ARG45312
anti-RUFY4 antibody
anti-RUFY4 antibody for Flow cytometry,IHC-Formalin-fixed paraffin-embedded sections,Western blot and Human,Monkey
Overview
| Product Description | Polyclonal antibody recognizes RUFY4 |
|---|---|
| Tested Reactivity | Hu, Mk |
| Tested Application | FACS, IHC-P, WB |
| Host | Rabbit |
| Clonality | Polyclonal |
| Isotype | IgG |
| Target Name | RUFY4 |
| Antigen Species | Human |
| Immunogen | Recombinant protein containing to human RUFY4. |
| Conjugation | Un-conjugated |
| Alternate Names | RUFY4; RUN And FYVE Domain Containing 4; ZFYVE31; RUN And FYVE Domain-Containing Protein 4; FLJ46536 |
Application Instructions
| Application Suggestion |
|
||||||||
|---|---|---|---|---|---|---|---|---|---|
| Application Note | * The dilutions indicate recommended starting dilutions and the optimal dilutions or concentrations should be determined by the scientist. | ||||||||
| Observed Size | 64 kDa |
Properties
| Form | Liquid |
|---|---|
| Purification | Affinity purification with immunogen. |
| Buffer | 0.2% Na2HPO4, 0.9% NaCl and 4% Trehalose. |
| Stabilizer | 4% Trehalose |
| Concentration | 0.5 mg/ml |
| Storage Instruction | For continuous use, store undiluted antibody at 2-8°C for up to a week. For long-term storage, aliquot and store at -20°C or below. Storage in frost free freezers is not recommended. Avoid repeated freeze/thaw cycles. Suggest spin the vial prior to opening. The antibody solution should be gently mixed before use. |
| Note | For laboratory research only, not for drug, diagnostic or other use. |
Bioinformation
| Database Links |
Swiss-port # Q6ZNE9 Human RUN and FYVE domain-containing protein 4 |
|---|---|
| Gene Symbol | RUFY4 |
| Gene Full Name | RUN And FYVE Domain Containing 4 |
| Background | Enables phosphatidylinositol-3-phosphate binding activity. Involved in autophagosome assembly; cellular response to interleukin-4; and positive regulation of macroautophagy. Located in autophagosome. [provided by Alliance of Genome Resources, Nov 2024] |
| Function | Positively regulates macroautophagy in primary dendritic cells. Increases autophagic flux, probably by stimulating both autophagosome formation and facilitating tethering with lysosomes. Binds to phosphatidylinositol 3-phosphate (PtdIns3P) through its FYVE-type zinc finger. [UniProt] |
| Cellular Localization | Cytoplasmic vesicle. [UniProt] |
| Calculated MW | 64 kDa |
Images (4) Click the Picture to Zoom In
-
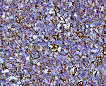
ARG45312 anti-RUFY4 antibody IHC-P image
Immunohistochemistry: Human tonsil stained with ARG45312 anti-RUFY4 antibody at 2 μg/ml dilution.
-
ARG45312 anti-RUFY4 antibody WB image
Western blot: Human placenta stained with ARG45312 anti-RUFY4 antibody at 0.5 μg/ml dilution.
-
ARG45312 anti-RUFY4 antibody FACS image
Flow Cytometry: HEL stained with ARG45312 anti-RUFY4 antibody at 1 µg/10^6 cells dilution.
-
ARG45312 anti-RUFY4 antibody WB image
Western blot: COS-7 stained with ARG45312 anti-RUFY4 antibody at 0.5 μg/ml dilution.
