ARG59910
anti-RBM17 antibody
anti-RBM17 antibody for IHC-Formalin-fixed paraffin-embedded sections,Western blot and Human,Mouse,Rat
Overview
| Product Description | Rabbit Polyclonal antibody recognizes RBM17 |
|---|---|
| Tested Reactivity | Hu, Ms, Rat |
| Tested Application | IHC-P, WB |
| Host | Rabbit |
| Clonality | Polyclonal |
| Isotype | IgG |
| Target Name | RBM17 |
| Antigen Species | Human |
| Immunogen | Recombinant fusion protein corresponding to aa. 1-240 of Human RBM17 (NP_116294.1). |
| Conjugation | Un-conjugated |
| Alternate Names | 45 kDa-splicing factor; SPF45; RNA-binding motif protein 17; Splicing factor 45 |
Application Instructions
| Application Suggestion |
|
||||||
|---|---|---|---|---|---|---|---|
| Application Note | * The dilutions indicate recommended starting dilutions and the optimal dilutions or concentrations should be determined by the scientist. | ||||||
| Positive Control | Rat thymus and DU145 | ||||||
| Observed Size | 50 kDa |
Properties
| Form | Liquid |
|---|---|
| Purification | Affinity purified. |
| Buffer | PBS (pH 7.3), 0.02% Sodium azide and 50% Glycerol. |
| Preservative | 0.02% Sodium azide |
| Stabilizer | 50% Glycerol |
| Storage Instruction | For continuous use, store undiluted antibody at 2-8°C for up to a week. For long-term storage, aliquot and store at -20°C. Storage in frost free freezers is not recommended. Avoid repeated freeze/thaw cycles. Suggest spin the vial prior to opening. The antibody solution should be gently mixed before use. |
| Note | For laboratory research only, not for drug, diagnostic or other use. |
Bioinformation
| Database Links | |
|---|---|
| Gene Symbol | RBM17 |
| Gene Full Name | RNA binding motif protein 17 |
| Background | This gene encodes an RNA binding protein. The encoded protein is part of the spliceosome complex and functions in the second catalytic step of mRNA splicing. Alternatively spliced transcript variants have been described. Related pseudogenes exist on chromosomes 9 and 15. [provided by RefSeq, Mar 2009] |
| Function | Splice factor that binds to the single-stranded 3'AG at the exon/intron border and promotes its utilization in the second catalytic step. Involved in the regulation of alternative splicing and the utilization of cryptic splice sites. Promotes the utilization of a cryptic splice site created by the beta-110 mutation in the HBB gene. The resulting frameshift leads to sickle cell anemia. [UniProt] |
| Cellular Localization | Nucleus. [UniProt] |
| Calculated MW | 45 kDa |
Images (3) Click the Picture to Zoom In
-
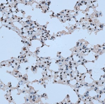
ARG59910 anti-RBM17 antibody IHC-P image
Immunohistochemistry: Paraffin-embedded Mouse lung stained with ARG59910 anti-RBM17 antibody at 1:100 dilution.
-
ARG59910 anti-RBM17 antibody WB image
Western blot: 25 µg of Rat thymus and DU145 cell lysates stained with ARG59910 anti-RBM17 antibody at 1:1000 dilution.
-
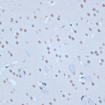
ARG59910 anti-RBM17 antibody IHC-P image
Immunohistochemistry: Paraffin-embedded Mouse brain stained with ARG59910 anti-RBM17 antibody at 1:100 dilution.
