ARG42952
anti-SDHC antibody
anti-SDHC antibody for IHC-Formalin-fixed paraffin-embedded sections,Western blot and Human,Mouse,Rat
Overview
| Product Description | Rabbit Polyclonal antibody recognizes SDHC |
|---|---|
| Tested Reactivity | Hu, Ms, Rat |
| Tested Application | IHC-P, WB |
| Host | Rabbit |
| Clonality | Polyclonal |
| Isotype | IgG |
| Target Name | SDHC |
| Antigen Species | Human |
| Immunogen | Synthetic peptide corresponding to aa. 35-50 of Human SDHC. (KEEMERFWNKNIGSNR) |
| Conjugation | Un-conjugated |
| Alternate Names | Succinate dehydrogenase cytochrome b560 subunit, mitochondrial; QPs1; Integral membrane protein CII-3; SDH3; CYB560; PGL3; Succinate dehydrogenase complex subunit C; Succinate-ubiquinone oxidoreductase cytochrome B large subunit; QPS1; QPs-1; CYBL |
Application Instructions
| Application Suggestion |
|
||||||
|---|---|---|---|---|---|---|---|
| Application Note | * The dilutions indicate recommended starting dilutions and the optimal dilutions or concentrations should be determined by the scientist. | ||||||
| Observed Size | ~ 19 kDa |
Properties
| Form | Liquid |
|---|---|
| Purification | Affinity purification with immunogen. |
| Buffer | 0.2% Na2HPO4, 0.9% NaCl, 0.05% Thimerosal, 0.05% Sodium azide and 5% BSA. |
| Preservative | 0.05% Thimerosal and 0.05% Sodium azide |
| Stabilizer | 5% BSA |
| Concentration | 0.5 mg/ml |
| Storage Instruction | For continuous use, store undiluted antibody at 2-8°C for up to a week. For long-term storage, aliquot and store at -20°C or below. Storage in frost free freezers is not recommended. Avoid repeated freeze/thaw cycles. Suggest spin the vial prior to opening. The antibody solution should be gently mixed before use. |
| Note | For laboratory research only, not for drug, diagnostic or other use. |
Bioinformation
| Database Links |
Swiss-port # Q99643 Human Succinate dehydrogenase cytochrome b560 subunit, mitochondrial Swiss-port # Q9CZB0 Mouse Succinate dehydrogenase cytochrome b560 subunit, mitochondrial |
|---|---|
| Gene Symbol | SDHC |
| Gene Full Name | succinate dehydrogenase complex, subunit C, integral membrane protein, 15kDa |
| Background | This gene encodes one of four nuclear-encoded subunits that comprise succinate dehydrogenase, also known as mitochondrial complex II, a key enzyme complex of the tricarboxylic acid cycle and aerobic respiratory chains of mitochondria. The encoded protein is one of two integral membrane proteins that anchor other subunits of the complex, which form the catalytic core, to the inner mitochondrial membrane. There are several related pseudogenes for this gene on different chromosomes. Mutations in this gene have been associated with paragangliomas. Alternatively spliced transcript variants have been described. [provided by RefSeq, May 2013] |
| Function | Membrane-anchoring subunit of succinate dehydrogenase (SDH) that is involved in complex II of the mitochondrial electron transport chain and is responsible for transferring electrons from succinate to ubiquinone (coenzyme Q). [UniProt] |
| Cellular Localization | Mitochondrion inner membrane; Multi-pass membrane protein. [UniProt] |
| Calculated MW | 19 kDa |
Images (3) Click the Picture to Zoom In
-
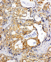
ARG42952 anti-SDHC antibody IHC-P image
Immunohistochemistry: Paraffin-embedded Rat gaster tissue stained with ARG42952 anti-SDHC antibody.
-
ARG42952 anti-SDHC antibody WB image
Western blot: 50 µg of Rat liver, 50 µg of Mouse liver and 40 µg of HeLa whole cell lysates stained with ARG42952 anti-SDHC antibody at 0.5 µg/ml dilution.
-
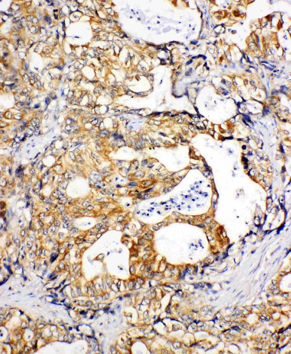
ARG42952 anti-SDHC antibody IHC-P image
Immunohistochemistry: Paraffin-embedded Human gastric cancer tissue stained with ARG42952 anti-SDHC antibody.
