP4 / RbAp48 antibody [9F3] WB image
Western blot: 50 µg of samples under reducing conditions. A549, Jurkat, HeLa and PANC-1 cell lysates stained with ARG59051 anti-RBBP4 / RbAp48 antibody [9F3] at 0.5 µg/ml, overnight at 4°C.
-
ARG59051 anti-RBBP4 / RbAp48 antibody [9F3] WB image
Western blot: 50 µg of sample under reducing conditions. Jurkat, Rat thymus and Mouse spleen lysates stained with ARG59051 anti-RBBP4 / RbAp48 antibody [9F3] at 0.5 µg/ml dilution, overnight at 4°C.
-
ARG59051 anti-RBBP4 / RbAp48 antibody [9F3] FACS image
Flow Cytometry: SiHa cells were blocked with 10% normal goat serum and then stained with ARG59051 anti-RBBP4 / RbAp48 antibody [9F3] (blue) at 1 µg/10^6 cells for 30 min at 20°C, followed by incubation with DyLight®488 labelled secondary antibody. Isotype control antibody (green) was rabbit IgG (1 µg/10^6 cells) used under the same conditions. Unlabelled sample (red) was also used as a control.
-
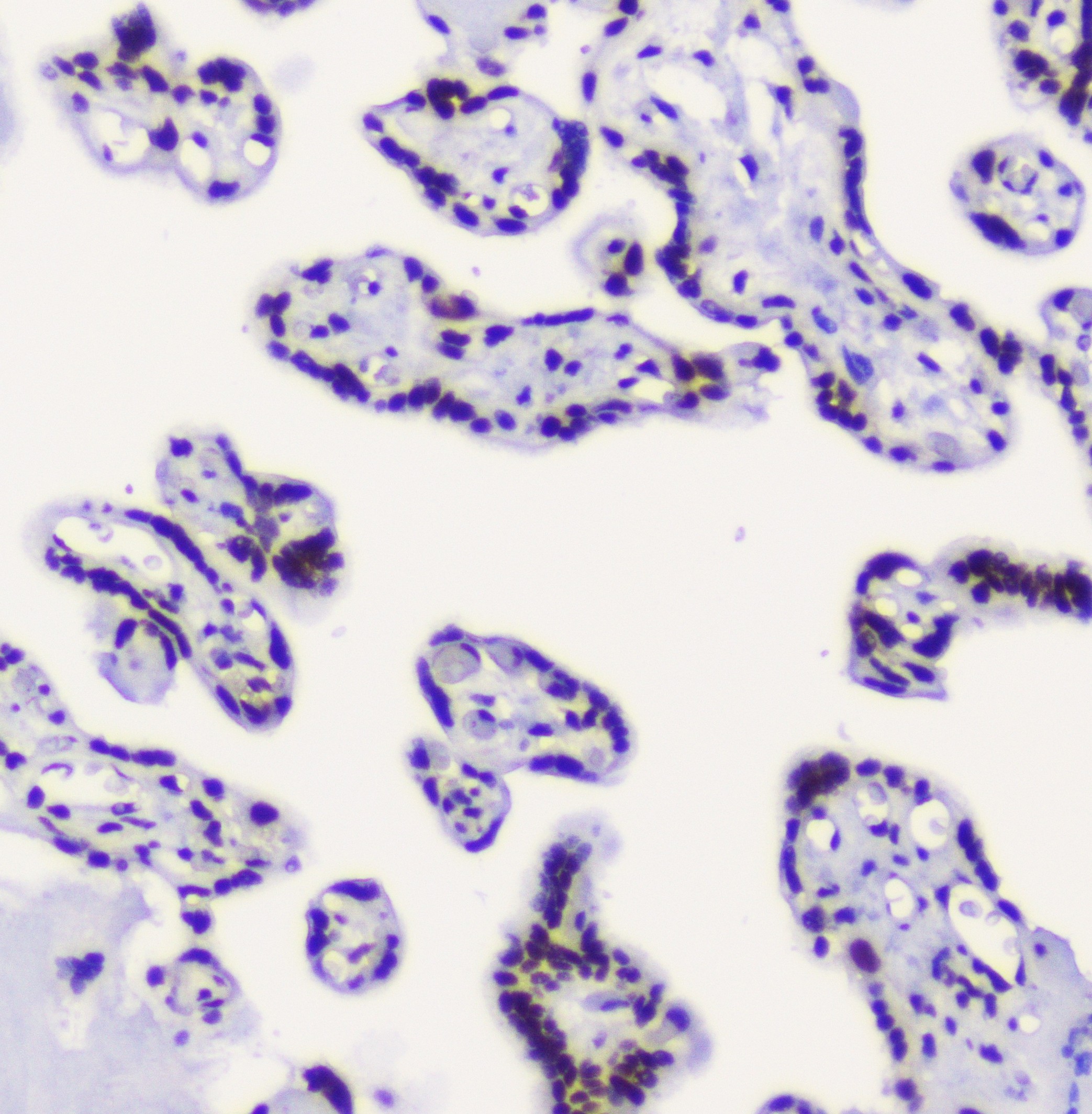
ARG59051 anti-RBBP4 / RbAp48 antibody [9F3] IHC-P image
Immunohistochemistry: Paraffin-embedded Human placenta tissue. Antigen Retrieval: Heat mediated was performed in Citrate buffer (pH 6.0, epitope retrieval solution) for 20 min. The tissue section was blocked with 10% goat serum. The tissue section was then stained with ARG59051 anti-RBBP4 / RbAp48 antibody [9F3] at 2 µg/ml dilution, overnight at 4°C.
