ARG44737
anti-SHMT1 antibody
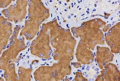
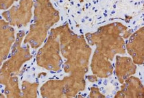
anti-SHMT1 antibody for IHC-Formalin-fixed paraffin-embedded sections,Immunoprecipitation and Human
Overview
| Product Description | Mouse Monoclonal antibody recognizes SHMT1 |
|---|---|
| Tested Reactivity | Hu |
| Tested Application | IHC-P, IP |
| Host | Mouse |
| Clonality | Monoclonal |
| Isotype | IgG2a |
| Target Name | SHMT1 |
| Antigen Species | Human |
| Conjugation | Un-conjugated |
| Alternate Names | EC 2.1.2.1; SHMT; CSHMT; Serine methylase; Glycine hydroxymethyltransferase; Serine hydroxymethyltransferase, cytosolic |
Application Instructions
| Application Suggestion |
|
||||||
|---|---|---|---|---|---|---|---|
| Application Note | * The dilutions indicate recommended starting dilutions and the optimal dilutions or concentrations should be determined by the scientist. |
Properties
| Form | Liquid |
|---|---|
| Purification | Protein A purification |
| Buffer | PBS with 0.09% sodium azide |
| Storage Instruction | For continuous use, store undiluted antibody at 2-8°C for up to a week. For long-term storage, aliquot and store at -20°C or below. Storage in frost free freezers is not recommended. Avoid repeated freeze/thaw cycles. Suggest spin the vial prior to opening. The antibody solution should be gently mixed before use. |
| Note | For laboratory research only, not for drug, diagnostic or other use. |
Bioinformation
| Database Links |
Swiss-port # P34896 Human Serine hydroxymethyltransferase, cytosolic |
|---|---|
| Gene Symbol | SHMT1 |
| Gene Full Name | serine hydroxymethyltransferase 1 (soluble) |
| Background | This gene encodes the cytosolic form of serine hydroxymethyltransferase, a pyridoxal phosphate-containing enzyme that catalyzes the reversible conversion of serine and tetrahydrofolate to glycine and 5,10-methylene tetrahydrofolate. This reaction provides one-carbon units for synthesis of methionine, thymidylate, and purines in the cytoplasm. This gene is located within the Smith-Magenis syndrome region on chromosome 17. A pseudogene of this gene is located on the short arm of chromosome 1. Alternative splicing results in multiple transcript variants. [provided by RefSeq, Aug 2013] |
| Function | Interconversion of serine and glycine. [UniProt] |
| Calculated MW | 53 kDa |
| PTM | CD40LG induces tyrosine phosphorylation of isoform 3. |
Images (2) Click the Picture to Zoom In
