ARG55762
anti-SHP2 antibody
anti-SHP2 antibody for Flow cytometry,IHC-Formalin-fixed paraffin-embedded sections,Western blot and Human
Overview
| Product Description | Rabbit Polyclonal antibody recognizes SHP2 |
|---|---|
| Tested Reactivity | Hu |
| Predict Reactivity | Ms, Rat, Chk |
| Tested Application | FACS, IHC-P, WB |
| Host | Rabbit |
| Clonality | Polyclonal |
| Isotype | IgG |
| Target Name | SHP2 |
| Antigen Species | Human |
| Immunogen | KLH-conjugated synthetic peptide corresponding to aa. 526-551 of Human SHP2. |
| Conjugation | Un-conjugated |
| Alternate Names | BPTP3; SHP-2; Protein-tyrosine phosphatase 2C; METCDS; PTP2C; Tyrosine-protein phosphatase non-receptor type 11; PTP-1D; CFC; PTP-2C; JMML; Shp2; Protein-tyrosine phosphatase 1D; NS1; EC 3.1.3.48; SH-PTP2; SH-PTP3; SHP2 |
Application Instructions
| Application Suggestion |
|
||||||||
|---|---|---|---|---|---|---|---|---|---|
| Application Note | * The dilutions indicate recommended starting dilutions and the optimal dilutions or concentrations should be determined by the scientist. |
Properties
| Form | Liquid |
|---|---|
| Purification | Purification with Protein A and immunogen peptide. |
| Buffer | PBS and 0.09% (W/V) Sodium azide. |
| Preservative | 0.09% (W/V) Sodium azide. |
| Storage Instruction | For continuous use, store undiluted antibody at 2-8°C for up to a week. For long-term storage, aliquot and store at -20°C or below. Storage in frost free freezers is not recommended. Avoid repeated freeze/thaw cycles. Suggest spin the vial prior to opening. The antibody solution should be gently mixed before use. |
| Note | For laboratory research only, not for drug, diagnostic or other use. |
Bioinformation
| Database Links |
Swiss-port # Q06124 Human Tyrosine-protein phosphatase non-receptor type 11 |
|---|---|
| Gene Symbol | PTPN11 |
| Gene Full Name | protein tyrosine phosphatase, non-receptor type 11 |
| Background | The protein encoded by this gene is a member of the protein tyrosine phosphatase (PTP) family. PTPs are known to be signaling molecules that regulate a variety of cellular processes including cell growth, differentiation, mitotic cycle, and oncogenic transformation. This PTP contains two tandem Src homology-2 domains, which function as phospho-tyrosine binding domains and mediate the interaction of this PTP with its substrates. This PTP is widely expressed in most tissues and plays a regulatory role in various cell signaling events that are important for a diversity of cell functions, such as mitogenic activation, metabolic control, transcription regulation, and cell migration. Mutations in this gene are a cause of Noonan syndrome as well as acute myeloid leukemia. Two transcript variants encoding different isoforms have been found for this gene. [provided by RefSeq, May 2012] |
| Function | Acts downstream of various receptor and cytoplasmic protein tyrosine kinases to participate in the signal transduction from the cell surface to the nucleus. Dephosphorylates ROCK2 at Tyr-722 resulting in stimulatation of its RhoA binding activity. [UniProt] |
| Cellular Localization | Cytoplasm. |
| Highlight | Related products: SHP2 antibodies; Anti-Rabbit IgG secondary antibodies; Related news: Tools for studying H. pylori diseases |
| Calculated MW | 68 kDa |
| PTM | Phosphorylated on Tyr-546 and Tyr-584 upon receptor protein tyrosine kinase activation; which creates a binding site for GRB2 and other SH2-containing proteins. Phosphorylated upon activation of the receptor-type kinase FLT3. Phosphorylated upon activation of the receptor-type kinase PDGFRA (By similarity). Phosphorylated by activated PDGFRB. |
Images (3) Click the Picture to Zoom In
-
ARG55762 anti-SHP2 antibody WB image
Western blot: 30 µg of HCT116 and A549 cell lysates stained with ARG55762 anti-SHP2 antibody at 1:1000 dilution.
-
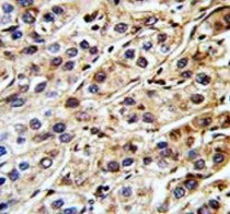
ARG55762 anti-SHP2 antibody IHC-P image
Immunohistochemistry: Formalin-fixed and paraffin-embedded Human hepatocarcinoma stained with ARG55762 anti-SHP2 antibody.
-
ARG55762 anti-SHP2 antibody FACS image
Flow Cytometry: 293 cells stained with ARG55762 anti-SHP2 antibody (bottom histogram) or without primary antibody control (top histogram), followed by incubation with FITC labelled secondary antibody.
