ARG45257
anti-RG9MTD1 antibody
anti-RG9MTD1 antibody for Flow cytometry,ICC/IF,IHC-Formalin-fixed paraffin-embedded sections,Western blot and Human
Overview
| Product Description | Polyclonal antibody recognizes RG9MTD1 |
|---|---|
| Tested Reactivity | Hu |
| Tested Application | FACS, ICC/IF, IHC-P, WB |
| Host | Rabbit |
| Clonality | Polyclonal |
| Isotype | IgG |
| Target Name | RG9MTD1 |
| Antigen Species | Human |
| Immunogen | Recombinant protein containing to human RG9MTD1. |
| Conjugation | Un-conjugated |
| Alternate Names | RG9MTD1; TRMT10C; TRNA Methyltransferase 10C, Mitochondrial RNase P Subunit; MRPP1; RG9MTD1; RNA (Guanine-9-) Methyltransferase Domain Containing 1; MRNA Methyladenosine-N(1)-Methyltransferase; TRNA (Adenine(9)-N(1))-Methyltransferase; TRNA (Guanine(9)-N(1))-Methyltransferase; Mitochondrial Ribonuclease P Protein 1; HBV Pre-S2 Trans-Regulated Protein 2; TRNA Methyltransferase 10 Homolog C; Renal Carcinoma Antigen NY-REN-49; Mitochondrial RNase P Subunit 1; FLJ20432; RNA (Guanine-9-)-Methyltransferase Domain-Containing Protein 1; TRNA Methyltransferase 10 Homolog C (S. Cerevisiae); Mitochondrial RNase P Protein 1; EC 2.1.1.218; EC 2.1.1.221; EC 2.1.1.36; EC 2.1.1.-; EC 2.1.1; COXPD30; HNYA; |
Application Instructions
| Application Suggestion |
|
||||||||||
|---|---|---|---|---|---|---|---|---|---|---|---|
| Application Note | * The dilutions indicate recommended starting dilutions and the optimal dilutions or concentrations should be determined by the scientist. | ||||||||||
| Observed Size | 40-45 kDa |
Properties
| Form | Liquid |
|---|---|
| Purification | Affinity purification with immunogen. |
| Buffer | 0.2% Na2HPO4, 0.9% NaCl and 4% Trehalose. |
| Stabilizer | 4% Trehalose |
| Concentration | 0.5 mg/ml |
| Storage Instruction | For continuous use, store undiluted antibody at 2-8°C for up to a week. For long-term storage, aliquot and store at -20°C or below. Storage in frost free freezers is not recommended. Avoid repeated freeze/thaw cycles. Suggest spin the vial prior to opening. The antibody solution should be gently mixed before use. |
| Note | For laboratory research only, not for drug, diagnostic or other use. |
Bioinformation
| Database Links |
Swiss-port # Q7L0Y3 Human Mitochondrial ribonuclease P protein 1 |
|---|---|
| Gene Symbol | TRMT10C |
| Gene Full Name | TRNA Methyltransferase 10C, Mitochondrial RNase P Subunit |
| Background | This gene encodes the precursor of a subunit of the mitochondrial ribonuclease P, which is involved in 5' processing of mitochondrial tRNAs. The encoded protein may confer RNA-binding capacity to mitochondrial ribonuclease P and may be essential for transcript processing, RNA modification, translation and mitochondrial respiration.[provided by RefSeq, Nov 2012] |
| Function | Mitochondrial tRNA N1-methyltransferase involved in mitochondrial tRNA maturation. [UniProt] |
| Cellular Localization | Mitochondrion; Mitochondrion nucleoid [UniProt] |
| Calculated MW | 47 kDa |
| PTM | Phosphoprotein. [UniProt] |
Images (4) Click the Picture to Zoom In
-
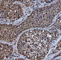
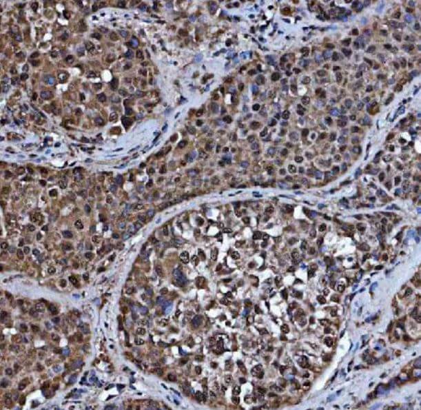
ARG45257 anti-RG9MTD1 antibody IHC-P image
Immunohistochemistry: Human liver cancer stained with ARG45257 anti-RG9MTD1 antibody at 2 μg/ml dilution.
-
ARG45257 anti-RG9MTD1 antibody ICC/IF image
Immunofluorescence: A549 stained with ARG45257 anti-RG9MTD1 antibody at 5 ug/ml dilution.
-
ARG45257 anti-RG9MTD1 antibody WB image
Western blot: HepG2 and Daudi stained with ARG45257 anti-RG9MTD1 antibody at 0.5 μg/ml dilution.
-
ARG45257 anti-RG9MTD1 antibody FACS image
Flow Cytometry: 293T stained with ARG45257 anti-RG9MTD1 antibody at 1 µg/10^6 cells dilution.
