ARG55857
anti-RPLP0P6 antibody
anti-RPLP0P6 antibody for ICC/IF,IHC-Formalin-fixed paraffin-embedded sections,Western blot and Human
Overview
| Product Description | Rabbit Polyclonal antibody recognizes RPLP0P6 |
|---|---|
| Tested Reactivity | Hu |
| Predict Reactivity | Ms, Rat, Bov, Chk, Pig, Zfsh |
| Tested Application | ICC/IF, IHC-P, WB |
| Host | Rabbit |
| Clonality | Polyclonal |
| Isotype | IgG |
| Target Name | RPLP0P6 |
| Antigen Species | Human |
| Immunogen | KLH-conjugated synthetic peptide corresponding to aa. 1-30 (N-terminus) of Human RPLP0P6. |
| Conjugation | Un-conjugated |
| Alternate Names | 60S acidic ribosomal protein P0-like |
Application Instructions
| Application Suggestion |
|
||||||||
|---|---|---|---|---|---|---|---|---|---|
| Application Note | * The dilutions indicate recommended starting dilutions and the optimal dilutions or concentrations should be determined by the scientist. | ||||||||
| Positive Control | U251 |
Properties
| Form | Liquid |
|---|---|
| Purification | Purification with Protein A and immunogen peptide. |
| Buffer | PBS and 0.09% (W/V) Sodium azide |
| Preservative | 0.09% (W/V) Sodium azide |
| Storage Instruction | For continuous use, store undiluted antibody at 2-8°C for up to a week. For long-term storage, aliquot and store at -20°C or below. Storage in frost free freezers is not recommended. Avoid repeated freeze/thaw cycles. Suggest spin the vial prior to opening. The antibody solution should be gently mixed before use. |
| Note | For laboratory research only, not for drug, diagnostic or other use. |
Bioinformation
| Gene Symbol | RPLP0P6 |
|---|---|
| Calculated MW | 34 kDa |
Images (3) Click the Picture to Zoom In
-
ARG55857 anti-RPLP0P6 antibody ICC/IF image
Immunofluorescence: HeLa cells stained with ARG55857 anti-RPLP0P6 antibody (green) at 1:25 dilution. Cytoplasmic actin was counterstained with Alexa Fluor® 555 conjugated with Phalloidin (red).
-
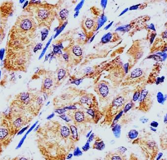
ARG55857 anti-RPLP0P6 antibody IHC-P image
Immunohistochemistry: Paraffin-embedded Human stomach tissue stained with ARG55857 anti-RPLP0P6 antibody at 1:25 dilution.
-
ARG55857 anti-RPLP0P6 antibody WB image
Western blot: 35 µg of U251 cell lysate stained with ARG55857 anti-RPLP0P6 antibody.
