ARG45811
anti-RBMS1 antibody
anti-RBMS1 antibody for Flow cytometry,ICC/IF,IHC-Formalin-fixed paraffin-embedded sections,Western blot and Human,Mouse
Overview
| Product Description | Rabbit Polyclonal antibody recognizes RBMS1 |
|---|---|
| Tested Reactivity | Hu, Ms |
| Tested Application | FACS, ICC/IF, IHC-P, WB |
| Host | Rabbit |
| Clonality | Polyclonal |
| Isotype | IgG |
| Target Name | RBMS1 |
| Antigen Species | Human |
| Immunogen | Recombinant protein containing to human RBMS1. |
| Conjugation | Un-conjugated |
| Alternate Names | RBMS1; RNA binding motif, single stranded interacting protein 1; HCC-4; SCR2; YC1; RNA-binding motif, single-stranded-interacting protein 1; C2orf12; Single-stranded DNA-binding protein MSSP-1; MSSP-1; MSSP; MSSP-2; MSSP-3; Suppressor of CDC2 with RNA-binding motif 2 |
Application Instructions
| Application Suggestion |
|
||||||||||
|---|---|---|---|---|---|---|---|---|---|---|---|
| Application Note | * The dilutions indicate recommended starting dilutions and the optimal dilutions or concentrations should be determined by the scientist. | ||||||||||
| Observed Size | 50 kDa |
Properties
| Form | Liquid |
|---|---|
| Purification | Affinity purified |
| Buffer | 0.2% Na2HPO4, 0.9% NaCl and 4% Trehalose. |
| Stabilizer | 4% Trehalose |
| Concentration | 0.5 mg/ml |
| Storage Instruction | For continuous use, store undiluted antibody at 2-8°C for up to a week. For long-term storage, aliquot and store at -20°C or below. Storage in frost free freezers is not recommended. Avoid repeated freeze/thaw cycles. Suggest spin the vial prior to opening. The antibody solution should be gently mixed before use. |
| Note | For laboratory research only, not for drug, diagnostic or other use. |
Bioinformation
| Database Links |
Swiss-port # P29558 Human RNA-binding motif, single-stranded-interacting protein 1 Swiss-port # Q91W59 Mouse RNA-binding motif, single-stranded-interacting protein 1 |
|---|---|
| Gene Symbol | RBMS1 |
| Gene Full Name | RNA binding motif, single stranded interacting protein 1 |
| Background | This gene encodes a member of a small family of proteins which bind single stranded DNA/RNA. These proteins are characterized by the presence of two sets of ribonucleoprotein consensus sequence (RNP-CS) that contain conserved motifs, RNP1 and RNP2, originally described in RNA binding proteins, and required for DNA binding. These proteins have been implicated in such diverse functions as DNA replication, gene transcription, cell cycle progression and apoptosis. Several transcript variants, resulting from alternative splicing and encoding different isoforms, have been described. A pseudogene for this locus is found on chromosome 12. [provided by RefSeq, Feb 2009] |
| Function | Single-stranded DNA binding protein that interacts with the region upstream of the MYC gene. Binds specifically to the DNA sequence motif 5'-[AT]CT[AT][AT]T-3'. Probably has a role in DNA replication. [UniProt] |
| Cellular Localization | Nucleus. [UniProt] |
| Calculated MW | 45 kDa |
| PTM | Phosphoprotein. [UniProt] |
Images (5) Click the Picture to Zoom In
-
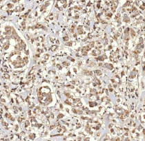
ARG45811 anti-RBMS1 antibody IHC-P image
Immunohistochemistry: Human breast cancer stained with ARG45811 anti-RBMS1 antibody at 2 μg/ml dilution.
-
ARG45811 anti-RBMS1 antibody ICC/IF image
Immunofluorescence: Hela stained with ARG45811 anti-RBMS1 antibody at 5 μg/ml dilution.
-
ARG45811 anti-RBMS1 antibody WB image
Western blot: Hela stained with ARG45811 anti-RBMS1 antibody at 0.5 μg/ml dilution.
-
ARG45811 anti-RBMS1 antibody FACS image
Flow Cytometry: U87 stained with ARG45811 anti-RBMS1 antibody at 1 µg/10^6 cells dilution.
-
ARG45811 anti-RBMS1 antibody WB image
Western blot: NIH/3T3 stained with ARG45811 anti-RBMS1 antibody at 0.5 μg/ml dilution.
