ARG42958
anti-SI / Sucrase isomaltase antibody
anti-SI / Sucrase isomaltase antibody for IHC-Formalin-fixed paraffin-embedded sections,Western blot and Human,Mouse,Rat
Overview
| Product Description | Rabbit Polyclonal antibody recognizes SI / Sucrase isomaltase |
|---|---|
| Tested Reactivity | Hu, Ms, Rat |
| Tested Application | IHC-P, WB |
| Host | Rabbit |
| Clonality | Polyclonal |
| Isotype | IgG |
| Target Name | SI / Sucrase isomaltase |
| Antigen Species | Human |
| Immunogen | Synthetic peptide corresponding to a sequence of Human SI / Sucrase isomaltase. (FQLSRWNYKSLDVVKEVVRRNREAGIPFDTQVTDID) |
| Conjugation | Un-conjugated |
| Alternate Names | EC 3.2.1.10; EC 3.2.1.48; Sucrase-isomaltase, intestinal |
Application Instructions
| Application Suggestion |
|
||||||
|---|---|---|---|---|---|---|---|
| Application Note | IHC-P: Antigen Retrieval: Heat mediation was performed in Citrate buffer (pH 6.0) for 20 min. * The dilutions indicate recommended starting dilutions and the optimal dilutions or concentrations should be determined by the scientist. |
||||||
| Observed Size | ~ 210 kDa |
Properties
| Form | Liquid |
|---|---|
| Purification | Affinity purification with immunogen. |
| Buffer | 0.2% Na2HPO4, 0.9% NaCl, 0.05% Sodium azide and 4% Trehalose. |
| Preservative | 0.05% Sodium azide |
| Stabilizer | 4% Trehalose |
| Concentration | 0.5 mg/ml |
| Storage Instruction | For continuous use, store undiluted antibody at 2-8°C for up to a week. For long-term storage, aliquot and store at -20°C or below. Storage in frost free freezers is not recommended. Avoid repeated freeze/thaw cycles. Suggest spin the vial prior to opening. The antibody solution should be gently mixed before use. |
| Note | For laboratory research only, not for drug, diagnostic or other use. |
Bioinformation
| Database Links | |
|---|---|
| Gene Symbol | SI |
| Gene Full Name | sucrase-isomaltase (alpha-glucosidase) |
| Background | This gene encodes a sucrase-isomaltase enzyme that is expressed in the intestinal brush border. The encoded protein is synthesized as a precursor protein that is cleaved by pancreatic proteases into two enzymatic subunits sucrase and isomaltase. These two subunits heterodimerize to form the sucrose-isomaltase complex. This complex is essential for the digestion of dietary carbohydrates including starch, sucrose and isomaltose. Mutations in this gene are the cause of congenital sucrase-isomaltase deficiency. [provided by RefSeq, Apr 2010] |
| Function | Plays an important role in the final stage of carbohydrate digestion. Isomaltase activity is specific for both alpha-1,4- and alpha-1,6-oligosaccharides. [UniProt] |
| Cellular Localization | Apical cell membrane; Single-pass type II membrane protein. Note=Brush border. [UniProt] |
| Calculated MW | 209 kDa |
| PTM | The precursor is proteolytically cleaved when exposed to pancreatic proteases in the intestinal lumen. Sulfated. [UniProt] |
Images (5) Click the Picture to Zoom In
-
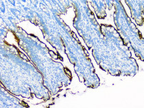
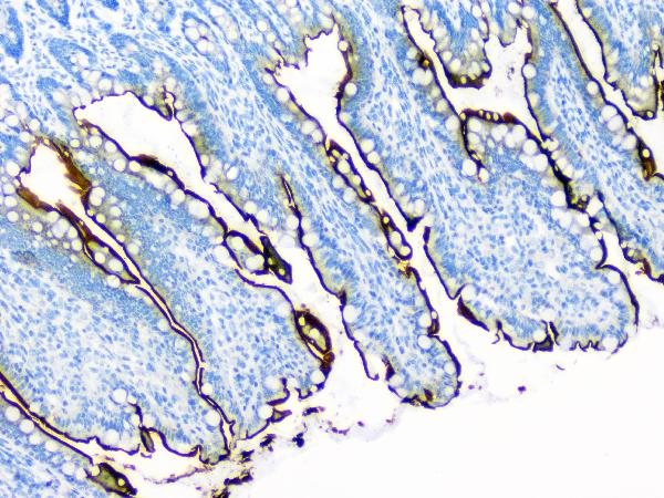
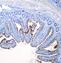
ARG42958 anti-SI / Sucrase isomaltase antibody IHC-P image
Immunohistochemistry: Paraffin-embedded Rat intestine tissue. Antigen Retrieval: Heat mediation was performed in Citrate buffer (pH 6.0) for 20 min. The tissue section was blocked with 10% goat serum. The tissue section was then stained with ARG42958 anti-SI / Sucrase isomaltase antibody at 1 µg/ml dilution, overnight at 4°C.
-
ARG42958 anti-SI / Sucrase isomaltase antibody WB image
Western blot: 50 µg of sample under reducing conditions. HeLa, COLO-320, SHG-44 and HEK293 whole cell lysates stained with ARG42958 anti-SI / Sucrase isomaltase antibody at 0.5 µg/ml dilution, overnight at 4°C.
-
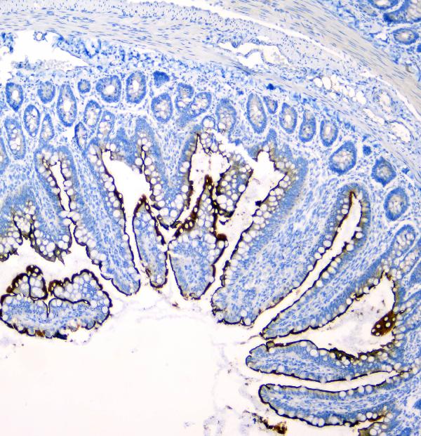
ARG42958 anti-SI / Sucrase isomaltase antibody IHC-P image
Immunohistochemistry: Paraffin-embedded Rat intestine tissue. Antigen Retrieval: Heat mediation was performed in Citrate buffer (pH 6.0) for 20 min. The tissue section was blocked with 10% goat serum. The tissue section was then stained with ARG42958 anti-SI / Sucrase isomaltase antibody at 1 µg/ml dilution, overnight at 4°C.
-
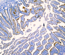
ARG42958 anti-SI / Sucrase isomaltase antibody IHC-P image
Immunohistochemistry: Paraffin-embedded Mouse intestine tissue. Antigen Retrieval: Heat mediation was performed in Citrate buffer (pH 6.0) for 20 min. The tissue section was blocked with 10% goat serum. The tissue section was then stained with ARG42958 anti-SI / Sucrase isomaltase antibody at 1 µg/ml dilution, overnight at 4°C.
-
ARG42958 anti-SI / Sucrase isomaltase antibody WB image
Western blot: 50 µg of sample under reducing conditions. Rat intestine lysate stained with ARG42958 anti-SI / Sucrase isomaltase antibody at 0.5 µg/ml dilution, overnight at 4°C.
