ARG41136
anti-RPL34 antibody
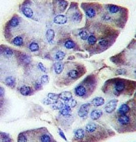
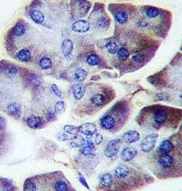
anti-RPL34 antibody for IHC-Formalin-fixed paraffin-embedded sections,Western blot and Human
Overview
| Product Description | Rabbit Polyclonal antibody recognizes RPL34 |
|---|---|
| Tested Reactivity | Hu |
| Predict Reactivity | Pig |
| Tested Application | IHC-P, WB |
| Host | Rabbit |
| Clonality | Polyclonal |
| Isotype | IgG |
| Target Name | RPL34 |
| Antigen Species | Human |
| Immunogen | KLH-conjugated synthetic peptide between aa. 37-66 of Human RPL34. |
| Conjugation | Un-conjugated |
| Alternate Names | L34; 60S ribosomal protein L34 |
Application Instructions
| Application Suggestion |
|
||||||
|---|---|---|---|---|---|---|---|
| Application Note | * The dilutions indicate recommended starting dilutions and the optimal dilutions or concentrations should be determined by the scientist. |
Properties
| Form | Liquid |
|---|---|
| Purification | Purification with Protein A and immunogen peptide. |
| Buffer | PBS and 0.09% (W/V) Sodium azide. |
| Preservative | 0.09% (W/V) Sodium azide |
| Storage Instruction | For continuous use, store undiluted antibody at 2-8°C for up to a week. For long-term storage, aliquot and store at -20°C or below. Storage in frost free freezers is not recommended. Avoid repeated freeze/thaw cycles. Suggest spin the vial prior to opening. The antibody solution should be gently mixed before use. |
| Note | For laboratory research only, not for drug, diagnostic or other use. |
Bioinformation
| Database Links | |
|---|---|
| Gene Symbol | RPL34 |
| Gene Full Name | ribosomal protein L34 |
| Background | Ribosomes, the organelles that catalyze protein synthesis, consist of a small 40S subunit and a large 60S subunit. Together these subunits are composed of 4 RNA species and approximately 80 structurally distinct proteins. This gene encodes a ribosomal protein that is a component of the 60S subunit. The protein belongs to the L34E family of ribosomal proteins. It is located in the cytoplasm. This gene originally was thought to be located at 17q21, but it has been mapped to 4q. Transcript variants derived from alternative splicing, alternative transcription initiation sites, and/or alternative polyadenylation exist; these variants encode the same protein. As is typical for genes encoding ribosomal proteins, there are multiple processed pseudogenes of this gene dispersed through the genome. [provided by RefSeq, Jul 2008] |
| Cellular Localization | Cytoplasm, cytosol. Cytoplasm. Endoplasmic reticulum. Note=Detected on cytosolic polysomes (PubMed:25957688). Detected in ribosomes that are associated with the rough endoplasmic reticulum (By similarity). [UniProt] |
| Calculated MW | 13 kDa |
Images (2) Click the Picture to Zoom In
