ARG42948
anti-Relaxin 1 antibody
anti-Relaxin 1 antibody for IHC-Formalin-fixed paraffin-embedded sections and Human
Overview
| Product Description | Rabbit Polyclonal antibody recognizes Relaxin 1 |
|---|---|
| Tested Reactivity | Hu |
| Tested Application | IHC-P |
| Host | Rabbit |
| Clonality | Polyclonal |
| Isotype | IgG |
| Target Name | Relaxin 1 |
| Antigen Species | Human |
| Immunogen | Synthetic peptide corresponding to a sequence of Human Relaxin 1. (VAAKWKDDVIKLCGRELVRAQIAICGMSTWS) |
| Conjugation | Un-conjugated |
| Alternate Names | bA12D24.3.1; bA12D24.3.2; Prorelaxin H1; RLXH1; H1; H1RLX |
Application Instructions
| Application Suggestion |
|
||||
|---|---|---|---|---|---|
| Application Note | IHC-P: Antigen Retrieval: Heat mediation was performed in Citrate buffer (pH 6.0) for 20 min. * The dilutions indicate recommended starting dilutions and the optimal dilutions or concentrations should be determined by the scientist. |
Properties
| Form | Liquid |
|---|---|
| Purification | Affinity purification with immunogen. |
| Buffer | 0.2% Na2HPO4, 0.9% NaCl, 0.05% Sodium azide and 4% Trehalose. |
| Preservative | 0.05% Sodium azide |
| Stabilizer | 4% Trehalose |
| Concentration | 0.5 mg/ml |
| Storage Instruction | For continuous use, store undiluted antibody at 2-8°C for up to a week. For long-term storage, aliquot and store at -20°C or below. Storage in frost free freezers is not recommended. Avoid repeated freeze/thaw cycles. Suggest spin the vial prior to opening. The antibody solution should be gently mixed before use. |
| Note | For laboratory research only, not for drug, diagnostic or other use. |
Bioinformation
| Database Links | |
|---|---|
| Gene Symbol | RLN1 |
| Gene Full Name | relaxin 1 |
| Background | Relaxins are known endocrine and autocrine/paracrine hormones, belonging to the insulin gene superfamily. In humans there are three non-allelic relaxin genes, RLN1, RLN2 and RLN3, where RLN1 and RLN2 share high sequence homology. The protein encoded by this gene is synthesized as a single-chain polypeptide but the active form consists of an A chain and a B chain linked by disulfide bonds. Relaxin is produced by the ovary, and targets the mammalian reproductive system to ripen the cervix, elongate the pubic symphysis and inhibit uterine contraction. It may have additional roles in enhancing sperm motility, regulating blood pressure, controlling heart rate and releasing oxytocin and vasopressin. [provided by RefSeq, Jan 2013] |
| Function | Relaxin is an ovarian hormone that acts with estrogen to produce dilatation of the birth canal in many mammals. May be involved in remodeling of connective tissues during pregnancy, promoting growth of pubic ligaments and ripening of the cervix. [UniProt] |
| Cellular Localization | Secreted. [UniProt] |
| Calculated MW | 21 kDa |
Images (3) Click the Picture to Zoom In
-
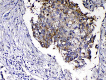
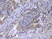
ARG42948 anti-Relaxin 1 antibody IHC-P image
Immunohistochemistry: Paraffin-embedded Human lung cancer tissue. Antigen Retrieval: Heat mediation was performed in Citrate buffer (pH 6.0) for 20 min. The tissue section was blocked with 10% goat serum. The tissue section was then stained with ARG42948 anti-Relaxin 1 antibody at 1 µg/ml dilution, overnight at 4°C.
-
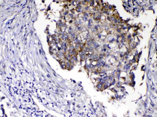
ARG42948 anti-Relaxin 1 antibody IHC-P image
Immunohistochemistry: Paraffin-embedded Human prostatic cancer tissue. Antigen Retrieval: Heat mediation was performed in Citrate buffer (pH 6.0) for 20 min. The tissue section was blocked with 10% goat serum. The tissue section was then stained with ARG42948 anti-Relaxin 1 antibody at 1 µg/ml dilution, overnight at 4°C.
-
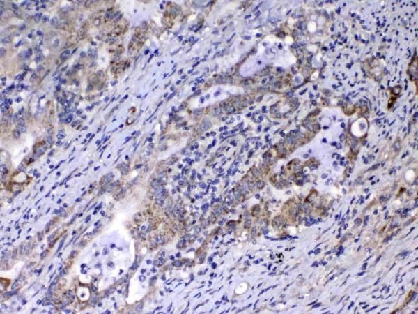
ARG42948 anti-Relaxin 1 antibody IHC-P image
Immunohistochemistry: Paraffin-embedded Human colon cancer tissue. Antigen Retrieval: Heat mediation was performed in Citrate buffer (pH 6.0) for 20 min. The tissue section was blocked with 10% goat serum. The tissue section was then stained with ARG42948 anti-Relaxin 1 antibody at 1 µg/ml dilution, overnight at 4°C.
