ARG56554
anti-Ribonuclease T2 antibody
anti-Ribonuclease T2 antibody for IHC-Formalin-fixed paraffin-embedded sections,Western blot and Human
Overview
| Product Description | Rabbit Polyclonal antibody recognizes Ribonuclease T2 |
|---|---|
| Tested Reactivity | Hu |
| Tested Application | IHC-P, WB |
| Host | Rabbit |
| Clonality | Polyclonal |
| Isotype | IgG |
| Target Name | Ribonuclease T2 |
| Antigen Species | Human |
| Immunogen | KLH-conjugated synthetic peptide corresponding to aa. 10-36 (N-terminus) of Human Ribonuclease T2. |
| Conjugation | Un-conjugated |
| Alternate Names | bA514O12.3; Ribonuclease T2; RNASE6PL; Ribonuclease 6; EC 3.1.27.- |
Application Instructions
| Application Suggestion |
|
||||||
|---|---|---|---|---|---|---|---|
| Application Note | * The dilutions indicate recommended starting dilutions and the optimal dilutions or concentrations should be determined by the scientist. | ||||||
| Positive Control | 293T |
Properties
| Form | Liquid |
|---|---|
| Purification | Purification with Protein A and immunogen peptide. |
| Buffer | PBS and 0.09% (W/V) Sodium azide. |
| Preservative | 0.09% (W/V) Sodium azide. |
| Storage Instruction | For continuous use, store undiluted antibody at 2-8°C for up to a week. For long-term storage, aliquot and store at -20°C or below. Storage in frost free freezers is not recommended. Avoid repeated freeze/thaw cycles. Suggest spin the vial prior to opening. The antibody solution should be gently mixed before use. |
| Note | For laboratory research only, not for drug, diagnostic or other use. |
Bioinformation
| Database Links | |
|---|---|
| Gene Symbol | RNASET2 |
| Gene Full Name | ribonuclease T2 |
| Background | This ribonuclease gene is a novel member of the Rh/T2/S-glycoprotein class of extracellular ribonucleases. It is a single copy gene that maps to 6q27, a region associated with human malignancies and chromosomal rearrangement. [provided by RefSeq, Jul 2008] |
| Function | Has ribonuclease activity, with higher activity at acidic pH. Probably is involved in lysosomal degradation of ribosomal RNA (By similarity). Probably plays a role in cellular RNA catabolism. [UniProt] |
| Cellular Localization | Secreted. Lysosome lumen. Endoplasmic reticulum lumen. Note=Subcellular fractionation of transfected ovarian cancer cells reveals full-length RNASET2 in the endoplasmic reticulum fraction and the 2 smaller RNASET2 proteolytic products in the lysosome fraction |
| Calculated MW | 29 kDa |
Images (2) Click the Picture to Zoom In
-
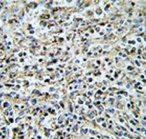
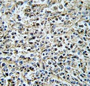
ARG56554 anti-Ribonuclease T2 antibody IHC-P image
Immunohistochemistry: Formalin-fixed and paraffin-embedded Human spleen carcinoma tissue stained with ARG56554 anti-Ribonuclease T2 antibody.
-
ARG56554 anti-Ribonuclease T2 antibody WB image
Western blot: 20 µg of 293T cell lysate stained with ARG56554 anti-Ribonuclease T2 antibody at 1:1000 dilution.
