ARG59104
anti-RNASE3 / Eosinophil cationic protein antibody
anti-RNASE3 / Eosinophil cationic protein antibody for IHC-Formalin-fixed paraffin-embedded sections,Western blot and Human,Mouse,Rat
Overview
| Product Description | Rabbit Polyclonal antibody recognizes RNASE3 / Eosinophil cationic protein |
|---|---|
| Tested Reactivity | Hu, Ms, Rat |
| Tested Application | IHC-P, WB |
| Host | Rabbit |
| Clonality | Polyclonal |
| Isotype | IgG |
| Target Name | RNASE3 / Eosinophil cationic protein |
| Antigen Species | Human |
| Immunogen | Recombinant protein corresponding to R28-I160 of Human RNASE3 / Eosinophil cationic protein. |
| Conjugation | Un-conjugated |
| Alternate Names | Eosinophil cationic protein; RNS3; ECP; RNase 3; Ribonuclease 3; EC 3.1.27.- |
Application Instructions
| Application Suggestion |
|
||||||
|---|---|---|---|---|---|---|---|
| Application Note | IHC-P: Antigen Retrieval: Heat mediated was performed in Citrate buffer (pH 6.0) for 20 min. * The dilutions indicate recommended starting dilutions and the optimal dilutions or concentrations should be determined by the scientist. |
Properties
| Form | Liquid |
|---|---|
| Purification | Affinity purified. |
| Buffer | 0.9% NaCl, 0.2% Na2HPO4, 0.05% Sodium azide and 4% Trehalose. |
| Preservative | 0.05% Sodium azide |
| Stabilizer | 4% Trehalose |
| Concentration | 0.5 mg/ml |
| Storage Instruction | For continuous use, store undiluted antibody at 2-8°C for up to a week. For long-term storage, aliquot and store at -20°C or below. Storage in frost free freezers is not recommended. Avoid repeated freeze/thaw cycles. Suggest spin the vial prior to opening. The antibody solution should be gently mixed before use. |
| Note | For laboratory research only, not for drug, diagnostic or other use. |
Bioinformation
