ARG63423
anti-SIRT4 antibody
anti-SIRT4 antibody for IHC-Formalin-fixed paraffin-embedded sections,Western blot and Human
Cell Biology and Cellular Response antibody; Gene Regulation antibody; Metabolism antibody; Signaling Transduction antibody
Overview
| Product Description | Goat Polyclonal antibody recognizes SIRT4 |
|---|---|
| Tested Reactivity | Hu |
| Predict Reactivity | Ms, Rat, Cow, Dog, Pig |
| Tested Application | IHC-P, WB |
| Host | Goat |
| Clonality | Polyclonal |
| Isotype | IgG |
| Target Name | SIRT4 |
| Antigen Species | Human |
| Immunogen | SRCGELLPLIDPC |
| Conjugation | Un-conjugated |
| Alternate Names | SIR2L4; NAD-dependent ADP-ribosyltransferase sirtuin-4; NAD-dependent protein deacetylase sirtuin-4; SIR2-like protein 4; EC 3.5.1.-; NAD-dependent protein lipoamidase sirtuin-4, mitochondrial; EC 2.4.2.-; Regulatory protein SIR2 homolog 4 |
Application Instructions
| Application Suggestion |
|
||||||
|---|---|---|---|---|---|---|---|
| Application Note | WB: Recommend incubate at RT for 1h. IHC-P: Antigen Retrieval: Steam tissue section in Citrate buffer (pH 6.0). * The dilutions indicate recommended starting dilutions and the optimal dilutions or concentrations should be determined by the scientist. |
Properties
| Form | Liquid |
|---|---|
| Purification | Purified from goat serum by antigen affinity chromatography. |
| Buffer | Tris saline (pH 7.3), 0.02% Sodium azide and 0.5% BSA. |
| Preservative | 0.02% Sodium azide |
| Stabilizer | 0.5% BSA |
| Concentration | 0.5 mg/ml |
| Storage Instruction | For continuous use, store undiluted antibody at 2-8°C for up to a week. For long-term storage, aliquot and store at -20°C or below. Storage in frost free freezers is not recommended. Avoid repeated freeze/thaw cycles. Suggest spin the vial prior to opening. The antibody solution should be gently mixed before use. |
| Note | For laboratory research only, not for drug, diagnostic or other use. |
Bioinformation
| Database Links |
Swiss-port # Q9Y6E7 Human NAD-dependent protein lipoamidase sirtuin-4, mitochondrial |
|---|---|
| Background | This gene encodes a member of the sirtuin family of proteins, homologs to the yeast Sir2 protein. Members of the sirtuin family are characterized by a sirtuin core domain and grouped into four classes. The functions of human sirtuins have not yet been determined; however, yeast sirtuin proteins are known to regulate epigenetic gene silencing and suppress recombination of rDNA. Studies suggest that the human sirtuins may function as intracellular regulatory proteins with mono-ADP-ribosyltransferase activity. The protein encoded by this gene is included in class IV of the sirtuin family. [provided by RefSeq, Jul 2008] |
| Research Area | Cell Biology and Cellular Response antibody; Gene Regulation antibody; Metabolism antibody; Signaling Transduction antibody |
| Calculated MW | 35 kDa |
Images (4) Click the Picture to Zoom In
-
ARG63423 anti-SIRT4 antibody WB image
Western Blot: 1). Mock transfection; 2) SIRT4 (RC212226) expressing plasmid transfected HEK293 cell lysate standed with ARG63423 anti-SIRT4 antibody.
-
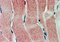
ARG63423 anti-SIRT4 antibody IHC-P image
Immunohistochemistry: Paraffin-embedded Human skeletal muscle tissue. Antigen Retrieval: Steam tissue section in Citrate buffer (pH 6.0). The tissue section was stained with ARG63423 anti-SIRT4 antibody at 2.5 µg/ml dilution followed by AP-staining.
-
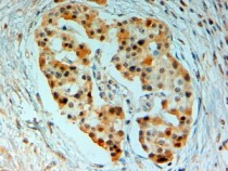
ARG63423 anti-SIRT4 antibody IHC-P image
Immunohistochemistry: paraffin embedded Human Pancreas. (Steamed antigen retrieval with citrate buffer pH 6) stained with ARG63423 anti-SIRT4 antibody at 2 µg/ml dilution followed by AP-staining.
-
ARG63423 anti-SIRT4 antibody WB image
Western blot: 35 µg of Human kidney lysate (in RIPA buffer) stained with ARG63423 anti-SIRT4 antibody at 1 µg/ml dilution and incubated at RT for 1 hour.
