ARG59120
anti-SFRS1 / SF2 antibody
anti-SFRS1 / SF2 antibody for IHC-Formalin-fixed paraffin-embedded sections,Western blot and Human,Mouse,Rat
Overview
| Product Description | Rabbit Polyclonal antibody recognizes SFRS1 / SF2 |
|---|---|
| Tested Reactivity | Hu, Ms, Rat |
| Predict Reactivity | Hm |
| Tested Application | IHC-P, WB |
| Host | Rabbit |
| Clonality | Polyclonal |
| Isotype | IgG |
| Target Name | SFRS1 / SF2 |
| Antigen Species | Human |
| Immunogen | Synthetic peptide corresponding to aa. 6-33 of Human SFRS1 / SF2. (VIRGPAGNNDCRIYVGNLPPDIRTKDIE). |
| Conjugation | Un-conjugated |
| Alternate Names | Alternative-splicing factor 1; ASF-1; SF2; SFRS1; Splicing factor, arginine/serine-rich 1; ASF; SRp30a; Serine/arginine-rich splicing factor 1; SF2p33; pre-mRNA-splicing factor SF2, P33 subunit |
Application Instructions
| Application Suggestion |
|
||||||
|---|---|---|---|---|---|---|---|
| Application Note | IHC-P: Antigen Retrieval: By heat mediation. * The dilutions indicate recommended starting dilutions and the optimal dilutions or concentrations should be determined by the scientist. |
Properties
| Form | Liquid |
|---|---|
| Purification | Affinity purification with immunogen. |
| Buffer | 0.9% NaCl, 0.2% Na2HPO4, 0.05% Sodium azide and 5% BSA. |
| Preservative | 0.05% Sodium azide |
| Stabilizer | 5% BSA |
| Concentration | 0.5 mg/ml |
| Storage Instruction | For continuous use, store undiluted antibody at 2-8°C for up to a week. For long-term storage, aliquot and store at -20°C or below. Storage in frost free freezers is not recommended. Avoid repeated freeze/thaw cycles. Suggest spin the vial prior to opening. The antibody solution should be gently mixed before use. |
| Note | For laboratory research only, not for drug, diagnostic or other use. |
Bioinformation
| Database Links |
Swiss-port # Q07955 Human Serine/arginine-rich splicing factor 1 Swiss-port # Q6PDM2 Mouse Serine/arginine-rich splicing factor 1 |
|---|---|
| Gene Symbol | SRSF1 |
| Gene Full Name | serine/arginine-rich splicing factor 1 |
| Background | This gene encodes a member of the arginine/serine-rich splicing factor protein family. The encoded protein can either activate or repress splicing, depending on its phosphorylation state and its interaction partners. Multiple transcript variants have been found for this gene. There is a pseudogene of this gene on chromosome 13. [provided by RefSeq, Jun 2014] |
| Function | Plays a role in preventing exon skipping, ensuring the accuracy of splicing and regulating alternative splicing. Interacts with other spliceosomal components, via the RS domains, to form a bridge between the 5'- and 3'-splice site binding components, U1 snRNP and U2AF. Can stimulate binding of U1 snRNP to a 5'-splice site-containing pre-mRNA. Binds to purine-rich RNA sequences, either the octamer, 5'-RGAAGAAC-3' (r=A or G) or the decamers, AGGACAGAGC/AGGACGAAGC. Binds preferentially to the 5'-CGAGGCG-3' motif in vitro. Three copies of the octamer constitute a powerful splicing enhancer in vitro, the ASF/SF2 splicing enhancer (ASE) which can specifically activate ASE-dependent splicing. Isoform ASF-2 and isoform ASF-3 act as splicing repressors. May function as export adapter involved in mRNA nuclear export through the TAP/NXF1 pathway. [UniProt] |
| Cellular Localization | Cytoplasm. Nucleus speckle. Note=In nuclear speckles. Shuttles between the nucleus and the cytoplasm. [UniProt] |
| Calculated MW | 28 kDa |
| PTM | Phosphorylated by CLK1, CLK2, CLK3 and CLK4. Phosphorylated by SRPK1 at multiple serines in its RS domain via a directional (C-terminal to N-terminal) and a dual-track mechanism incorporating both processive phosphorylation (in which the kinase stays attached to the substrate after each round of phosphorylation) and distributive phosphorylation steps (in which the kinase and substrate dissociate after each phosphorylation event). [UniProt] |
Images (4) Click the Picture to Zoom In
-
ARG59120 anti-SFRS1 / SF2 antibody IHC-P image
Immunohistochemistry: Paraffin-embedded Mouse brain stained with ARG59120 anti-SFRS1 / SF2 antibody.