| Database Links | |
|---|---|
| Gene Symbol | RNASE3 |
| Gene Full Name | ribonuclease, RNase A family, 3 |
| Background | The protein encoded by this gene belongs to the pancreatic ribonuclease family, a subset of the ribonuclease A superfamily. The protein exhibits antimicrobial activity against pathogenic bacteria [provided by RefSeq, Oct 2014] |
| Function | Cytotoxin and helminthotoxin with low-efficiency ribonuclease activity. Possesses a wide variety of biological activities. Exhibits antibacterial activity, including cytoplasmic membrane depolarization of preferentially Gram-negative, but also Gram-positive strains. Promotes E.coli outer membrane detachment, alteration of the overall cell shape and partial loss of cell content. [UniProt] |
| Cellular Localization | Secreted. Note=Located in the matrix of eosinophil large specific granule, which are released following activation by an immune stimulus. [UniProt] |
| Calculated MW | 18 kDa |
Images (4) Click the Picture to Zoom In
-
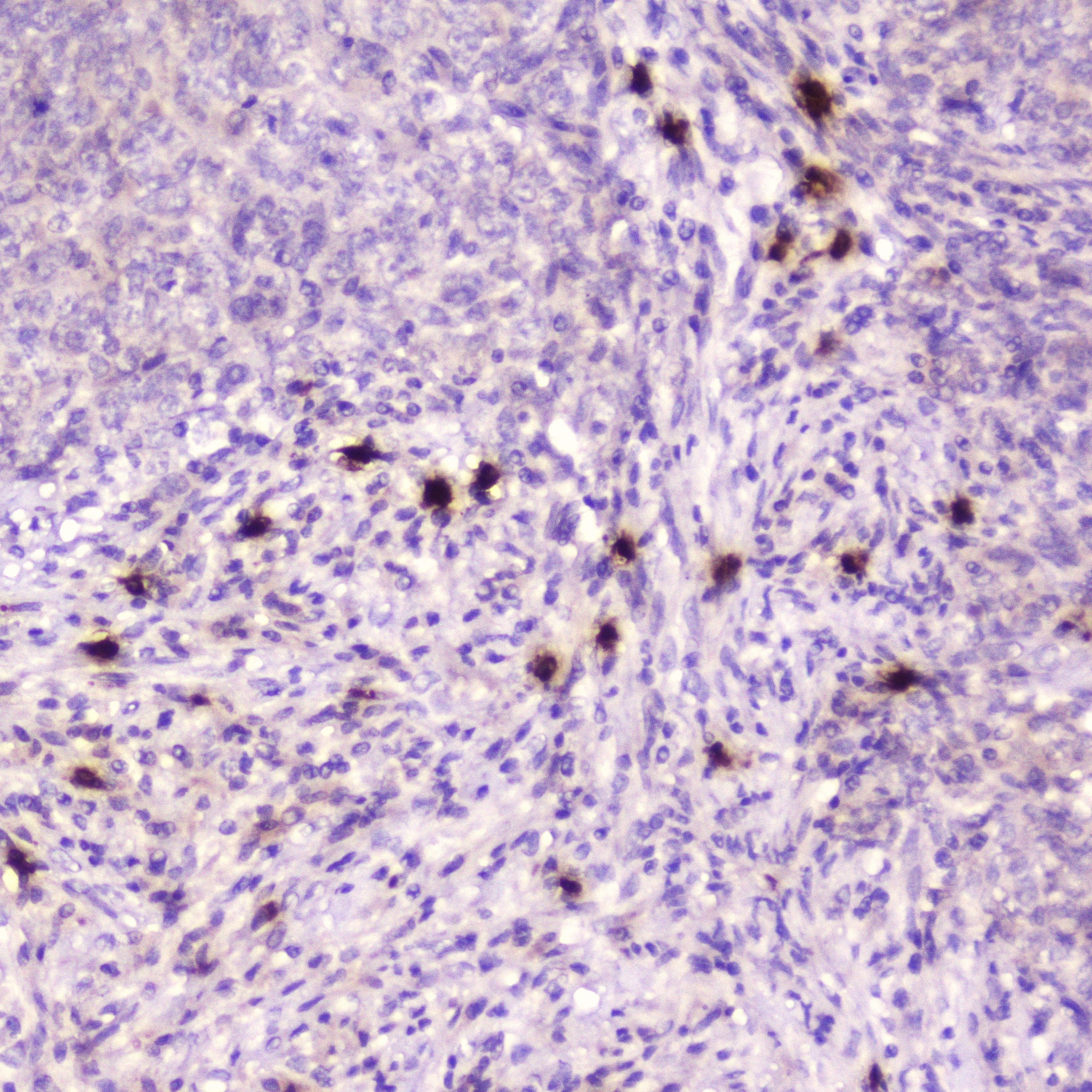
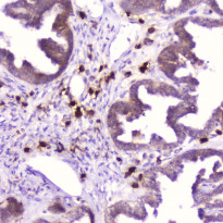
ARG59104 anti-RNASE3 / Eosinophil cationic protein antibody IHC-P image
Immunohistochemistry: Paraffin-embedded Human ovary cancer tissue. Antigen Retrieval: Heat mediated was performed in Citrate buffer (pH 6.0, epitope retrieval solution) for 20 min. The tissue section was blocked with 10% goat serum. The tissue section was then stained with ARG59104 anti-RNASE3 / Eosinophil cationic protein antibody at 2 µg/ml, overnight at 4°C.
-
ARG59104 anti-RNASE3 / Eosinophil cationic protein antibody WB image
Western blot: 50 µg of samples under reducing conditions. Jurkat, Rat liver and Mouse liver lysates stained with ARG59104 anti-RNASE3 / Eosinophil cationic protein antibody at 0.5 µg/ml, overnight at 4°C.
