ARG42694
anti-RhoB antibody
anti-RhoB antibody for IHC-Formalin-fixed paraffin-embedded sections,Western blot and Human,Monkey
Overview
| Product Description | Rabbit Polyclonal antibody recognizes RhoB |
|---|---|
| Tested Reactivity | Hu, Mk |
| Tested Application | IHC-P, WB |
| Host | Rabbit |
| Clonality | Polyclonal |
| Isotype | IgG |
| Target Name | RhoB |
| Antigen Species | Human |
| Immunogen | Synthetic peptide corresponding to a sequence of Human RhoB. (NKKDLRSDEHVRTELARMKQEPVRTDDGRAMAVRIQAYDYLE) |
| Conjugation | Un-conjugated |
| Alternate Names | Rho cDNA clone 6; ARH6; MSTP081; ARHB; h6; Rho-related GTP-binding protein RhoB; MST081; RHOH6 |
Application Instructions
| Application Suggestion |
|
||||||
|---|---|---|---|---|---|---|---|
| Application Note | * The dilutions indicate recommended starting dilutions and the optimal dilutions or concentrations should be determined by the scientist. | ||||||
| Observed Size | ~ 25 kDa |
Properties
| Form | Liquid |
|---|---|
| Purification | Affinity purification with immunogen. |
| Buffer | 0.2% Na2HPO4, 0.9% NaCl, 0.05% Sodium azide and 4% Trehalose. |
| Preservative | 0.05% Sodium azide |
| Stabilizer | 4% Trehalose |
| Concentration | 0.5 mg/ml |
| Storage Instruction | For continuous use, store undiluted antibody at 2-8°C for up to a week. For long-term storage, aliquot and store at -20°C or below. Storage in frost free freezers is not recommended. Avoid repeated freeze/thaw cycles. Suggest spin the vial prior to opening. The antibody solution should be gently mixed before use. |
| Note | For laboratory research only, not for drug, diagnostic or other use. |
Bioinformation
| Database Links |
Swiss-port # P62745 Human Rho-related GTP-binding protein RhoB |
|---|---|
| Gene Symbol | RHOB |
| Gene Full Name | ras homolog family member B |
| Function | Mediates apoptosis in neoplastically transformed cells after DNA damage. Not essential for development but affects cell adhesion and growth factor signaling in transformed cells. Plays a negative role in tumorigenesis as deletion causes tumor formation. Involved in intracellular protein trafficking of a number of proteins. Targets PKN1 to endosomes and is involved in trafficking of the EGF receptor from late endosomes to lysosomes. Also required for stability and nuclear trafficking of AKT1/AKT which promotes endothelial cell survival during vascular development. Serves as a microtubule-dependent signal that is required for the myosin contractile ring formation during cell cycle cytokinesis. Required for genotoxic stress-induced cell death in breast cancer cells. [UniProt] |
| Cellular Localization | Late endosome membrane; Lipid-anchor. Cell membrane; Lipid-anchor. Nucleus. Cleavage furrow. Note=Late endosomal membrane (geranylgeranylated form). Plasma membrane (farnesylated form). Also detected at the nuclear margin and in the nucleus. Translocates to the equatorial region before furrow formation in a ECT2-dependent manner. [UniProt] |
| Calculated MW | 22 kDa |
| PTM | Prenylation specifies the subcellular location of RHOB. The farnesylated form is localized to the plasma membrane while the geranylgeranylated form is localized to the endosome. (Microbial infection) Glycosylated at Tyr-34 by Photorhabdus asymbiotica toxin PAU_02230. Mono-O-GlcNAcylation by PAU_02230 inhibits downstream signaling by an impaired interaction with diverse regulator and effector proteins of Rho and leads to actin disassembly. [UniProt] |
Images (3) Click the Picture to Zoom In
-
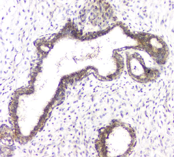
ARG42694 anti-RhoB antibody IHC-P image
Immunohistochemistry: Paraffin-embedded Human renal cancer tissue. Antigen Retrieval: Heat mediation was performed in Citrate buffer (pH 6.0) for 20 min. The tissue section was blocked with 10% goat serum. The tissue section was then stained with ARG42694 anti-RhoB antibody at 1 µg/ml dilution, overnight at 4°C.
-
ARG42694 anti-RhoB antibody WB image
Western blot: 50 µg of samples under reducing condition. Human placenta, HepG2, T-47D, HeLa and COS-7 whole cell lysates stained with ARG42694 anti-RhoB antibody at 0.5 µg/ml dilution, overnight at 4°C.
-
ARG42694 anti-RhoB antibody IHC-P image
Immunohistochemistry: Paraffin-embedded Human mammary cancer tissue. Antigen Retrieval: Heat mediation was performed in Citrate buffer (pH 6.0) for 20 min. The tissue section was blocked with 10% goat serum. The tissue section was then stained with ARG42694 anti-RhoB antibody at 1 µg/ml dilution, overnight at 4°C.
