ARG45263
anti-SCML1 antibody
anti-SCML1 antibody for Flow cytometry,ICC/IF,IHC-Formalin-fixed paraffin-embedded sections,Western blot and Human
Overview
| Product Description | Polyclonal antibody recognizes SCML1 |
|---|---|
| Tested Reactivity | Hu |
| Tested Application | FACS, ICC/IF, IHC-P, WB |
| Host | Rabbit |
| Clonality | Polyclonal |
| Isotype | IgG |
| Target Name | SCML1 |
| Antigen Species | Human |
| Immunogen | Recombinant protein containing to human SCML1. |
| Conjugation | Un-conjugated |
| Alternate Names | SCML1; Scm Polycomb Group Protein Like 1; Sex Comb On Midleg-Like Protein 1; Sex Comb On Midleg (Drosophila)-Like 1; Sex Comb On Midleg Like 1 (Drosophila); Sex Comb On Midleg Like 1 |
Application Instructions
| Application Suggestion |
|
||||||||||
|---|---|---|---|---|---|---|---|---|---|---|---|
| Application Note | * The dilutions indicate recommended starting dilutions and the optimal dilutions or concentrations should be determined by the scientist. | ||||||||||
| Observed Size | 37 kDa |
Properties
| Form | Liquid |
|---|---|
| Purification | Affinity purification with immunogen. |
| Buffer | 0.2% Na2HPO4, 0.9% NaCl and 4% Trehalose. |
| Stabilizer | 4% Trehalose |
| Concentration | 0.5 mg/ml |
| Storage Instruction | For continuous use, store undiluted antibody at 2-8°C for up to a week. For long-term storage, aliquot and store at -20°C or below. Storage in frost free freezers is not recommended. Avoid repeated freeze/thaw cycles. Suggest spin the vial prior to opening. The antibody solution should be gently mixed before use. |
| Note | For laboratory research only, not for drug, diagnostic or other use. |
Bioinformation
| Database Links | |
|---|---|
| Gene Symbol | SCML1 |
| Gene Full Name | Scm Polycomb Group Protein Like 1 |
| Background | redicted to enable chromatin binding activity and histone binding activity. Predicted to be involved in negative regulation of DNA-templated transcription. Predicted to be located in female germ cell nucleus and male germ cell nucleus. Predicted to be active in nucleus. [provided by Alliance of Genome Resources, Nov 2024] |
| Function | Putative Polycomb group (PcG) protein. PcG proteins act by forming multiprotein complexes, which are required to maintain the transcriptionally repressive state of homeotic genes throughout development. May be involved in spermatogenesis during sexual maturation. [UniProt] |
| Cellular Localization | Nucleus. [UniProt] |
| Calculated MW | 37 kDa |
Images (4) Click the Picture to Zoom In
-
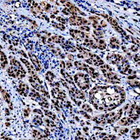
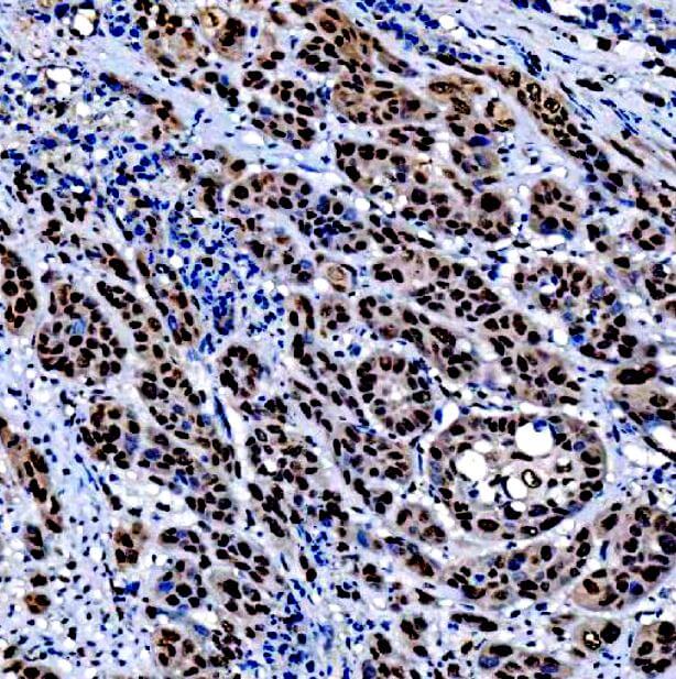
ARG45263 anti-SCML1 antibody IHC-P image
Immunohistochemistry: Human prostate cancer stained with ARG45263 anti-SCML1 antibody at 2 μg/ml dilution.
-
ARG45263 anti-SCML1 antibody ICC/IF image
Immunofluorescence: Hela stained with ARG45263 anti-SCML1 antibody at 5 ug/ml dilution.
-
ARG45263 anti-SCML1 antibody WB image
Western blot: A431 stained with ARG45263 anti-SCML1 antibody at 0.5 μg/ml dilution.
-
ARG45263 anti-SCML1 antibody FACS image
Flow Cytometry: U20S stained with ARG45263 anti-SCML1 antibody at 1 µg/10^6 cells dilution.
