ARG63626
anti-SLC16A7 / MCT2 antibody
anti-SLC16A7 / MCT2 antibody for IHC-Formalin-fixed paraffin-embedded sections,Western blot and Human
Cancer antibody; Metabolism antibody; Signaling Transduction antibody
Overview
| Product Description | Goat Polyclonal antibody recognizes SLC16A7 / MCT2 |
|---|---|
| Tested Reactivity | Hu |
| Tested Application | IHC-P, WB |
| Host | Goat |
| Clonality | Polyclonal |
| Isotype | IgG |
| Target Name | SLC16A7 / MCT2 |
| Antigen Species | Human |
| Immunogen | C-SNAQSVTSERETNI |
| Conjugation | Un-conjugated |
| Alternate Names | Monocarboxylate transporter 2; Solute carrier family 16 member 7; MCT2; MCT 2 |
Application Instructions
| Application Suggestion |
|
||||||
|---|---|---|---|---|---|---|---|
| Application Note | WB: Recommend incubate at RT for 1h. IHC-P: Antigen Retrieval: Steam tissue section in Citrate buffer (pH 6.0). * The dilutions indicate recommended starting dilutions and the optimal dilutions or concentrations should be determined by the scientist. |
Properties
| Form | Liquid |
|---|---|
| Purification | Purified from goat serum by antigen affinity chromatography. |
| Buffer | Tris saline (pH 7.3), 0.02% Sodium azide and 0.5% BSA. |
| Preservative | 0.02% Sodium azide |
| Stabilizer | 0.5% BSA |
| Concentration | 0.5 mg/ml |
| Storage Instruction | For continuous use, store undiluted antibody at 2-8°C for up to a week. For long-term storage, aliquot and store at -20°C or below. Storage in frost free freezers is not recommended. Avoid repeated freeze/thaw cycles. Suggest spin the vial prior to opening. The antibody solution should be gently mixed before use. |
| Note | For laboratory research only, not for drug, diagnostic or other use. |
Bioinformation
| Database Links | |
|---|---|
| Background | This gene is a member of the monocarboxylate transporter family. Members in this family transport metabolites, such as lactate, pyruvate, and ketone bodies. The protein encoded by this gene catalyzes the proton-linked transport of monocarboxylates and has the highest affinity for pyruvate. This protein has been reported to be more highly expressed in prostate and colorectal cancer specimens when compared to control specimens. Alternative splicing results in multiple transcript variants. [provided by RefSeq, Jul 2012] |
| Research Area | Cancer antibody; Metabolism antibody; Signaling Transduction antibody |
| Calculated MW | 52 kDa |
Images (2) Click the Picture to Zoom In
-
ARG63626 anti-SLC16A7 / MCT2 antibody WB image
Western Blot: A549 lysate (35 µg protein in RIPA buffer) stained with ARG63626 anti-SLC16A7 / MCT2 antibody at 1 µg/ml dilution.
-
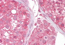
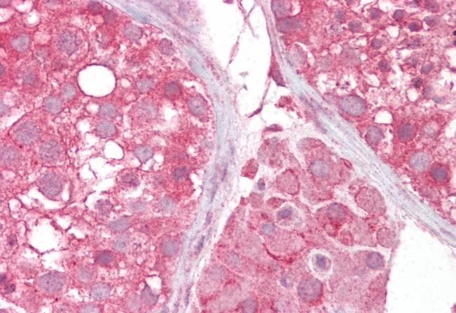
ARG63626 anti-SLC16A7 / MCT2 antibody IHC-P image
Immunohistochemistry: Paraffin-embedded Human testis tissue. Antigen Retrieval: Steam tissue section in Citrate buffer (pH 6.0). The tissue section was stained with ARG63626 anti-SLC16A7 / MCT2 antibody at 2.5 µg/ml dilution followed by AP-staining.