-
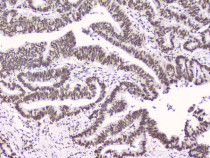
ARG59051 anti-RBBP4 / RbAp48 antibody [9F3] IHC-P image
Immunohistochemistry: Paraffin-embedded Human intestinal cancer tissue. Antigen Retrieval: Heat mediation was performed in Citrate buffer (pH 6.0) for 20 min. The tissue section was blocked with 10% goat serum. The tissue section was then stained with ARG59051 anti-RBBP4 / RbAp48 antibody [9F3] at 1 µg/ml dilution, overnight at 4°C.
-
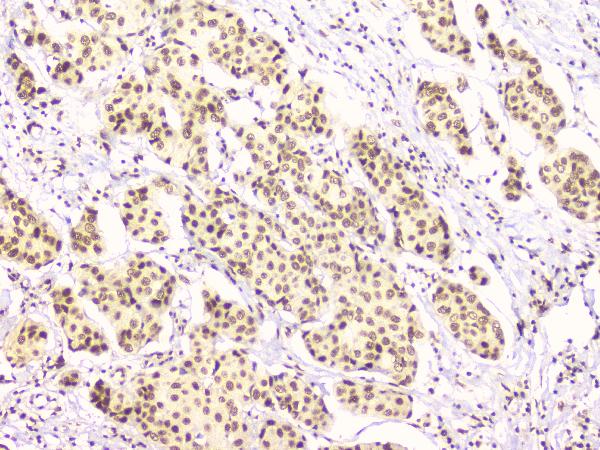
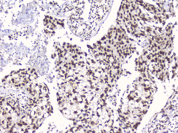
ARG59051 anti-RBBP4 / RbAp48 antibody [9F3] IHC-P image
Immunohistochemistry: Paraffin-embedded Human lung cancer tissue. Antigen Retrieval: Heat mediation was performed in Citrate buffer (pH 6.0) for 20 min. The tissue section was blocked with 10% goat serum. The tissue section was then stained with ARG59051 anti-RBBP4 / RbAp48 antibody [9F3] at 1 µg/ml dilution, overnight at 4°C.
-
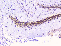
ARG59051 anti-RBBP4 / RbAp48 antibody [9F3] IHC-P image
Immunohistochemistry: Paraffin-embedded Mouse brain tissue. Antigen Retrieval: Heat mediation was performed in Citrate buffer (pH 6.0) for 20 min. The tissue section was blocked with 10% goat serum. The tissue section was then stained with ARG59051 anti-RBBP4 / RbAp48 antibody [9F3] at 1 µg/ml dilution, overnight at 4°C.
-
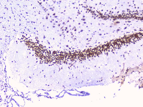
ARG59051 anti-RBBP4 / RbAp48 antibody [9F3] IHC-P image
Immunohistochemistry: Paraffin-embedded Rat brain tissue. Antigen Retrieval: Heat mediation was performed in Citrate buffer (pH 6.0) for 20 min. The tissue section was blocked with 10% goat serum. The tissue section was then stained with ARG59051 anti-RBBP4 / RbAp48 antibody [9F3] at 1 µg/ml dilution, overnight at 4°C.
