ARG67045
anti-ROR gamma T antibody [SQab30332]
anti-ROR gamma T antibody [SQab30332] for IHC-Formalin-fixed paraffin-embedded sections and Human
Overview
| Product Description | Recombinant rabbit Monoclonal antibody [SQab30332] recognizes ROR gamma T |
|---|---|
| Tested Reactivity | Hu |
| Tested Application | IHC-P |
| Host | Rabbit |
| Clonality | Monoclonal |
| Clone | SQab30332 |
| Isotype | IgG |
| Target Name | ROR gamma T |
| Antigen Species | Human |
| Immunogen | Recombinant protein of Human ROR gamma T |
| Conjugation | Un-conjugated |
| Protein Full Name | Nuclear receptor ROR-gamma |
| Alternate Names | RORC, RAR Related Orphan Receptor C, NR1F3, RZRG, RORG, TOR, Nuclear Receptor Subfamily 1 Group F Member 3, RAR-Related Orphan Receptor C, Nuclear Receptor ROR-Gamma, Nuclear Receptor RZR-Gamma, Retinoid-Related Orphan Receptor Gamma, Retinoid-Related Orphan Receptor-Gamma, Retinoic Acid-Binding Receptor Gamma, RZR-GAMMA, IMD42 |
Application Instructions
| Application Suggestion |
|
||||
|---|---|---|---|---|---|
| Application Note | The dilutions indicate recommended starting dilutions and the optimal dilutions or concentrations should be determined by the scientist. | ||||
| Positive Control | Human Thymus, Tonsil |
Properties
| Form | Liquid |
|---|---|
| Purification | Purification with Protein A. |
| Buffer | PBS, 0.01% Sodium azide, 40% Glycerol and 0.05%BSA. |
| Preservative | 0.01% Sodium azide |
| Stabilizer | 40% Glycerol and 0.05%BSA |
| Storage Instruction | For continuous use, store undiluted antibody at 2-8°C for up to a week. For long-term storage, aliquot and store at -20°C or below. Storage in frost free freezers is not recommended. Avoid repeated freeze/thaw cycles. Suggest spin the vial prior to opening. The antibody solution should be gently mixed before use. |
| Note | For laboratory research only, not for drug, diagnostic or other use. |
Bioinformation
| Database Links | |
|---|---|
| Gene Symbol | RORC |
| Gene Full Name | RAR Related Orphan Receptor C |
| Background | The protein encoded by this gene is a DNA-binding transcription factor and is a member of the NR1 subfamily of nuclear hormone receptors. The specific functions of this protein are not known; however, studies of a similar gene in mice have shown that this gene may be essential for lymphoid organogenesis and may play an important regulatory role in thymopoiesis. In addition, studies in mice suggest that the protein encoded by this gene may inhibit the expression of Fas ligand and IL2. Two transcript variants encoding different isoforms have been found for this gene. [provided by RefSeq, Jul 2008] |
| Function | Nuclear receptor that binds DNA as a monomer to ROR response elements (RORE) containing a single core motif half-site 5'-AGGTCA-3' preceded by a short A-T-rich sequence. Key regulator of cellular differentiation, immunity, peripheral circadian rhythm as well as lipid, steroid, xenobiotics and glucose metabolism. [UniProt] |
| Cellular Localization | Nucleus |
| Calculated MW | 58 kDa |
Images (3) Click the Picture to Zoom In
-
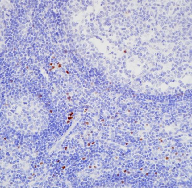
ARG67045 anti-ROR gamma T antibody [SQab30332] IHC-P image
Immunohistochemistry: Human Thymus stained with ARG67045 anti-ROR gamma T antibody [SQab30332].
-
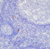
ARG67045 anti-ROR gamma T antibody [SQab30332] IHC-P image
Immunohistochemistry: Formalin-fixed and paraffin-embedded tonsil stained with ARG67045 anti-ROR gamma T antibody [SQab30332].
-
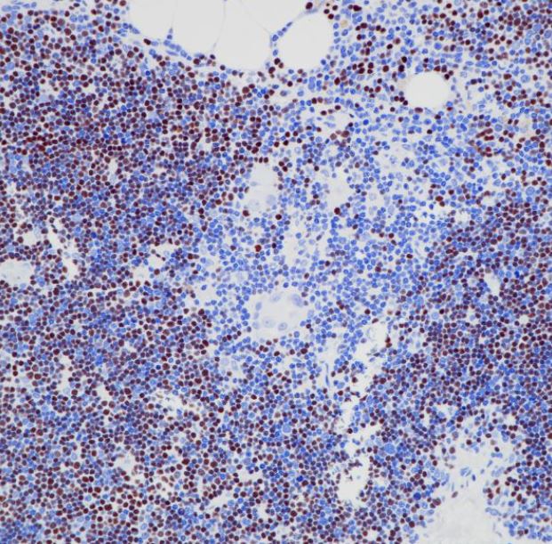
ARG67045 anti-ROR gamma T antibody [SQab30332] IHC-P Negative control image
Immunohistochemistry: Formalin-fixed and paraffin-embedded (A) Human Endometrium, (B) Human Thyroid, (C) Human Hepatocellular carcinoma, (D) Human Breast cancer, (E) Human Lung squamous cell carcinoma, (F) Human Kidney, (G) Human Prostate, (H) Human Prostate cancer, (I) Human Colon cancer, (J) Human Placenta, (K) Human Esophageal cancer, (L) Human Pancreas, (M) Human Brain, (N) Human Spleen, and (O) Human Testicles used as negative controls, stained with ARG67045 anti-ROR gamma T antibody [SQab30332], showing no specific staining.
