ARG42591
anti-SCN11A antibody
anti-SCN11A antibody for Flow cytometry,IHC-Formalin-fixed paraffin-embedded sections,Western blot and Human,Mouse,Rat
Overview
| Product Description | Rabbit Polyclonal antibody recognizes SCN11A |
|---|---|
| Tested Reactivity | Hu, Ms, Rat |
| Tested Application | FACS, IHC-P, WB |
| Host | Rabbit |
| Clonality | Polyclonal |
| Isotype | IgG |
| Target Name | SCN11A |
| Antigen Species | Human |
| Immunogen | Synthetic peptide corresponding to a sequence of Human SCN11A. (MDDRCYPVIFPDERNFRPFTSDSLAAIEKRIAIQKEKKK) |
| Conjugation | Un-conjugated |
| Alternate Names | hNaN; SCN12A; NaN; PN5; Sodium channel protein type 11 subunit alpha; Sodium channel protein type XI subunit alpha; Peripheral nerve sodium channel 5; FEPS3; Voltage-gated sodium channel subunit alpha Nav1.9; NAV1.9; HSAN7; SNS-2; Sensory neuron sodium channel 2 |
Application Instructions
| Application Suggestion |
|
||||||||
|---|---|---|---|---|---|---|---|---|---|
| Application Note | IHC-P: Antigen Retrieval: Heat mediation was performed in EDTA buffer (pH 8.0). * The dilutions indicate recommended starting dilutions and the optimal dilutions or concentrations should be determined by the scientist. |
||||||||
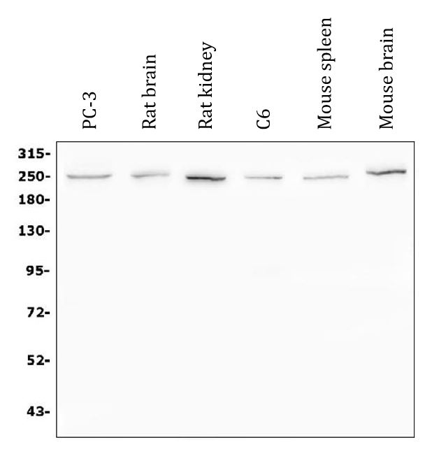
| Observed Size | ~ 250 kDa |
Properties
| Form | Liquid |
|---|---|
| Purification | Affinity purification with immunogen. |
| Buffer | 0.2% Na2HPO4, 0.9% NaCl, 0.05% Sodium azide and 4% Trehalose. |
| Preservative | 0.05% Sodium azide |
| Stabilizer | 4% Trehalose |
| Concentration | 0.5 mg/ml |
| Storage Instruction | For continuous use, store undiluted antibody at 2-8°C for up to a week. For long-term storage, aliquot and store at -20°C or below. Storage in frost free freezers is not recommended. Avoid repeated freeze/thaw cycles. Suggest spin the vial prior to opening. The antibody solution should be gently mixed before use. |
| Note | For laboratory research only, not for drug, diagnostic or other use. |
Bioinformation
| Database Links | |
|---|---|
| Gene Symbol | SCN11A |
| Gene Full Name | sodium channel, voltage gated, type XI alpha subunit |
| Background | Voltage-gated sodium channels are transmembrane glycoprotein complexes composed of a large alpha subunit with 24 transmembrane domains and one or more regulatory beta subunits. They are responsible for the generation and propagation of action potentials in neurons and muscle. This gene encodes one member of the sodium channel alpha subunit gene family, and is highly expressed in nociceptive neurons of dorsal root ganglia and trigeminal ganglia. It mediates brain-derived neurotrophic factor-evoked membrane depolarization and is a major effector of peripheral inflammatory pain hypersensitivity. Mutations in this gene have been associated with hereditary sensory and autonomic neuropathy type VII and familial episodic pain syndrome-3. Alternative splicing results in multiple transcript variants. [provided by RefSeq, Mar 2017] |
| Function | This protein mediates the voltage-dependent sodium ion permeability of excitable membranes. Assuming opened or closed conformations in response to the voltage difference across the membrane, the protein forms a sodium-selective channel through which sodium ions may pass in accordance with their electrochemical gradient. It is a tetrodotoxin-resistant sodium channel isoform. Also involved, with the contribution of the receptor tyrosine kinase NTRK2, in rapid BDNF-evoked neuronal depolarization. [UniProt] |
| Cellular Localization | Cell membrane; Multi-pass membrane protein. [UniProt] |
| Calculated MW | 205 kDa |
| PTM | Phosphorylation at Ser-1341 by PKC in a highly conserved cytoplasmic loop slows inactivation of the sodium channel and reduces peak sodium currents. [UniProt] |
Images (4) Click the Picture to Zoom In
-
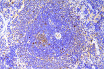
ARG42591 anti-SCN11A antibody IHC-P image
Immunohistochemistry: Paraffin-embedded Rat spleen tissue. Antigen Retrieval: Heat mediation was performed in EDTA buffer (pH 8.0). The tissue section was blocked with 10% goat serum. The tissue section was then stained with ARG42591 anti-SCN11A antibody at 1 µg/ml dilution, overnight at 4°C.
-
ARG42591 anti-SCN11A antibody WB image
Western blot: 50 µg of samples under reducing conditions. PC-3, Rat brain, Rat kidney, C6, Mouse spleen and Mouse brain lysates stained with ARG42591 anti-SCN11A antibody at 0.5 µg/ml dilution, overnight at 4°C.
-
ARG42591 anti-SCN11A antibody FACS image
Flow Cytometry: U-87 cells were blocked with 10% normal goat serum and then stained with ARG42591 anti-SCN11A antibody (blue) at 1 µg/10^6 cells for 30 min at 20°C, followed by incubation with DyLight®488 labelled secondary antibody. Isotype control antibody (green) was Rabbit IgG (1 µg/10^6 cells) used under the same conditions. Unlabelled sample (red) was also used as a control.
-
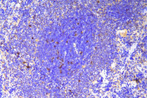
ARG42591 anti-SCN11A antibody IHC-P image
Immunohistochemistry: Paraffin-embedded Mouse spleen tissue. Antigen Retrieval: Heat mediation was performed in EDTA buffer (pH 8.0). The tissue section was blocked with 10% goat serum. The tissue section was then stained with ARG42591 anti-SCN11A antibody at 1 µg/ml dilution, overnight at 4°C.
