ARG66689
anti-RRAD antibody
anti-RRAD antibody for ICC/IF,IHC-Formalin-fixed paraffin-embedded sections,Western blot and Human
Overview
| Product Description | Rabbit Polyclonal antibody recognizes RRAD |
|---|---|
| Tested Reactivity | Hu |
| Tested Application | ICC/IF, IHC-P, WB |
| Host | Rabbit |
| Clonality | Polyclonal |
| Isotype | IgG |
| Target Name | RRAD |
| Antigen Species | Human |
| Immunogen | Synthetic peptide within aa. 10-90 of Human RRAD. |
| Conjugation | Un-conjugated |
| Alternate Names | RAD; REM3; GTP-binding protein RAD; RAD1; Ras associated with diabetes |
Application Instructions
| Application Suggestion |
|
||||||||
|---|---|---|---|---|---|---|---|---|---|
| Application Note | * The dilutions indicate recommended starting dilutions and the optimal dilutions or concentrations should be determined by the scientist. | ||||||||
| Positive Control | HeLa | ||||||||
| Observed Size | ~ 33 kDa |
Properties
| Form | Liquid |
|---|---|
| Purification | Affinity purification with immunogen. |
| Buffer | PBS, 0.02% Sodium azide, 50% Glycerol and 0.5% BSA. |
| Preservative | 0.02% Sodium azide |
| Stabilizer | 50% Glycerol and 0.5% BSA |
| Concentration | 1 mg/ml |
| Storage Instruction | For continuous use, store undiluted antibody at 2-8°C for up to a week. For long-term storage, aliquot and store at -20°C. Storage in frost free freezers is not recommended. Avoid repeated freeze/thaw cycles. Suggest spin the vial prior to opening. The antibody solution should be gently mixed before use. |
| Note | For laboratory research only, not for drug, diagnostic or other use. |
Bioinformation
| Database Links | |
|---|---|
| Gene Symbol | RRAD |
| Gene Full Name | Ras-related associated with diabetes |
| Function | May play an important role in cardiac antiarrhythmia via the strong suppression of voltage-gated L-type Ca(2+) currents. Regulates voltage-dependent L-type calcium channel subunit alpha-1C trafficking to the cell membrane (By similarity). Inhibits cardiac hypertrophy through the calmodulin-dependent kinase II (CaMKII) pathway. Inhibits phosphorylation and activation of CAMK2D. [UniProt] |
| Cellular Localization | Cell membrane. [UniProt] |
| Calculated MW | 33 kDa |
Images (4) Click the Picture to Zoom In
-
ARG66689 anti-RRAD antibody ICC/IF image
Immunofluorescence: A549 cells stained with ARG66689 anti-RRAD antibody (green). The picture on the right is blocked with the synthetic peptide.
-
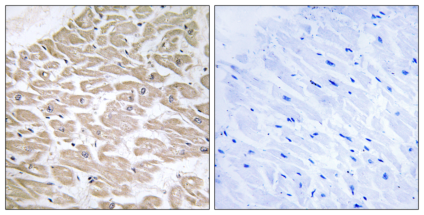
ARG66689 anti-RRAD antibody IHC-P image
Immunohistochemistry: Paraffin-embedded Human heart tissue stained with ARG66689 anti-RRAD antibody. The picture on the right is blocked with the synthetic peptide.
-
ARG66689 anti-RRAD antibody WB image
Western blot: HeLa cell lysate stained with ARG66689 anti-RRAD antibody.
-
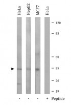
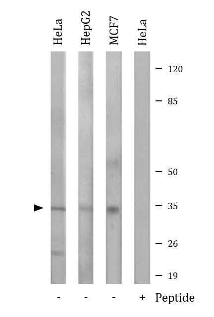
ARG66689 anti-RRAD antibody WB image
Western blot: HeLa, HepG2 and MCF7 cell lysates stained with ARG66689 anti-RRAD antibody. The lane on the right is blocked with the synthetic peptide.