-
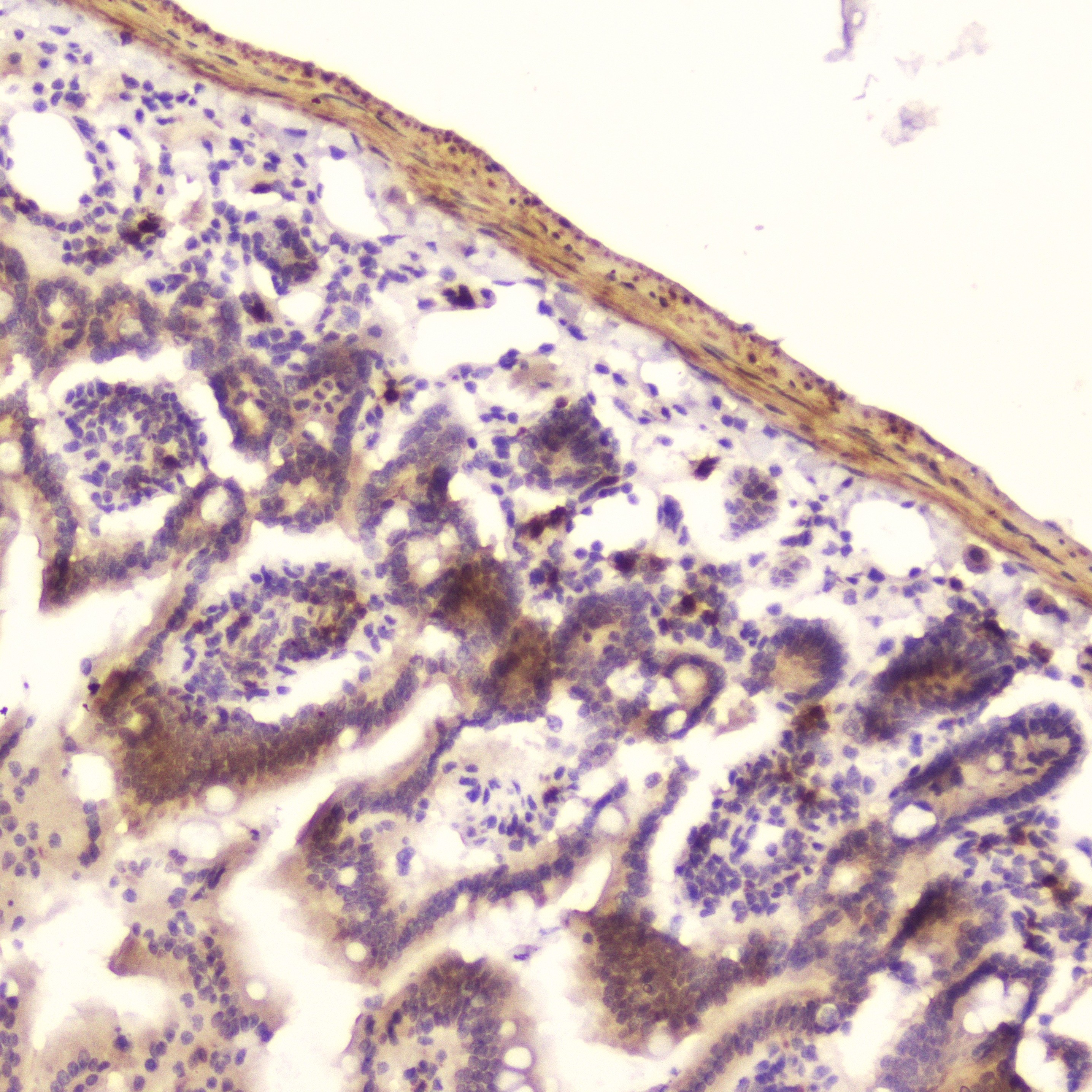
ARG59104 anti-RNASE3 / Eosinophil cationic protein antibody IHC-P image
Immunohistochemistry: Paraffin-embedded Mouse small intestine tissue. Antigen Retrieval: Heat mediated was performed in Citrate buffer (pH 6.0, epitope retrieval solution) for 20 min. The tissue section was blocked with 10% goat serum. The tissue section was then stained with ARG59104 anti-RNASE3 / Eosinophil cationic protein antibody at 2 µg/ml, overnight at 4°C.
-
ARG59104 anti-RNASE3 / Eosinophil cationic protein antibody IHC-P image
Immunohistochemistry: Paraffin-embedded Human sarcoma tissue. Antigen Retrieval: Heat mediated was performed in Citrate buffer (pH 6.0, epitope retrieval solution) for 20 min. The tissue section was blocked with 10% goat serum. The tissue section was then stained with ARG59104 anti-RNASE3 / Eosinophil cationic protein antibody at 2 µg/ml, overnight at 4°C.
