ARG45599
anti-RGS3 antibody
anti-RGS3 antibody for IHC-Formalin-fixed paraffin-embedded sections,Western blot and Human,Mouse,Rat
Overview
| Product Description | Rabbit Polyclonal antibody recognizes RGS3 |
|---|---|
| Tested Reactivity | Hu, Ms, Rat |
| Tested Application | IHC-P, WB |
| Host | Rabbit |
| Clonality | Polyclonal |
| Isotype | IgG |
| Target Name | RGS3 |
| Antigen Species | Human |
| Immunogen | Synthetic peptide corresponding to C-terminal region of mouse RGS3. |
| Conjugation | Un-conjugated |
| Alternate Names | RGS3; Regulator Of G Protein Signaling 3; Regulator Of G-Protein Signaling 3; C2PA; Regulator Of G-Protein Signalling 3; FLJ20370; PDZ-RGS3; RGP3 |
Application Instructions
| Application Suggestion |
|
||||||
|---|---|---|---|---|---|---|---|
| Application Note | * The dilutions indicate recommended starting dilutions and the optimal dilutions or concentrations should be determined by the scientist. |
Properties
| Form | Liquid |
|---|---|
| Purification | Affinity purified |
| Buffer | 0.9% NaCl, 0.2% Na2HPO4, 0.05% Thimerosal, 0.05% Sodium azide and 5% BSA. |
| Preservative | 0.05% Thimerosal and 0.05% Sodium azide |
| Stabilizer | 5% BSA |
| Concentration | 0.5 mg/ml |
| Storage Instruction | For continuous use, store undiluted antibody at 2-8°C for up to a week. For long-term storage, aliquot and store at -20°C or below. Storage in frost free freezers is not recommended. Avoid repeated freeze/thaw cycles. Suggest spin the vial prior to opening. The antibody solution should be gently mixed before use. |
| Note | For laboratory research only, not for drug, diagnostic or other use. |
Bioinformation
| Database Links | |
|---|---|
| Gene Symbol | RGS3 |
| Gene Full Name | Regulator Of G Protein Signaling 3 |
| Background | This gene encodes a member of the regulator of G-protein signaling (RGS) family. This protein is a GTPase-activating protein that inhibits G-protein-mediated signal transduction. Alternative splicing and the use of alternative promoters results in multiple transcript variants encoding different isoforms. Long isoforms are largely cytosolic and plasma membrane-associated with a function in Wnt signaling and in the epithelial mesenchymal transition, while shorter N-terminally-truncated isoforms can be nuclear. [provided by RefSeq, Jan 2013] |
| Function | Down-regulates signaling from heterotrimeric G-proteins by increasing the GTPase activity of the alpha subunits, thereby driving them into their inactive GDP-bound form. Down-regulates G-protein-mediated release of inositol phosphates and activation of MAP kinases. [UniProt] |
| Cellular Localization | Cell membrane; Cytoplasm; Membrane; Nucleus. [UniProt] |
| Calculated MW | 132 kDa |
| PTM | Methylation; Phosphoprotein; Ubl conjugation. [UniProt] |
Images (3) Click the Picture to Zoom In
-
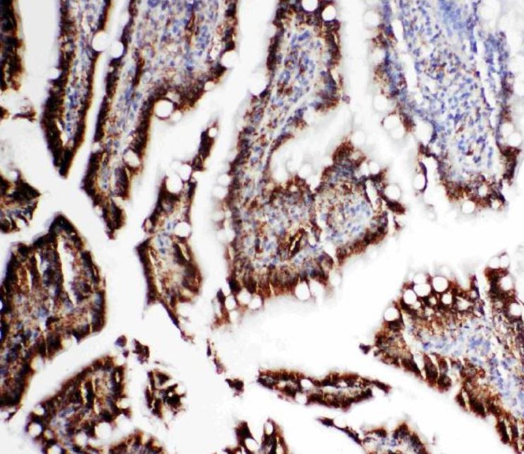
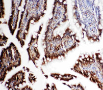
ARG45599 anti-RGS3 antibody IHC-P image
Immunohistochemistry: Rat intestine stained with ARG45599 anti-RGS3 antibody at 2 μg/ml dilution.
-
ARG45599 anti-RGS3 antibody WB image
Western blot: Hela stained with ARG45599 anti-RGS3 antibody.
-
ARG45599 anti-RGS3 antibody WB image
Western blot: Rat testis stained with ARG45599 anti-RGS3 antibody.
