ARG63425
anti-SH3BP1 antibody
anti-SH3BP1 antibody for ICC/IF,IHC-Formalin-fixed paraffin-embedded sections,Western blot and Human
Signaling Transduction antibody
Overview
| Product Description | Goat Polyclonal antibody recognizes SH3BP1 |
|---|---|
| Tested Reactivity | Hu |
| Tested Application | ICC/IF, IHC-P, WB |
| Host | Goat |
| Clonality | Polyclonal |
| Isotype | IgG |
| Target Name | SH3BP1 |
| Antigen Species | Human |
| Immunogen | C-PQPRPRSLASETN |
| Conjugation | Un-conjugated |
| Alternate Names | SH3 domain-binding protein 1; 3BP-1; ARHGAP43 |
Application Instructions
| Application Suggestion |
|
||||||||
|---|---|---|---|---|---|---|---|---|---|
| Application Note | IHC-P: Antigen Retrieval: Microwaved tissue section in Citrate buffer (pH 6.0). WB: Recommend incubate at RT for 1h. * The dilutions indicate recommended starting dilutions and the optimal dilutions or concentrations should be determined by the scientist. |
Properties
| Form | Liquid |
|---|---|
| Purification | Purified from goat serum by antigen affinity chromatography. |
| Buffer | Tris saline (pH 7.3), 0.02% Sodium azide and 0.5% BSA. |
| Preservative | 0.02% Sodium azide |
| Stabilizer | 0.5% BSA |
| Concentration | 0.5 mg/ml |
| Storage Instruction | For continuous use, store undiluted antibody at 2-8°C for up to a week. For long-term storage, aliquot and store at -20°C or below. Storage in frost free freezers is not recommended. Avoid repeated freeze/thaw cycles. Suggest spin the vial prior to opening. The antibody solution should be gently mixed before use. |
| Note | For laboratory research only, not for drug, diagnostic or other use. |
Bioinformation
| Database Links | |
|---|---|
| Gene Symbol | SH3BP1 |
| Gene Full Name | SH3-domain binding protein 1 |
| Function | Binds differentially to the SH3 domains of certain proteins of signal transduction pathways. This protein binds preferentially to the ABL1 proto-oncogene, SRC and GRB2. Shows GAP activity for Rac-related proteins but not for Rho- or Ras-related proteins. It inhibits PDGF-induced membrane ruffling mediated by Rac (By similarity). [UniProt] |
| Research Area | Signaling Transduction antibody |
| Calculated MW | 76 kDa |
Images (2) Click the Picture to Zoom In
-
ARG63425 anti-SH3BP1 antibody WB image
Western Blot: Human Brain lysate (RIPA buffer, 35 µg total protein per lane) stained with ARG63425 anti-SH3BP1 antibody at 1 µg/ml dilution.
-
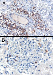
ARG63425 anti-SH3BP1 antibody IHC-P image
Immunohistochemistry: paraffin embedded Human Kidnay. Cytoplasmic staining of lymphocytes A) in the interstitial parenchyma of the kidney. B) in a glomerulus of the kidney. (Microwaved antigen retrieval with citrate buffer pH 6) stained with ARG63425 anti-SH3BP1 antibody at 0.3 µg/ml dilution followed by HRP-staining.
