ARG40106
anti-RNF166 antibody
anti-RNF166 antibody for IHC-Formalin-fixed paraffin-embedded sections,Western blot and Human,Mouse,Rat
Overview
| Product Description | Rabbit Polyclonal antibody recognizes RNF166 |
|---|---|
| Tested Reactivity | Hu, Ms, Rat |
| Tested Application | IHC-P, WB |
| Host | Rabbit |
| Clonality | Polyclonal |
| Isotype | IgG |
| Target Name | RNF166 |
| Antigen Species | Human |
| Immunogen | Synthetic peptide within aa. 100 to the C-terminus of Human RNF166 (NP_849163.1). |
| Conjugation | Un-conjugated |
| Alternate Names | RING finger protein 166 |
Application Instructions
| Application Suggestion |
|
||||||
|---|---|---|---|---|---|---|---|
| Application Note | * The dilutions indicate recommended starting dilutions and the optimal dilutions or concentrations should be determined by the scientist. | ||||||
| Positive Control | K562 | ||||||
| Observed Size | 26 kDa |
Properties
| Form | Liquid |
|---|---|
| Purification | Affinity purified. |
| Buffer | PBS (pH 7.3), 0.02% Sodium azide and 50% Glycerol. |
| Preservative | 0.02% Sodium azide |
| Stabilizer | 50% Glycerol |
| Storage Instruction | For continuous use, store undiluted antibody at 2-8°C for up to a week. For long-term storage, aliquot and store at -20°C. Storage in frost free freezers is not recommended. Avoid repeated freeze/thaw cycles. Suggest spin the vial prior to opening. The antibody solution should be gently mixed before use. |
| Note | For laboratory research only, not for drug, diagnostic or other use. |
Bioinformation
| Database Links | |
|---|---|
| Gene Symbol | RNF166 |
| Gene Full Name | ring finger protein 166 |
| Calculated MW | 26 kDa |
Images (3) Click the Picture to Zoom In
-
ARG40106 anti-RNF166 antibody IHC-P image
Immunohistochemistry: Paraffin-embedded Rat brain stained with ARG40106 anti-RNF166 antibody.
-
ARG40106 anti-RNF166 antibody WB image
Western blot: 25 µg of K562 cell lysate stained with ARG40106 anti-RNF166 antibody at 1:1000 dilution.
-
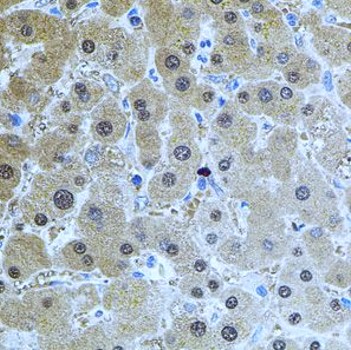
ARG40106 anti-RNF166 antibody IHC-P image
Immunohistochemistry: Paraffin-embedded Human liver injury stained with ARG40106 anti-RNF166 antibody.
