ARG44520
anti-SHKBP1 antibody
anti-SHKBP1 antibody for Flow cytometry,IHC-Formalin-fixed paraffin-embedded sections,Western blot and Human
Overview
| Product Description | Rabbit Polyclonal antibody recognizes SHKBP1 |
|---|---|
| Tested Reactivity | Hu |
| Tested Application | FACS, IHC-P, WB |
| Host | Rabbit |
| Clonality | Polyclonal |
| Isotype | IgG |
| Target Name | SHKBP1 |
| Antigen Species | Human |
| Immunogen | Human SHKBP1 recombinant protein |
| Conjugation | Un-conjugated |
| Alternate Names | SHKBP1; SH3KBP1 Binding Protein 1; PP203; Sb1; SH3KBP1-Binding Protein 1; SETA-Binding Protein 1; SB1 |
Application Instructions
| Application Suggestion |
|
||||||||
|---|---|---|---|---|---|---|---|---|---|
| Application Note | The dilutions indicate recommended starting dilutions and the optimal dilutions or concentrations should be determined by the scientist. |
Properties
| Form | Liquid |
|---|---|
| Purification | Affinity purified with Immunogen. |
| Buffer | 0.9% NaCl, 0.2% Na2HPO4, 0.05% Sodium azide and 4% Trehalose. |
| Preservative | 0.05% Sodium azide |
| Stabilizer | 4% Trehalose |
| Concentration | 0.5 mg/ml |
| Storage Instruction | For continuous use, store undiluted antibody at 2-8°C for up to a week. For long-term storage, aliquot and store at -20°C or below. Storage in frost free freezers is not recommended. Avoid repeated freeze/thaw cycles. Suggest spin the vial prior to opening. The antibody solution should be gently mixed before use. |
| Note | For laboratory research only, not for drug, diagnostic or other use. |
Bioinformation
| Database Links | |
|---|---|
| Gene Symbol | SHKBP1 |
| Gene Full Name | SH3KBP1 Binding Protein 1 |
| Background | Enables identical protein binding activity. Predicted to be involved in positive regulation of epidermal growth factor receptor signaling pathway. Predicted to be located in lysosome. |
| Function | Inhibits CBL-SH3KBP1 complex mediated down-regulation of EGFR signaling by sequestration of SH3KBP1. Binds to SH3KBP1 and prevents its interaction with CBL and inhibits translocation of SH3KBP1 to EGFR containing vesicles upon EGF stimulation. |
| Cellular Localization | Lysosome |
| Calculated MW | 76 kDa |
| PTM | Acetylation; Phosphoprotein |
Images (4) Click the Picture to Zoom In
-
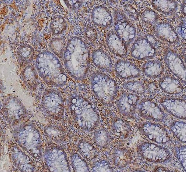
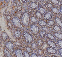
ARG44520 anti-SHKBP1 antibody IHC-P image
Immunohistochemistry: Human colon stained with ARG44520 anti-SHKBP1 antibody at 2 μg/mL dilution.
-
ARG44520 anti-SHKBP1 antibody WB image
Western blot: A549, HEL whole and U251 stained with ARG44520 anti-SHKBP1 antibody at 0.5 μg/mL dilution.
-
ARG44520 anti-SHKBP1 antibody FACS image
Flow Cytometry: A549 stained with ARG44520 anti-SHKBP1 antibody at 1 μg/10^6 cells dilution.
-
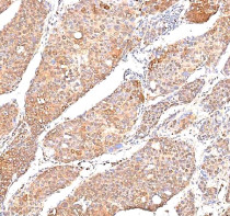
ARG44520 anti-SHKBP1 antibody IHC-P image
Immunohistochemistry: Human liver cancer stained with ARG44520 anti-SHKBP1 antibody at 2 μg/mL dilution.
