ARG40556
anti-RUNX1 / AML1 antibody
anti-RUNX1 / AML1 antibody for Flow cytometry,ICC/IF,IHC-Formalin-fixed paraffin-embedded sections,Western blot and Human
Overview
| Product Description | Rabbit Polyclonal antibody recognizes RUNX1 / AML1 |
|---|---|
| Tested Reactivity | Hu |
| Tested Application | FACS, ICC/IF, IHC-P, WB |
| Host | Rabbit |
| Clonality | Polyclonal |
| Isotype | IgG |
| Target Name | RUNX1 / AML1 |
| Antigen Species | Human |
| Immunogen | KLH-conjugated synthetic peptide between aa. 227-255 of Human RUNX1. |
| Conjugation | Un-conjugated |
| Alternate Names | Acute myeloid leukemia 1 protein; Oncogene AML-1; PEBP2-alpha B; Polyomavirus enhancer-binding protein 2 alpha B subunit; Runt-related transcription factor 1; AML1; CBFA2; AML1-EVI-1; CBF2alpha; PEBP2alpha; AMLCR1; EVI-1; SL3-3 enhancer factor 1 alpha B subunit; Core-binding factor subunit alpha-2; PEBP2aB; CBF-alpha-2; SL3/AKV core-binding factor alpha B subunit; PEA2-alpha B |
Application Instructions
| Application Suggestion |
|
||||||||||
|---|---|---|---|---|---|---|---|---|---|---|---|
| Application Note | * The dilutions indicate recommended starting dilutions and the optimal dilutions or concentrations should be determined by the scientist. | ||||||||||
| Positive Control | SW620 | ||||||||||
| Observed Size | ~ 55 kDa |
Properties
| Form | Liquid |
|---|---|
| Purification | Purification with Protein A and immunogen peptide. |
| Buffer | PBS and 0.09% (W/V) Sodium azide. |
| Preservative | 0.09% (W/V) Sodium azide |
| Storage Instruction | For continuous use, store undiluted antibody at 2-8°C for up to a week. For long-term storage, aliquot and store at -20°C or below. Storage in frost free freezers is not recommended. Avoid repeated freeze/thaw cycles. Suggest spin the vial prior to opening. The antibody solution should be gently mixed before use. |
| Note | For laboratory research only, not for drug, diagnostic or other use. |
Bioinformation
| Database Links |
Swiss-port # Q01196 Human Runt-related transcription factor 1 |
|---|---|
| Gene Symbol | RUNX1 |
| Gene Full Name | runt-related transcription factor 1 |
| Background | Core binding factor (CBF) is a heterodimeric transcription factor that binds to the core element of many enhancers and promoters. The protein encoded by this gene represents the alpha subunit of CBF and is thought to be involved in the development of normal hematopoiesis. Chromosomal translocations involving this gene are well-documented and have been associated with several types of leukemia. Three transcript variants encoding different isoforms have been found for this gene. [provided by RefSeq, Jul 2008] |
| Function | CBF binds to the core site, 5'-PYGPYGGT-3', of a number of enhancers and promoters, including murine leukemia virus, polyomavirus enhancer, T-cell receptor enhancers, LCK, IL-3 and GM-CSF promoters. The alpha subunit binds DNA and appears to have a role in the development of normal hematopoiesis. Isoform AML-1L interferes with the transactivation activity of RUNX1. Acts synergistically with ELF4 to transactivate the IL-3 promoter and with ELF2 to transactivate the mouse BLK promoter. Inhibits KAT6B-dependent transcriptional activation. Controls the anergy and suppressive function of regulatory T-cells (Treg) by associating with FOXP3. Activates the expression of IL2 and IFNG and down-regulates the expression of TNFRSF18, IL2RA and CTLA4, in conventional T-cells. [UniProt] |
| Cellular Localization | Nucleus. [UniProt] |
| Calculated MW | 49 kDa |
| PTM | Phosphorylated in its C-terminus upon IL-6 treatment. Phosphorylation enhances interaction with KAT6A. Methylated. Phosphorylated in Ser-249 Thr-273 and Ser-276 by HIPK2 when associated with CBFB and DNA. This phosphorylation promotes subsequent EP300 phosphorylation. [UniProt] |
Images (4) Click the Picture to Zoom In
-
ARG40556 anti-RUNX1 / AML1 antibody ICC/IF image
Immunofluorescence: HeLa cells stained with ARG40556 anti-RUNX1 / AML1 antibody (green). Actin filaments have been labeled with Alexa Fluor 555 phalloidin (red).
-
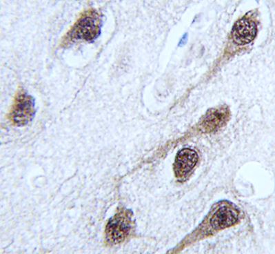
ARG40556 anti-RUNX1 / AML1 antibody IHC-P image
Immunohistochemistry: Formalin-fixed and paraffin-embedded Human brain tissue stained with ARG40556 anti-RUNX1 / AML1 antibody.
-
ARG40556 anti-RUNX1 / AML1 antibody WB image
Western blot: 20 µg of SW620 whole cell lysate stained with ARG40556 anti-RUNX1 / AML1 antibody at 1:2000 dilution.
-
ARG40556 anti-RUNX1 / AML1 antibody FACS image
Flow Cytometry: HeLa cells stained with ARG40556 anti-RUNX1 / AML1 antibody (right histogram) or without primary antibody as control (left histogram), followed by incubation with FITC labelled secondary antibody.
