ARG64346
anti-SLC12A4 / KCC1 antibody
anti-SLC12A4 / KCC1 antibody for IHC-Formalin-fixed paraffin-embedded sections,Western blot and Human
Metabolism antibody; Signaling Transduction antibody
Overview
| Product Description | Goat Polyclonal antibody recognizes SLC12A4 / KCC1 |
|---|---|
| Tested Reactivity | Hu |
| Predict Reactivity | Ms, Rat, Dog |
| Tested Application | IHC-P, WB |
| Host | Goat |
| Clonality | Polyclonal |
| Isotype | IgG |
| Target Name | SLC12A4 / KCC1 |
| Antigen Species | Human |
| Immunogen | C-DPSHAPDNFRE |
| Conjugation | Un-conjugated |
| Alternate Names | KCC1; Electroneutral potassium-chloride cotransporter 1; hKCC1; Erythroid K-Cl cotransporter 1; Solute carrier family 12 member 4 |
Application Instructions
| Application Suggestion |
|
||||||
|---|---|---|---|---|---|---|---|
| Application Note | WB: Recommend incubate at RT for 1h. IHC-P: Antigen Retrieval: Steam tissue section in Citrate buffer (pH 6.0). * The dilutions indicate recommended starting dilutions and the optimal dilutions or concentrations should be determined by the scientist. |
Properties
| Form | Liquid |
|---|---|
| Purification | Purified from goat serum by antigen affinity chromatography. |
| Buffer | Tris saline (pH 7.3), 0.02% Sodium azide and 0.5% BSA. |
| Preservative | 0.02% Sodium azide |
| Stabilizer | 0.5% BSA |
| Concentration | 0.5 mg/ml |
| Storage Instruction | For continuous use, store undiluted antibody at 2-8°C for up to a week. For long-term storage, aliquot and store at -20°C or below. Storage in frost free freezers is not recommended. Avoid repeated freeze/thaw cycles. Suggest spin the vial prior to opening. The antibody solution should be gently mixed before use. |
| Note | For laboratory research only, not for drug, diagnostic or other use. |
Bioinformation
| Database Links | |
|---|---|
| Background | This gene encodes a member of the SLC12A transporter family. The encoded protein mediates the coupled movement of potassium and chloride ions across the plasma membrane. This gene is expressed ubiquitously. Multiple alternatively spliced transcript variants encoding distinct isoforms have been found for this gene. [provided by RefSeq, Jan 2013] |
| Research Area | Metabolism antibody; Signaling Transduction antibody |
| Calculated MW | 121 kDa |
| PTM | N-glycosylated. |
Images (2) Click the Picture to Zoom In
-
ARG64346 anti-SLC12A4 / KCC1 antibody WB image
Western blot: Human Heart lysate (35 µg protein in RIPA buffer) stained with ARG64346 anti-SLC12A4 / KCC1 antibody at 0.3 µg/ml dilution.
-
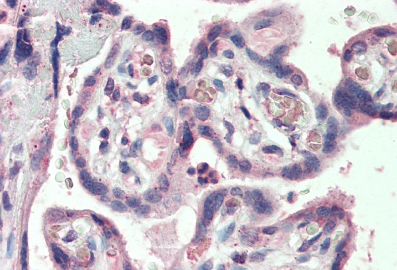
ARG64346 anti-SLC12A4 / KCC1 antibody IHC-P image
Immunohistochemistry: Paraffin-embedded Human placenta tissue. Antigen Retrieval: Steam tissue section in Citrate buffer (pH 6.0). The tissue section was stained with ARG64346 anti-SLC12A4 / KCC1 antibody at 5 µg/ml dilution followed by AP-staining.
