ARG55827
anti-SENP6 / SUSP1 antibody
anti-SENP6 / SUSP1 antibody for IHC-Formalin-fixed paraffin-embedded sections,Western blot and Human
Overview
| Product Description | Rabbit Polyclonal antibody recognizes SENP6 / SUSP1 |
|---|---|
| Tested Reactivity | Hu |
| Tested Application | IHC-P, WB |
| Host | Rabbit |
| Clonality | Polyclonal |
| Isotype | IgG |
| Target Name | SENP6 / SUSP1 |
| Antigen Species | Human |
| Immunogen | KLH-conjugated synthetic peptide corresponding to aa. 1081-1112 of Human SENP6 / SUSP1. |
| Conjugation | Un-conjugated |
| Alternate Names | Sentrin/SUMO-specific protease SENP6; SUSP1; EC 3.4.22.68; SUMO-1-specific protease 1; Sentrin-specific protease 6; SSP1 |
Application Instructions
| Application Suggestion |
|
||||||
|---|---|---|---|---|---|---|---|
| Application Note | * The dilutions indicate recommended starting dilutions and the optimal dilutions or concentrations should be determined by the scientist. | ||||||
| Positive Control | HL60 |
Properties
| Form | Liquid |
|---|---|
| Purification | Purification with Protein G. |
| Buffer | PBS and 0.09% (W/V) Sodium azide |
| Preservative | 0.09% (W/V) Sodium azide |
| Storage Instruction | For continuous use, store undiluted antibody at 2-8°C for up to a week. For long-term storage, aliquot and store at -20°C or below. Storage in frost free freezers is not recommended. Avoid repeated freeze/thaw cycles. Suggest spin the vial prior to opening. The antibody solution should be gently mixed before use. |
| Note | For laboratory research only, not for drug, diagnostic or other use. |
Bioinformation
| Database Links | |
|---|---|
| Gene Symbol | SENP6 |
| Gene Full Name | SUMO1/sentrin specific peptidase 6 |
| Background | Ubiquitin-like molecules (UBLs), such as SUMO1 (UBL1; MIM 601912), are structurally related to ubiquitin (MIM 191339) and can be ligated to target proteins in a similar manner as ubiquitin. However, covalent attachment of UBLs does not result in degradation of the modified proteins. SUMO1 modification is implicated in the targeting of RANGAP1 (MIM 602362) to the nuclear pore complex, as well as in stabilization of I-kappa-B-alpha (NFKBIA; MIM 164008) from degradation by the 26S proteasome. Like ubiquitin, UBLs are synthesized as precursor proteins, with 1 or more amino acids following the C-terminal glycine-glycine residues of the mature UBL protein. Thus, the tail sequences of the UBL precursors need to be removed by UBL-specific proteases, such as SENP6, prior to their conjugation to target proteins (Kim et al., 2000 [PubMed 10799485]). SENPs also display isopeptidase activity for deconjugation of SUMO-conjugated substrates (Lima and Reverter, 2008 [PubMed 18799455]).[supplied by OMIM, Jun 2009] |
| Function | Protease that deconjugates SUMO1, SUMO2 and SUMO3 from targeted proteins. Processes preferentially poly-SUMO2 and poly-SUMO3 chains, but does not efficiently process SUMO1, SUMO2 and SUMO3 precursors. Deconjugates SUMO1 from RXRA, leading to transcriptional activation. Involved in chromosome alignment and spindle assembly, by regulating the kinetochore CENPH-CENPI-CENPK complex. Desumoylates PML and CENPI, protecting them from degradation by the ubiquitin ligase RNF4, which targets polysumoylated proteins for proteasomal degradation. Desumoylates also RPA1, thus preventing recruitment of RAD51 to the DNA damage foci to initiate DNA repair through homologous recombination. [UniProt] |
| Calculated MW | 126 kDa |
Images (2) Click the Picture to Zoom In
-
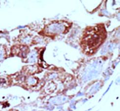
ARG55827 anti-SENP6 / SUSP1 antibody IHC-P image
Immunohistochemistry: Formalin-fixed and paraffin-embedded Human breast carcinoma tissue stained with ARG55827 anti-SENP6 / SUSP1 antibody.
-
ARG55827 anti-SENP6 / SUSP1 antibody WB image
Western blot: HL60 cell lysate stained with ARG55827 anti-SENP6 / SUSP1 antibody.
