ARG64336
anti-SCGB2A2 / Mammaglobin A antibody
anti-SCGB2A2 / Mammaglobin A antibody for IHC-Formalin-fixed paraffin-embedded sections and Human
Controls and Markers antibody
Overview
| Product Description | Goat Polyclonal antibody recognizes SCGB2A2 / Mammaglobin A |
|---|---|
| Tested Reactivity | Hu |
| Tested Application | IHC-P |
| Host | Goat |
| Clonality | Polyclonal |
| Isotype | IgG |
| Target Name | SCGB2A2 / Mammaglobin A |
| Antigen Species | Human |
| Immunogen | C-NPQVSKTEYKEL |
| Conjugation | Un-conjugated |
| Alternate Names | UGB2; Secretoglobin family 2A member 2; MGB1; Mammaglobin-A; Mammaglobin-1 |
Application Instructions
| Application Suggestion |
|
||||
|---|---|---|---|---|---|
| Application Note | IHC-P: Antigen Retrieval: Steam tissue section in Citrate buffer (pH 6.0). * The dilutions indicate recommended starting dilutions and the optimal dilutions or concentrations should be determined by the scientist. |
Properties
| Form | Liquid |
|---|---|
| Purification | Purified from goat serum by antigen affinity chromatography. |
| Buffer | Tris saline (pH 7.3), 0.02% Sodium azide and 0.5% BSA. |
| Preservative | 0.02% Sodium azide |
| Stabilizer | 0.5% BSA |
| Concentration | 0.5 mg/ml |
| Storage Instruction | For continuous use, store undiluted antibody at 2-8°C for up to a week. For long-term storage, aliquot and store at -20°C or below. Storage in frost free freezers is not recommended. Avoid repeated freeze/thaw cycles. Suggest spin the vial prior to opening. The antibody solution should be gently mixed before use. |
| Note | For laboratory research only, not for drug, diagnostic or other use. |
Bioinformation
| Database Links | |
|---|---|
| Gene Symbol | SCGB2A2 |
| Gene Full Name | secretoglobin, family 2A, member 2 |
| Research Area | Controls and Markers antibody |
| Calculated MW | 10 kDa |
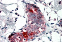
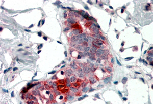
Images (1) Click the Picture to Zoom In
-
ARG64336 anti-SCGB2A2 / Mammaglobin A antibody IHC-P image
Immunohistochemistry: Paraffin-embedded Human breast tissue. Antigen Retrieval: Steam tissue section in Citrate buffer (pH 6.0). Tissue section was stained with ARG64336 anti-SCGB2A2 / Mammaglobin A antibody at 4 µg/ml dilution followed by AP-staining.
