ARG66471
anti-SENP1 antibody
anti-SENP1 antibody for IHC-Formalin-fixed paraffin-embedded sections,Western blot and Human,Mouse
Overview
| Product Description | Rabbit Polyclonal antibody recognizes SENP1 |
|---|---|
| Tested Reactivity | Hu, Ms |
| Tested Application | IHC-P, WB |
| Host | Rabbit |
| Clonality | Polyclonal |
| Isotype | IgG |
| Target Name | SENP1 |
| Antigen Species | Human |
| Immunogen | Synthetic peptide corresponding to aa. 1-80 of Human SENP1. |
| Conjugation | Un-conjugated |
| Alternate Names | SuPr-2; EC 3.4.22.68; Sentrin/SUMO-specific protease SENP1; Sentrin-specific protease 1 |
Application Instructions
| Application Suggestion |
|
||||||
|---|---|---|---|---|---|---|---|
| Application Note | * The dilutions indicate recommended starting dilutions and the optimal dilutions or concentrations should be determined by the scientist. |
Properties
| Form | Liquid |
|---|---|
| Purification | Affinity purification with immunogen. |
| Buffer | PBS, 0.02% Sodium azide, 50% Glycerol and 0.5% BSA. |
| Preservative | 0.02% Sodium azide |
| Stabilizer | 50% Glycerol and 0.5% BSA |
| Concentration | 1 mg/ml |
| Storage Instruction | For continuous use, store undiluted antibody at 2-8°C for up to a week. For long-term storage, aliquot and store at -20°C. Storage in frost free freezers is not recommended. Avoid repeated freeze/thaw cycles. Suggest spin the vial prior to opening. The antibody solution should be gently mixed before use. |
| Note | For laboratory research only, not for drug, diagnostic or other use. |
Bioinformation
| Database Links | |
|---|---|
| Gene Symbol | SENP1 |
| Gene Full Name | SUMO1/sentrin specific peptidase 1 |
| Background | This gene encodes a cysteine protease that specifically targets members of the small ubiquitin-like modifier (SUMO) protein family. This protease regulates SUMO pathways by deconjugating sumoylated proteins. This protease also functions to process the precursor SUMO proteins into their mature form. Alternate splicing results in multiple transcript variants. [provided by RefSeq, Jun 2012] |
| Function | Protease that catalyzes two essential functions in the SUMO pathway: processing of full-length SUMO1, SUMO2 and SUMO3 to their mature forms and deconjugation of SUMO1, SUMO2 and SUMO3 from targeted proteins. Deconjugates SUMO1 from HIPK2. Deconjugates SUMO1 from HDAC1 and BHLHE40/DEC1, which decreases its transcriptional repression activity. Deconjugates SUMO1 from CLOCK, which decreases its transcriptional activation activity. Deconjugates SUMO2 from MTA1. Desumoylates CCAR2 which decreases its interaction with SIRT1. [UniProt] |
| Cellular Localization | Nucleus. Cytoplasm. Note=Shuttles between cytoplasm and nucleus. [UniProt] |
| Calculated MW | 73 kDa |
Images (2) Click the Picture to Zoom In
-
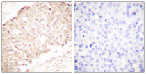
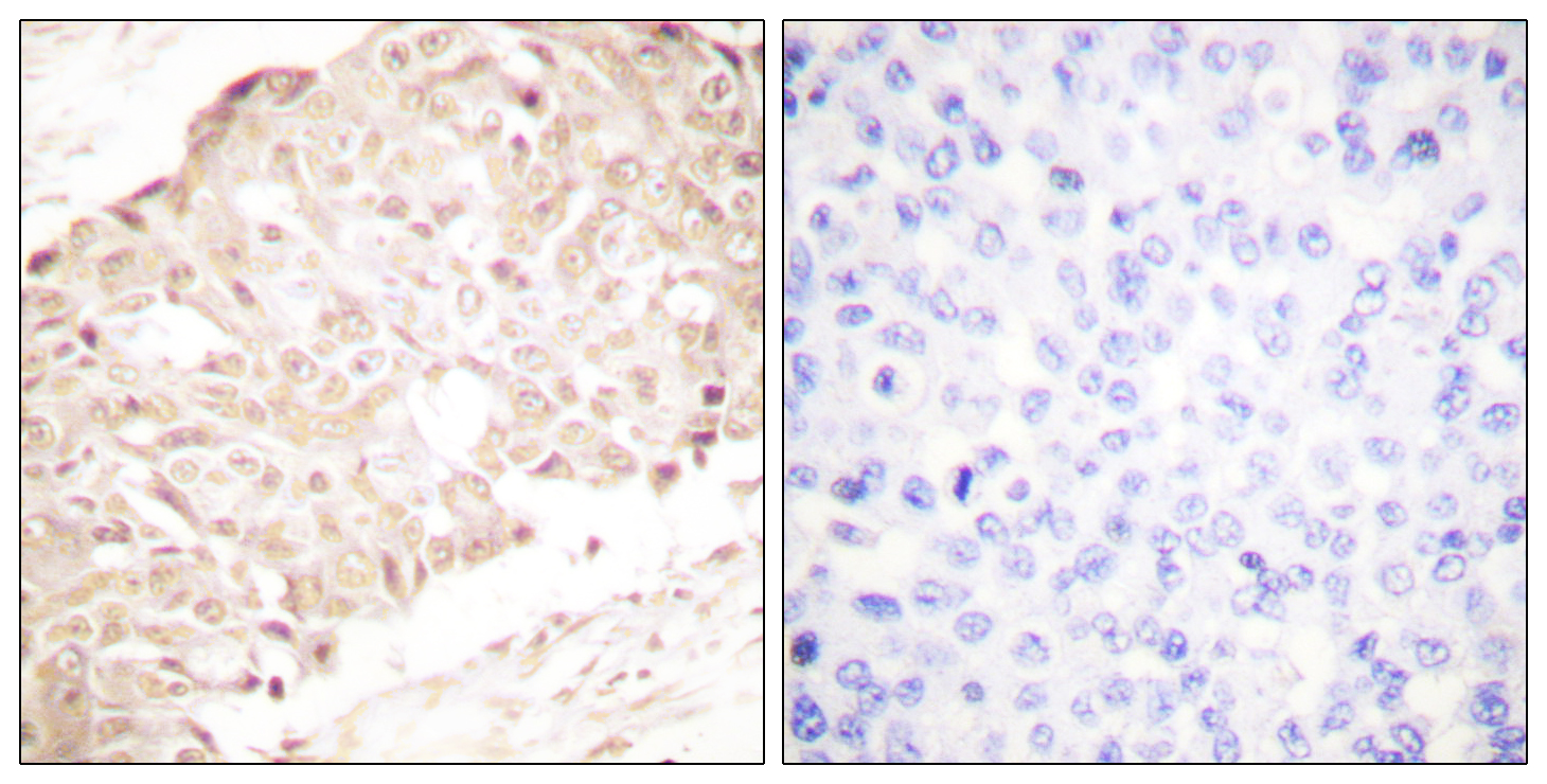
ARG66471 anti-SENP1 antibody IHC-P image
Immunohistochemistry: Paraffin-embedded Human breast carcinoma stained with ARG66471 anti-SENP1 antibody. The picture on the right is blocked with the synthetic peptide.
-
ARG66471 anti-SENP1 antibody WB image
Western blot: Jurkat, 3T3 and K562 cell lysates stained with ARG66471 anti-SENP1 antibody.
