ARG42931
anti-SLBP antibody
anti-SLBP antibody for Flow cytometry,Western blot and Human,Mouse
Overview
| Product Description | Rabbit Polyclonal antibody recognizes SLBP |
|---|---|
| Tested Reactivity | Hu, Ms |
| Tested Application | FACS, WB |
| Host | Rabbit |
| Clonality | Polyclonal |
| Isotype | IgG |
| Target Name | SLBP |
| Antigen Species | Human |
| Immunogen | Recombinant protein corresponding to K146-S270 of Human SLBP. |
| Conjugation | Un-conjugated |
| Alternate Names | Histone RNA hairpin-binding protein; HBP; Histone stem-loop-binding protein |
Application Instructions
| Application Suggestion |
|
||||||
|---|---|---|---|---|---|---|---|
| Application Note | * The dilutions indicate recommended starting dilutions and the optimal dilutions or concentrations should be determined by the scientist. | ||||||
| Observed Size | ~ 39 kDa |
Properties
| Form | Liquid |
|---|---|
| Purification | Affinity purification with immunogen. |
| Buffer | 0.2% Na2HPO4, 0.9% NaCl, 0.05% Sodium azide and 4% Trehalose. |
| Preservative | 0.05% Sodium azide |
| Stabilizer | 4% Trehalose |
| Concentration | 0.5 mg/ml |
| Storage Instruction | For continuous use, store undiluted antibody at 2-8°C for up to a week. For long-term storage, aliquot and store at -20°C or below. Storage in frost free freezers is not recommended. Avoid repeated freeze/thaw cycles. Suggest spin the vial prior to opening. The antibody solution should be gently mixed before use. |
| Note | For laboratory research only, not for drug, diagnostic or other use. |
Bioinformation
| Database Links |
Swiss-port # P97440 Mouse Histone RNA hairpin-binding protein Swiss-port # Q14493 Human Histone RNA hairpin-binding protein |
|---|---|
| Gene Symbol | SLBP |
| Gene Full Name | stem-loop binding protein |
| Background | This gene encodes a protein that binds to the stem-loop structure in replication-dependent histone mRNAs. Histone mRNAs do not contain introns or polyadenylation signals, and are processed by endonucleolytic cleavage. The stem-loop structure is essential for efficient processing but this structure also controls the transport, translation and stability of histone mRNAs. Expression of the protein is regulated during the cell cycle, increasing more than 10-fold during the latter part of G1. [provided by RefSeq, Jul 2008] |
| Function | RNA-binding protein involved in the histone pre-mRNA processing. Binds the stem-loop structure of replication-dependent histone pre-mRNAs and contributes to efficient 3'-end processing by stabilizing the complex between histone pre-mRNA and U7 small nuclear ribonucleoprotein (snRNP), via the histone downstream element (HDE). Plays an important role in targeting mature histone mRNA from the nucleus to the cytoplasm and to the translation machinery. Stabilizes mature histone mRNA and could be involved in cell-cycle regulation of histone gene expression. Involved in the mechanism by which growing oocytes accumulate histone proteins that support early embryogenesis. Binds to the 5' side of the stem-loop structure of histone pre-mRNAs. [UniProt] |
| Cellular Localization | Cytoplasm. Nucleus. Note=Polyribosome-associated. Localizes predominantly in the nucleus at the G1/G2 phases and the beginning of S phase. Through the S phase, partially redistributes to the cytoplasm. Binding to histone mRNA is necessary for cytoplasmic localization. Shuttles between the nucleus and the cytoplasm. Imported in the nucleus by the Importin alpha/Importin beta receptor. [UniProt] |
| Calculated MW | 31 kDa |
| PTM | Phosphorylated on Thr-61 and Thr-62 in the S-phase. Phosphorylation of Thr-62 by CDK1 primes phosphorylation of Thr-61 by CK2. Phosphorylation of Thr-62 is required for its degradation by the proteasome at the end of the S phase. Its degradation is not required for histone mRNA degradation at the end of the S phase. All the phosphorylated forms detected are present in the cytoplasm. Both unphosphorylated and phosphorylated forms bind the stem-loop structure of histone mRNAs. Phosphorylation at Thr-171 increases affinity for histone mRNAs. [UniProt] |
Images (2) Click the Picture to Zoom In
-
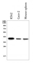
ARG42931 anti-SLBP antibody WB image
Western blot: 50 µg of sample under reducing conditions. K562, Caco-2 and Mouse spleen lysates stained with ARG42931 anti-SLBP antibody at 0.5 µg/ml dilution, overnight at 4°C.
-
ARG42931 anti-SLBP antibody FACS image
Flow Cytometry: U87 cells were blocked with 10% normal goat serum and then stained with ARG42931 anti-SLBP antibody (blue) at 1 µg/10^6 cells for 30 min at 20°C, followed by incubation with DyLight®488 labelled secondary antibody. Isotype control antibody (green) was Rabbit IgG (1 µg/10^6 cells) used under the same conditions. Unlabelled sample (red) was also used as a control.
