ARG43275
anti-SAP49 antibody
anti-SAP49 antibody for Western blot and Human,Mouse,Rat
Overview
| Product Description | Rabbit Polyclonal antibody recognizes SAP49 |
|---|---|
| Tested Reactivity | Hu, Ms, Rat |
| Tested Application | WB |
| Host | Rabbit |
| Clonality | Polyclonal |
| Isotype | IgG |
| Target Name | SAP49 |
| Antigen Species | Human |
| Immunogen | Synthetic peptide corresponding to a sequence of Human SAP49. (LDEKVSEPLLWELFLQA) |
| Conjugation | Un-conjugated |
| Alternate Names | SAP 49; SF3b50; SAP49; Hsh49; AFD1; Splicing factor 3B subunit 4; SF3b49; Pre-mRNA-splicing factor SF3b 49 kDa subunit; Spliceosome-associated protein 49 |
Application Instructions
| Application Suggestion |
|
||||
|---|---|---|---|---|---|
| Application Note | * The dilutions indicate recommended starting dilutions and the optimal dilutions or concentrations should be determined by the scientist. | ||||
| Observed Size | ~ 48 kDa |
Properties
| Form | Liquid |
|---|---|
| Purification | Affinity purification with immunogen. |
| Buffer | 0.2% Na2HPO4, 0.9% NaCl, 0.05% Sodium azide and 4% Trehalose. |
| Preservative | 0.05% Sodium azide |
| Stabilizer | 4% Trehalose |
| Concentration | 0.5 mg/ml |
| Storage Instruction | For continuous use, store undiluted antibody at 2-8°C for up to a week. For long-term storage, aliquot and store at -20°C or below. Storage in frost free freezers is not recommended. Avoid repeated freeze/thaw cycles. Suggest spin the vial prior to opening. The antibody solution should be gently mixed before use. |
| Note | For laboratory research only, not for drug, diagnostic or other use. |
Bioinformation
| Database Links | |
|---|---|
| Gene Symbol | SF3B4 |
| Gene Full Name | splicing factor 3b, subunit 4, 49kDa |
| Background | This gene encodes one of four subunits of the splicing factor 3B. The protein encoded by this gene cross-links to a region in the pre-mRNA immediately upstream of the branchpoint sequence in pre-mRNA in the prespliceosomal complex A. It also may be involved in the assembly of the B, C and E spliceosomal complexes. In addition to RNA-binding activity, this protein interacts directly and highly specifically with subunit 2 of the splicing factor 3B. This protein contains two N-terminal RNA-recognition motifs (RRMs), consistent with the observation that it binds directly to pre-mRNA. [provided by RefSeq, Jul 2008] |
| Function | Involved in pre-mRNA splicing as a component of the splicing factor SF3B complex (PubMed:27720643). SF3B complex is required for 'A' complex assembly formed by the stable binding of U2 snRNP to the branchpoint sequence (BPS) in pre-mRNA. Sequence independent binding of SF3A/SF3B complex upstream of the branch site is essential, it may anchor U2 snRNP to the pre-mRNA (PubMed:12234937). May also be involved in the assembly of the 'E' complex. SF3B4 has been found in complex 'B' and 'C' as well (PubMed:10882114). Belongs also to the minor U12-dependent spliceosome, which is involved in the splicing of rare class of nuclear pre-mRNA intron (PubMed:15146077). [UniProt] |
| Cellular Localization | Nucleus. [UniProt] |
| Calculated MW | 44 kDa |
Images (2) Click the Picture to Zoom In
-
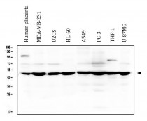
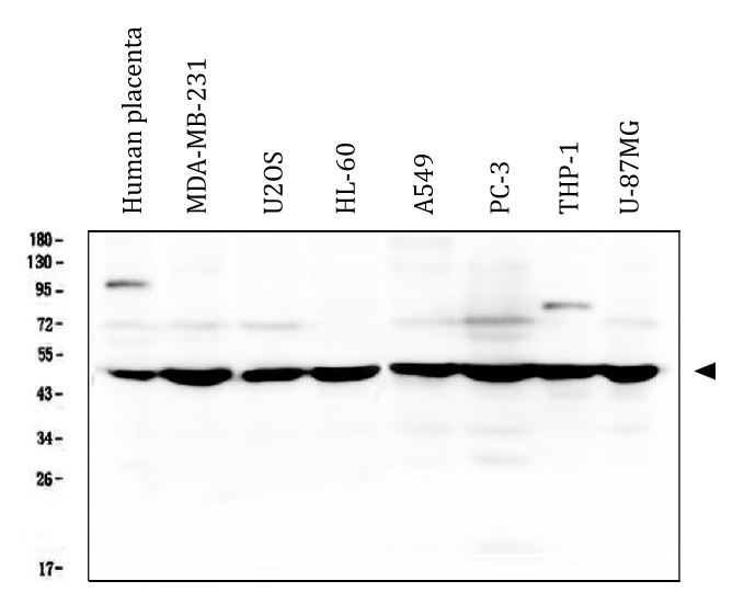
ARG43275 anti-SAP49 antibody WB image
Western blot: 50 µg of sample under reducing conditions. Human placenta, MDA-MB-231, U2OS, HL-60, A549, PC-3, THP-1 and U-87MG whole cell lysates stained with ARG43275 anti-SAP49 antibody at 0.5 µg/ml dilution, overnight at 4°C.
-
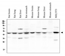
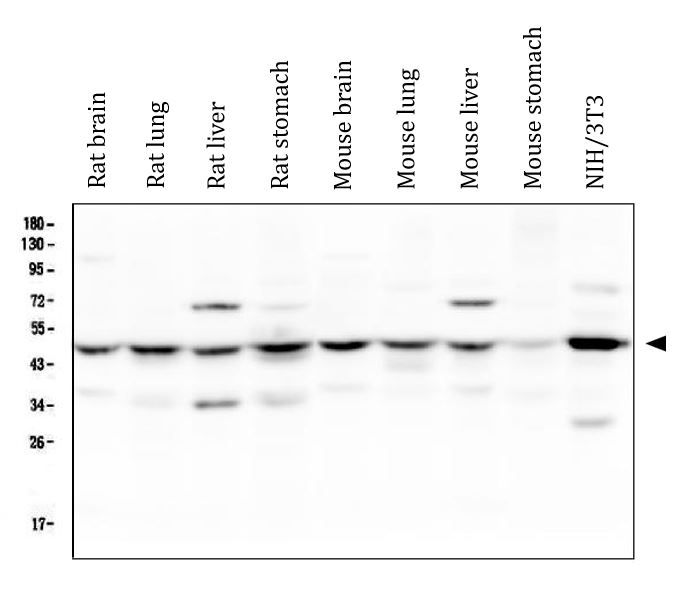
ARG43275 anti-SAP49 antibody WB image
Western blot: 50 µg of sample under reducing conditions. Rat brain, Rat lung, Rat liver, Rat stomach, Mouse brain, Mouse lung, Mouse liver, Mouse stomach and NIH/3T3 whole cell lysates stained with ARG43275 anti-SAP49 antibody at 0.5 µg/ml dilution, overnight at 4°C.