-
ARG59120 anti-SFRS1 / SF2 antibody WB image
Western blot: 50 µg of Rat testis, 50 µg of Rat brain, 40 µg of NEURO, 40 µg of 293T and 40 µg of SW620 lysates stained with ARG59120 anti-SFRS1 / SF2 antibody at 0.5 µg/ml dilution.
-
ARG59120 anti-SFRS1 / SF2 antibody IHC-P image
Immunohistochemistry: Paraffin-embedded Rat brain stained with ARG59120 anti-SFRS1 / SF2 antibody.
-
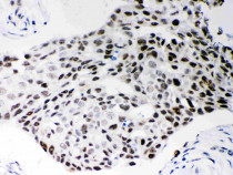
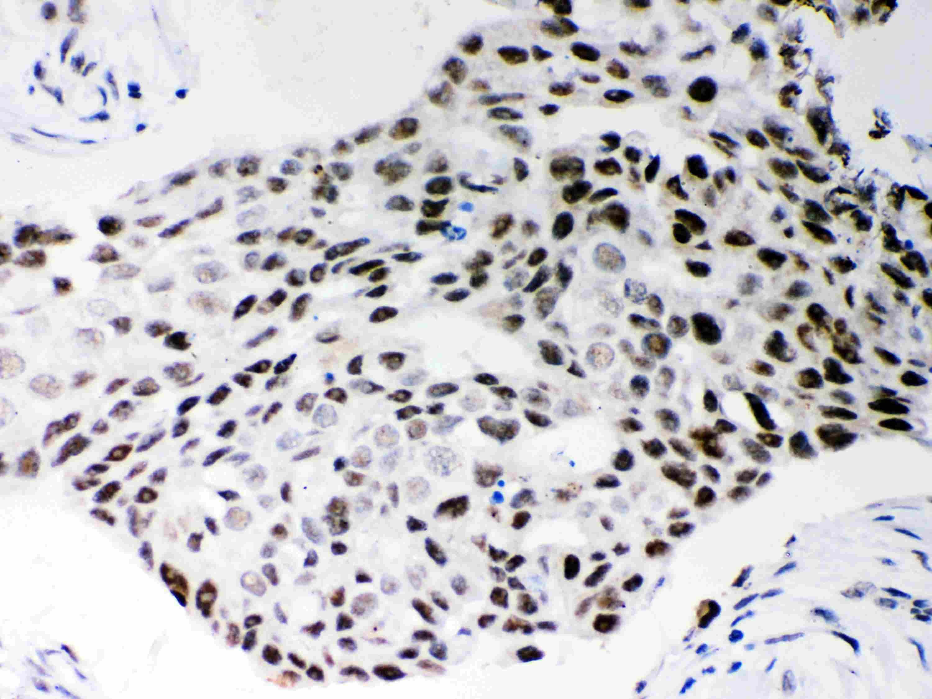
ARG59120 anti-SFRS1 / SF2 antibody IHC-P image
Immunohistochemistry: Paraffin-embedded Human mammary cancer stained with ARG59120 anti-SFRS1 / SF2 antibody.
