ARG45458
anti-SLC20A1 antibody
anti-SLC20A1 antibody for IHC-Formalin-fixed paraffin-embedded sections,Western blot and Human,Mouse,Rat
Overview
| Product Description | Rabbit Polyclonal antibody recognizes SLC20A1 |
|---|---|
| Tested Reactivity | Hu, Ms, Rat |
| Tested Application | IHC-P, WB |
| Host | Rabbit |
| Clonality | Polyclonal |
| Isotype | IgG |
| Target Name | SLC20A1 |
| Antigen Species | Human |
| Immunogen | Recombinant protein containing to human SLC20A1. |
| Conjugation | Un-conjugated |
| Alternate Names | SLC20A1; Solute Carrier Family 20 Member 1; PiT-1; Gibbon Ape Leukemia Virus Receptor 1; Glvr-1; GLVR1; PiT1; Solute Carrier Family 20 (Phosphate Transporter), Member 1; Sodium-Dependent Phosphate Transporter 1; Leukemia Virus Receptor 1 Homolog; Phosphate Transporter 1; GLVR-1; PIT1 |
Application Instructions
| Application Suggestion |
|
||||||
|---|---|---|---|---|---|---|---|
| Application Note | * The dilutions indicate recommended starting dilutions and the optimal dilutions or concentrations should be determined by the scientist. | ||||||
| Observed Size | 85 kDa |
Properties
| Form | Liquid |
|---|---|
| Purification | Affinity purified |
| Buffer | 0.2% Na2HPO4, 0.9% NaCl and 4% Trehalose. |
| Stabilizer | 4% Trehalose |
| Concentration | 0.5 mg/ml |
| Storage Instruction | For continuous use, store undiluted antibody at 2-8°C for up to a week. For long-term storage, aliquot and store at -20°C or below. Storage in frost free freezers is not recommended. Avoid repeated freeze/thaw cycles. Suggest spin the vial prior to opening. The antibody solution should be gently mixed before use. |
| Note | For laboratory research only, not for drug, diagnostic or other use. |
Bioinformation
| Database Links | |
|---|---|
| Gene Symbol | SLC20A1 |
| Gene Full Name | Solute Carrier Family 20 Member 1 |
| Background | The protein encoded by this gene is a sodium-phosphate symporter that absorbs phosphate from interstitial fluid for use in cellular functions such as metabolism, signal transduction, and nucleic acid and lipid synthesis. The encoded protein is also a retroviral receptor, causing human cells to be susceptible to infection by gibbon ape leukemia virus, simian sarcoma-associated virus, feline leukemia virus subgroup B, and 10A1 murine leukemia virus.[provided by RefSeq, Mar 2011] |
| Function | Sodium-phosphate symporter which preferentially transports the monovalent form of phosphate with a stoichiometry of two sodium ions per phosphate ion. [UniProt] |
| Cellular Localization | Cell membrane. [UniProt] |
| Calculated MW | 74 kDa |
| PTM | Phosphoprotein. [UniProt] |
Images (5) Click the Picture to Zoom In
-
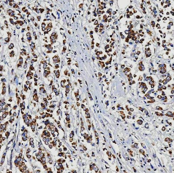
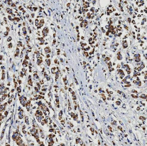
ARG45458 anti-SLC20A1 antibody IHC-P image
Immunohistochemistry: Human breast cancer stained with ARG45458 anti-SLC20A1 antibody at 2 μg/ml dilution.
-
ARG45458 anti-SLC20A1 antibody IHC-P image
Immunohistochemistry: Rat brain stained with ARG45458 anti-SLC20A1 antibody at 2 μg/ml dilution.
-
ARG45458 anti-SLC20A1 antibody WB image
Western blot: Rat kidney stained with ARG45458 anti-SLC20A1 antibody at 0.5 μg/ml dilution.
-
ARG45458 anti-SLC20A1 antibody IHC-P image
Immunohistochemistry: Mouse cerebellum stained with ARG45458 anti-SLC20A1 antibody at 2 μg/ml dilution.
-
ARG45458 anti-SLC20A1 antibody WB image
Western blot: Mouse kidney stained with ARG45458 anti-SLC20A1 antibody at 0.5 μg/ml dilution.
