ARG45219
anti-RRS1 antibody
anti-RRS1 antibody for Flow cytometry,ICC/IF,IHC-Formalin-fixed paraffin-embedded sections,Western blot and Human,Mouse,Rat
Overview
| Product Description | Rabbit Polyclonal antibody recognizes RRS1 |
|---|---|
| Tested Reactivity | Hu, Ms, Rat |
| Tested Application | FACS, ICC/IF, IHC-P, WB |
| Host | Rabbit |
| Clonality | Polyclonal |
| Isotype | IgG |
| Target Name | RRS1 |
| Antigen Species | Human |
| Immunogen | Recombinant protein containing to human RRS1. |
| Conjugation | Un-conjugated |
| Alternate Names | RRS1; Ribosome Biogenesis Regulator 1 Homolog; KIAA0112; Ribosome Biogenesis Regulatory Protein Homolog; Ribosome Biogenesis Regulator Homolog; Homolog Of Yeast Ribosome Biogenesis Regulatory Protein RRS1; RRS1 Ribosome Biogenesis Regulator Homolog (S. Cerevisiae); Ribosome Biogenesis Regulatory Protein RRS1 Homolog; Homolog Of Yeast Ribosome Biogenesis Regulator; RRS1 Ribosome Biogenesis Regulator Homolog; RRR |
Application Instructions
| Application Suggestion |
|
||||||||||
|---|---|---|---|---|---|---|---|---|---|---|---|
| Application Note | * The dilutions indicate recommended starting dilutions and the optimal dilutions or concentrations should be determined by the scientist. | ||||||||||
| Observed Size | 39 kDa |
Properties
| Form | Liquid |
|---|---|
| Purification | Affinity purification with immunogen. |
| Buffer | 0.2% Na2HPO4, 0.9% NaCl and 4% Trehalose. |
| Stabilizer | 4% Trehalose |
| Concentration | 0.5 mg/ml |
| Storage Instruction | For continuous use, store undiluted antibody at 2-8°C for up to a week. For long-term storage, aliquot and store at -20°C or below. Storage in frost free freezers is not recommended. Avoid repeated freeze/thaw cycles. Suggest spin the vial prior to opening. The antibody solution should be gently mixed before use. |
| Note | For laboratory research only, not for drug, diagnostic or other use. |
Bioinformation
| Database Links | |
|---|---|
| Gene Symbol | RRS1 |
| Gene Full Name | Ribosome Biogenesis Regulator 1 Homolog |
| Background | Enables 5S rRNA binding activity. Involved in several processes, including mitotic metaphase chromosome alignment; protein localization to nucleolus; and ribosomal large subunit assembly. Located in condensed nuclear chromosome; nucleolus; and nucleoplasm. [provided by Alliance of Genome Resources, Nov 2024] |
| Function | Involved in ribosomal large subunit assembly. May regulate the localization of the 5S RNP/5S ribonucleoprotein particle to the nucleolus.. [UniProt] |
| Cellular Localization | Nucleus. [UniProt] |
| Calculated MW | 41 kDa |
| PTM | Acetylation; Citrullination; Isopeptide bond; Phosphoprotein; Ubl conjugation. [UniProt] |
Images (8) Click the Picture to Zoom In
-
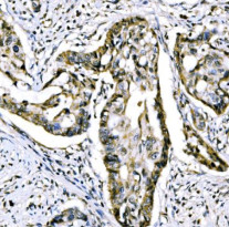
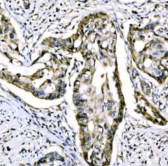
ARG45219 anti-RRS1 antibody IHC-P image
Immunohistochemistry: Human adenocarcinoma of the right colon stained with ARG45219 anti-RRS1 antibody at 2 μg/ml dilution.
-
ARG45219 anti-RRS1 antibody ICC/IF image
Immunofluorescence: A431 stained with ARG45219 anti-RRS1 antibody at 5 ug/ml dilution.
-
ARG45219 anti-RRS1 antibody WB image
Western blot: HL-60, Caco-2, and SW620 stained with ARG45219 anti-RRS1 antibody at 0.5 μg/ml dilution.
-
ARG45219 anti-RRS1 antibody FACS image
Flow Cytometry: Caco-2 stained with ARG45219 anti-RRS1 antibody at 1 µg/10^6 cells dilution.
-
ARG45219 anti-RRS1 antibody IHC-P image
Immunohistochemistry: Rat testis stained with ARG45219 anti-RRS1 antibody at 2 μg/ml dilution.
-
ARG45219 anti-RRS1 antibody WB image
Western blot: PC-12 and RH35 stained with ARG45219 anti-RRS1 antibody at 0.5 μg/ml dilution.
-
ARG45219 anti-RRS1 antibody IHC-P image
Immunohistochemistry: Mouse testis stained with ARG45219 anti-RRS1 antibody at 2 μg/ml dilution.
-
ARG45219 anti-RRS1 antibody WB image
Western blot: NIH/3T3 and RAW264.7 stained with ARG45219 anti-RRS1 antibody at 0.5 μg/ml dilution.
