ARG55918
anti-RPL3 antibody
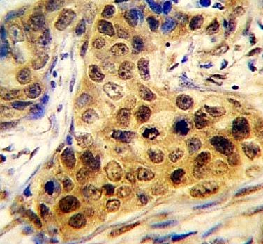
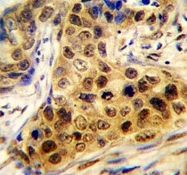
anti-RPL3 antibody for IHC-Formalin-fixed paraffin-embedded sections,Western blot and Human
Overview
| Product Description | Rabbit Polyclonal antibody recognizes RPL3 |
|---|---|
| Tested Reactivity | Hu |
| Predict Reactivity | Ms, Rat, Bov, Mk, Pig, Yeast |
| Tested Application | IHC-P, WB |
| Host | Rabbit |
| Clonality | Polyclonal |
| Isotype | IgG |
| Target Name | RPL3 |
| Antigen Species | Human |
| Immunogen | KLH-conjugated synthetic peptide corresponding to aa. 224-251 (Center) of Human RPL3. |
| Conjugation | Un-conjugated |
| Alternate Names | ASC-1; 60S ribosomal protein L3; HIV-1 TAR RNA-binding protein B; L3; TARBP-B |
Application Instructions
| Application Suggestion |
|
||||||
|---|---|---|---|---|---|---|---|
| Application Note | * The dilutions indicate recommended starting dilutions and the optimal dilutions or concentrations should be determined by the scientist. | ||||||
| Positive Control | MDA-MB-435 |
Properties
| Form | Liquid |
|---|---|
| Purification | Purification with Protein A and immunogen peptide. |
| Buffer | PBS and 0.09% (W/V) Sodium azide. |
| Preservative | 0.09% (W/V) Sodium azide. |
| Storage Instruction | For continuous use, store undiluted antibody at 2-8°C for up to a week. For long-term storage, aliquot and store at -20°C or below. Storage in frost free freezers is not recommended. Avoid repeated freeze/thaw cycles. Suggest spin the vial prior to opening. The antibody solution should be gently mixed before use. |
| Note | For laboratory research only, not for drug, diagnostic or other use. |
Bioinformation
| Database Links | |
|---|---|
| Gene Symbol | RPL3 |
| Gene Full Name | ribosomal protein L3 |
| Background | Ribosomes, the complexes that catalyze protein synthesis, consist of a small 40S subunit and a large 60S subunit. Together these subunits are composed of 4 RNA species and approximately 80 structurally distinct proteins. This gene encodes a ribosomal protein that is a component of the 60S subunit. The protein belongs to the L3P family of ribosomal proteins and it is located in the cytoplasm. The protein can bind to the HIV-1 TAR mRNA, and it has been suggested that the protein contributes to tat-mediated transactivation. This gene is co-transcribed with several small nucleolar RNA genes, which are located in several of this gene's introns. Alternate transcriptional splice variants, encoding different isoforms, have been characterized. As is typical for genes encoding ribosomal proteins, there are multiple processed pseudogenes of this gene dispersed through the genome. [provided by RefSeq, Jul 2008] |
| Function | The L3 protein is a component of the large subunit of cytoplasmic ribosomes. [UniProt] |
| Cellular Localization | Nucleus, nucleolus. Cytoplasm |
| Calculated MW | 46 kDa |
Images (2) Click the Picture to Zoom In
