ARG44731
anti-Rad51 antibody
anti-Rad51 antibody for IHC-Formalin-fixed paraffin-embedded sections,Immunoprecipitation,Western blot and Human
Overview
| Product Description | Mouse Monoclonal antibody recognizes Rad51 |
|---|---|
| Tested Reactivity | Hu |
| Tested Application | IHC-P, IP, WB |
| Host | Mouse |
| Clonality | Monoclonal |
| Isotype | IgG1 |
| Target Name | Rad51 |
| Antigen Species | Human |
| Conjugation | Un-conjugated |
| Alternate Names | DNA repair protein RAD51 homolog 1; HsT16930; FANCR; BRCC5; RECA; HRAD51; hRAD51; HsRAD51; MRMV2; RAD51 homolog A; RAD51A; HsRad51 |
Application Instructions
| Application Suggestion |
|
||||||||
|---|---|---|---|---|---|---|---|---|---|
| Application Note | * The dilutions indicate recommended starting dilutions and the optimal dilutions or concentrations should be determined by the scientist. |
Properties
| Form | Liquid |
|---|---|
| Purification | Protein A purification |
| Buffer | PBS with 0.09% sodium azide |
| Storage Instruction | For continuous use, store undiluted antibody at 2-8°C for up to a week. For long-term storage, aliquot and store at -20°C or below. Storage in frost free freezers is not recommended. Avoid repeated freeze/thaw cycles. Suggest spin the vial prior to opening. The antibody solution should be gently mixed before use. |
| Note | For laboratory research only, not for drug, diagnostic or other use. |
Bioinformation
| Database Links |
Swiss-port # Q06609 Human DNA repair protein RAD51 homolog 1 |
|---|---|
| Gene Symbol | RAD51 |
| Gene Full Name | RAD51 recombinase |
| Background | The protein encoded by this gene is a member of the RAD51 protein family. RAD51 family members are highly similar to bacterial RecA and Saccharomyces cerevisiae Rad51, and are known to be involved in the homologous recombination and repair of DNA. This protein can interact with the ssDNA-binding protein RPA and RAD52, and it is thought to play roles in homologous pairing and strand transfer of DNA. This protein is also found to interact with BRCA1 and BRCA2, which may be important for the cellular response to DNA damage. BRCA2 is shown to regulate both the intracellular localization and DNA-binding ability of this protein. Loss of these controls following BRCA2 inactivation may be a key event leading to genomic instability and tumorigenesis. Multiple transcript variants encoding different isoforms have been found for this gene. [provided by RefSeq, Aug 2009] |
| Function | Participates in a common DNA damage response pathway associated with the activation of homologous recombination and double-strand break repair. Binds to single and double-stranded DNA and exhibits DNA-dependent ATPase activity. Underwinds duplex DNA and forms helical nucleoprotein filaments. Part of a PALB2-scaffolded HR complex containing BRCA2 and RAD51C and which is thought to play a role in DNA repair by HR. Plays a role in regulating mitochondrial DNA copy number under conditions of oxidative stress in the presence of RAD51C and XRCC3. [UniProt] |
| Calculated MW | 37 kDa |
| PTM | Ubiquitinated by the SCF(FBXO18) E3 ubiquitin ligase complex, regulating RAD51 subcellular location and preventing its association with DNA. Phosphorylated. Phosphorylation of Thr-309 by CHEK1 may enhance association with chromatin at sites of DNA damage and promote DNA repair by homologous recombination. Phosphorylation by ABL1 inhibits function. [UniProt] |
Images (3) Click the Picture to Zoom In
-
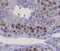
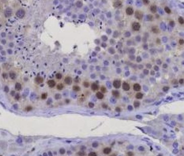
ARG44731 anti-Rad51 antibody IHC-P image
Immunohistochemistry: Human testis stained with ARG44731 anti-Rad51 antibody at 5 µg/mL dilution.
-
ARG44731 anti-Rad51 antibody WB image
Western blot: Jurkat stained with ARG44731 anti-Rad51 antibody at 1 µg/mL dilution.
-
ARG44731 anti-Rad51 antibody IP image
Immunoprecipitation: Jurkat lysate immunoprecipitated with 2.5 µg of ARG44731 anti-Rad51 antibody.
